购物车
  • TargetMol
    您的购物车当前为空

Anti-NECTIN2 Antibody (7R662)

Synonyms: Poliovirus receptor-related protein 2, Nectin-2, Nectin cell adhesion molecule 2, Herpes virus entry mediator B
货号 TMAC-02766 一键复制产品信息
Rating icon 还可以

Anti-NECTIN2 Antibody (7R662) 是一种 Rabbit 抗体,靶向 NECTIN2。Anti-NECTIN2 Antibody (7R662) 可用于 FCM,ICC,IF,IHC,WB。

Anti-NECTIN2 Antibody (7R662)

一键复制产品信息
Rating icon 还可以
货号 TMAC-02766

别名 Poliovirus receptor-related protein 2, Nectin-2, Nectin cell adhesion molecule 2, Herpes virus entry mediator B

Anti-NECTIN2 Antibody (7R662) 是一种 Rabbit 抗体,靶向 NECTIN2。Anti-NECTIN2 Antibody (7R662) 可用于 FCM,ICC,IF,IHC,WB。

Anti-NECTIN2 Antibody (7R662)
规格价格库存数量
50 μL
¥ 1,480
5日内发货
100 μL
¥ 2,495
5日内发货
库存状态实时更新,以官网显示为准,现货产品可直接加购物车下单
大包装 & 定制
加入购物车
TargetMol的所有产品仅用作科学研究或药证申报,不能被用于人体,我们不向个人提供产品和服务。请您遵守承诺用途,不得违反法律法规规定用于任何其他用途。
实验操作小课堂
常见问题解答
查看更多

资源下载:产品操作手册

产品介绍


生物活性
产品描述
Anti-NECTIN2 Antibody (7R662) is a Rabbit antibody targeting NECTIN2. Anti-NECTIN2 Antibody (7R662) can be used in FCM,ICC,IF,IHC,WB.
别名Poliovirus receptor-related protein 2, Nectin-2, Nectin cell adhesion molecule 2, Herpes virus entry mediator B
Ig Type
IgG
克隆号
7R662
反应种属
Human,Mouse,Rat
验证活性
1. Western blot analysis of Nectin 2 on K562 (1), MCF-7 (2) and SK-OV-3 (3) cells lysates using anti-Nectin 2 antibody at 1/500 dilution.
2. Immunohistochemical analysis of paraffin-embedded human liver cancer tissue using anti-Nectin 2 antibody. Counter stained with hematoxylin.
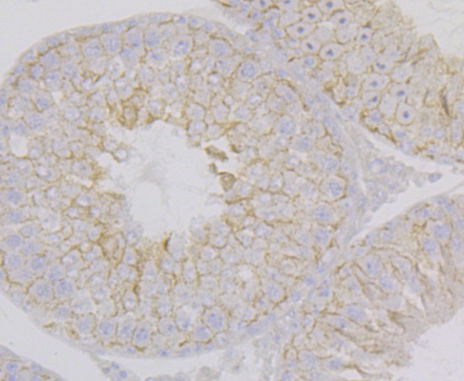
3. Immunohistochemical analysis of paraffin-embedded mouse testis tissue using anti-Nectin 2 antibody. Counter stained with hematoxylin.
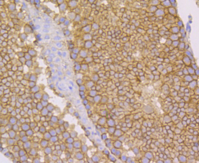
4. Immunohistochemical analysis of paraffin-embedded rat testis tissue using anti-Nectin 2 antibody. Counter stained with hematoxylin.
5. ICC staining Nectin 2 in MCF-7 cells (green). The nuclear counter stain is DAPI (blue). Cells were fixed in paraformaldehyde, permeabilised with 0.25% Triton X100/PBS.
6. ICC staining Nectin 2 in LOVO cells (green). The nuclear counter stain is DAPI (blue). Cells were fixed in paraformaldehyde, permeabilised with 0.25% Triton X100/PBS.
7. Flow cytometric analysis of LOVO cells with Nectin 2 antibody at 1/100 dilution (purple) compared with an unlabelled control (cells without incubation with primary antibody; yellow). Alexa Fluor 488-conjugated goat anti-rabbit IgG was used as the secondary antibody.
verifiedActivityverifiedActivityverifiedActivityverifiedActivityverifiedActivityverifiedActivityverifiedActivity
应用FCMICCIFIHCWB
推荐剂量
WB: 1:500-2000; IHC: 1:50-200; ICC: 1:50; FCM: 1:50-100
抗体种类
Monoclonal
宿主来源Rabbit
构建方式Recombinant Antibody
纯化方式ProA affinity purified
性状Liquid
缓冲液1*TBS (pH7.4), 1%BSA, 40%Glycerol. Preservative: 0.05% Sodium Azide.
研究背景Nectin is a Ca2+-independent homophilic cell adhesion molecule that belongs to the immunoglobulin superfamily. Human nectin is identical to the poliovirus receptor-related protein (PRR) and has been identified as the α-herpesvirus entry mediator. Nectin constitutes a family consisting of at least Nectin 1, 2 and 3; each member has two or three splicing variants. Nectin 2, also designated PRR2/HveB, is ubquitously expressed, with the highest levels of expression in some human neuronal cell lines, fibroblastic cells, keratinocytes and primary activated T lymphocytes. Nectin 2 has two splicing variants, Nectin 2α (short form) and 2δ (long form). Both Nectin 2α and 2δ have a C-terminal conserved motif (E/A-X-Y-V). This motif interacts with the PDZ domain of the F-Actin-binding protein afadin, through which it is linked to the Actin cytoskeleton. The extracellular regions of the splicing variants are identical, but their transmembrane regions and cytoplasmic regions are unique. Nectin 2 mediates the entry of three mutant herpes simplex virus type 1 (HSV-1) strains that do not use HveA as co-receptor, but not wildtype HSV-1 strains. Nectin 2 also mediates the entry of HSV-2 and pseudorabies virus, but not bovine herpes virus type 1. Nectin 2δ is tyrosine phosphorylated in response to cell-cell adhesion.
偶联与修饰
偶联
Unconjugated
抗原信息
免疫原
Recombinant Protein: human Nectin 2 aa 50-250
抗原种属
human
Uniprot ID
化学信息
分子量Theoretical: 58 kDa.
储存&溶解度
储存方式Store at -20°C or -80°C for 12 months. Avoid repeated freeze-thaw cycles.
运输方式Shipping with blue ice.

计算器

  • 稀释 计算器
  • 配液 计算器
Related Tags: buy Anti-NECTIN2 Antibody (7R662) | purchase Anti-NECTIN2 Antibody (7R662) | Anti-NECTIN2 Antibody (7R662) cost | order Anti-NECTIN2 Antibody (7R662) | Anti-NECTIN2 Antibody (7R662) molecular weight