购物车
  • TargetMol
    您的购物车当前为空

Anti-NeuN Antibody (8Z879)

Synonyms: RNA binding protein fox-1 homolog 3, RFOX3, RBFOX3, Neuronal nuclei antigen(NeuN antigen), HRNBP3, FOX-3, FOX3, Fox-1 homolog C
货号 TMAC-02782 一键复制产品信息
Rating icon 还可以

Anti-NeuN Antibody (8Z879) 是一种 Rabbit 抗体,靶向 NeuN。Anti-NeuN Antibody (8Z879) 可用于 FCM,ICC/IF,IHC,WB。

Anti-NeuN Antibody (8Z879)

一键复制产品信息
Rating icon 还可以
货号 TMAC-02782

别名 RNA binding protein fox-1 homolog 3, RFOX3, RBFOX3, Neuronal nuclei antigen(NeuN antigen), HRNBP3, FOX-3, FOX3, Fox-1 homolog C

Anti-NeuN Antibody (8Z879) 是一种 Rabbit 抗体,靶向 NeuN。Anti-NeuN Antibody (8Z879) 可用于 FCM,ICC/IF,IHC,WB。

Anti-NeuN Antibody (8Z879)
规格价格库存数量
50 μL
¥ 1,490
5日内发货
100 μL
¥ 2,490
5日内发货
库存状态实时更新,以官网显示为准,现货产品可直接加购物车下单
大包装 & 定制
加入购物车
TargetMol的所有产品仅用作科学研究或药证申报,不能被用于人体,我们不向个人提供产品和服务。请您遵守承诺用途,不得违反法律法规规定用于任何其他用途。
实验操作小课堂
常见问题解答
查看更多

资源下载:产品操作手册

产品介绍


生物活性
产品描述
Anti-NeuN Antibody (8Z879) is a Rabbit antibody targeting NeuN. Anti-NeuN Antibody (8Z879) can be used in FCM,ICC/IF,IHC,WB.
别名RNA binding protein fox-1 homolog 3, RFOX3, RBFOX3, Neuronal nuclei antigen(NeuN antigen), HRNBP3, FOX-3, FOX3, Fox-1 homolog C
Ig Type
IgG
克隆号
8Z879
反应种属
Human,Mouse,Rat
验证活性
1. Western blot analysis of NeuN on human brain lysates using anti-NeuN antibody at 1/1,000 dilution. (NeuN is expressed as two alternate transcripts with apparent SDS-PAGE molecular weight 46 and 48kDa).
2. Immunohistochemical analysis of paraffin-embedded mouse brain tissue using anti-NeuN antibody. Counter stained with hematoxylin.
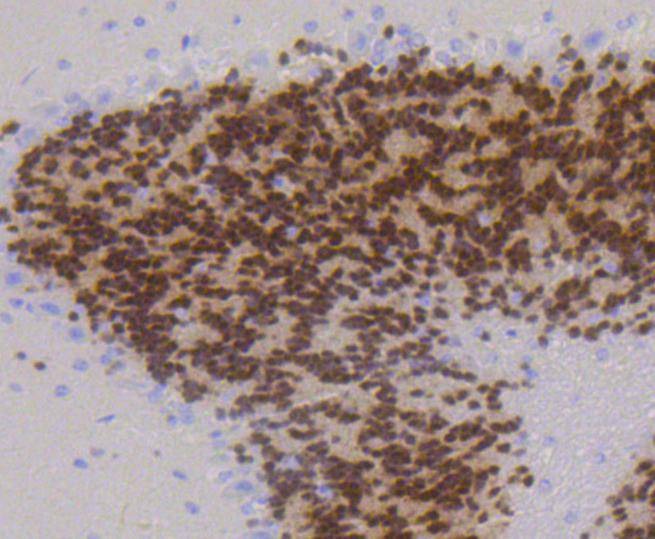
3. Immunohistochemical analysis of paraffin-embedded mouse cerebellum tissue using anti-NeuN antibody. Counter stained with hematoxylin.
4. ICC staining NeuN in SH-SY-5Y cells (green). The nuclear counter stain is DAPI (blue). Cells were fixed in paraformaldehyde, permeabilised with 0.25% Triton X100/PBS.
5. Flow cytometric analysis of SH-SY-5Y cells with NeuN antibody at 1/50 dilution (blue) compared with an unlabelled control (cells without incubation with primary antibody; red). Alexa Fluor 488-conjugated goat anti rabbit IgG was used as the secondary antibody.
verifiedActivityverifiedActivityverifiedActivityverifiedActivityverifiedActivity
应用FCMICC/IFIHCWB
推荐剂量
WB: 1:1000-2000; IHC: 1:200-500; ICC/IF: 1:50-200; FCM: 1:50-100
抗体种类
Monoclonal
宿主来源Rabbit
构建方式Recombinant Antibody
纯化方式ProA affinity purified
性状Liquid
缓冲液1*TBS (pH7.4), 1%BSA, 40%Glycerol. Preservative: 0.05% Sodium Azide.
研究背景Neuronal nuclei (NeuN, Fox-3, RBFOX3) is a nuclear protein expressed in most post-mitotic neurons of the central and peripheral nervous systems. NeuN is not detected in Purkinje cells, sympathetic ganglion cells, Cajal-Retzius cells, INL retinal cells, inferior olivary, and dentate nucleus neurons. This neuronal protein was originally identified by immunoreactivity with a monoclonal antibody also called NeuN. Using MS-analysis, NeuN was later identified as the Fox-3 gene product. Fox-3 contains an RNA recognition motif and functions as a splicing regulator. Fox-3 regulates alternative splicing of NumB, promoting neuronal differentiation during development.
偶联与修饰
偶联
Unconjugated
抗原信息
免疫原
Recombinant Protein
Uniprot ID
化学信息
分子量Theoretical: 34 kDa.
储存&溶解度
储存方式Store at -20°C or -80°C for 12 months. Avoid repeated freeze-thaw cycles.
运输方式Shipping with blue ice.

计算器

  • 稀释 计算器
  • 配液 计算器
Related Tags: buy Anti-NeuN Antibody (8Z879) | purchase Anti-NeuN Antibody (8Z879) | Anti-NeuN Antibody (8Z879) cost | order Anti-NeuN Antibody (8Z879) | Anti-NeuN Antibody (8Z879) molecular weight