购物车
  • TargetMol
    您的购物车当前为空

Anti-NDRG1 Antibody (7H760)

Synonyms: TDD5, TARG1, RTP, RIT42, PROXY1, N-myc downstream regulated 1, NMSL, NDR1, HMSNL, GC4, DRG-1, DRG1, CMT4D, CAP43
货号 TMAC-02761 一键复制产品信息
Rating icon 还可以
202603开学季活动

Anti-NDRG1 Antibody (7H760) 是一种 Rabbit 抗体,靶向 NDRG1。Anti-NDRG1 Antibody (7H760) 可用于 ICC/IF,IHC,IP,WB。

Anti-NDRG1 Antibody (7H760)

一键复制产品信息
Rating icon 还可以
202603开学季活动
货号 TMAC-02761

别名 TDD5, TARG1, RTP, RIT42, PROXY1, N-myc downstream regulated 1, NMSL, NDR1, HMSNL, GC4, DRG-1, DRG1, CMT4D, CAP43

Anti-NDRG1 Antibody (7H760) 是一种 Rabbit 抗体,靶向 NDRG1。Anti-NDRG1 Antibody (7H760) 可用于 ICC/IF,IHC,IP,WB。

Anti-NDRG1 Antibody (7H760)
规格价格库存数量
50 μL
¥ 1,490
5日内发货
100 μL
¥ 2,495
5日内发货
库存状态实时更新,以官网显示为准,现货产品可直接加购物车下单
大包装 & 定制
加入购物车

TargetMol的所有产品仅用作科学研究或药证申报,不能被用于人体,我们不向个人提供产品和服务。请您遵守承诺用途,不得违反法律法规规定用于任何其他用途。

实验操作小课堂
常见问题解答
查看更多

资源下载:产品操作手册

产品介绍


生物活性
产品描述
Anti-NDRG1 Antibody (7H760) is a Rabbit antibody targeting NDRG1. Anti-NDRG1 Antibody (7H760) can be used in ICC/IF,IHC,IP,WB.
别名
TDD5, TARG1, RTP, RIT42, PROXY1, N-myc downstream regulated 1, NMSL, NDR1, HMSNL, GC4, DRG-1, DRG1, CMT4D, CAP43
Ig Type
IgG
克隆号
7H760
反应种属
Human,Mouse,Rat
验证活性
1. Western blot analysis of NDRG1 on SW480 cell (1) and mouse eye tissue (2) lysate using anti-NDRG1 antibody at 1/1,000 dilution.
2. Immunohistochemical analysis of paraffin-embedded human prostate tissue using anti-NDRG1 antibody. Counter stained with hematoxylin.
3. Immunohistochemical analysis of paraffin-embedded human placenta tissue using anti-NDRG1 antibody. Counter stained with hematoxylin.
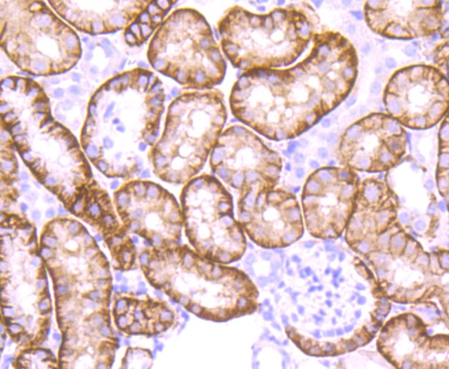
4. Immunohistochemical analysis of paraffin-embedded mouse kidney tissue using anti-NDRG1 antibody. Counter stained with hematoxylin.
5. Immunohistochemical analysis of paraffin-embedded human colon cancer tissue using anti-NDRG1 antibody. Counter stained with hematoxylin.
6. ICC staining NDRG1 in MCF-7 cells (green). The nuclear counter stain is DAPI (blue). Cells were fixed in paraformaldehyde, permeabilised with 0.25% Triton X100/PBS.
7. ICC staining NDRG1 in A431 cells (green). The nuclear counter stain is DAPI (blue). Cells were fixed in paraformaldehyde, permeabilised with 0.25% Triton X100/PBS.
verifiedActivityverifiedActivityverifiedActivityverifiedActivityverifiedActivityverifiedActivityverifiedActivity
应用ICC/IFIHCIPWB
推荐剂量
WB: 1:500-2000; IHC: 1:50-200; ICC/IF: 1:50-200; IP: 1:50
抗体种类
Monoclonal
宿主来源Rabbit
构建方式Recombinant Antibody
纯化方式ProA affinity purified
性状Liquid
缓冲液1*TBS (pH7.4), 1%BSA, 40%Glycerol. Preservative: 0.05% Sodium Azide.
研究背景The N-myc downstream regulated gene (NDRG) family is comprised of four members, NDRG1 (also designated Drg1, RTP, rit42, Cap43 and Ndr1), NDRG2, NDRG3 and NDRG4, which share 57-65% homology. The NDRG1 gene, which maps to human chromosome 8q24.22, is evolutionarily conserved and is similarly regulated in humans, mice and rats . Like NDRG2 and NDRG3, NDRG1 is ubiquitously expressed, but it is expressed most prominently in placental membranes and prostate, kidney, small intestine and ovary tissue. NDRG1 gene expression is induced by several compounds, including nickel, and produces a protein involved in stress responses, hormone responses, cell growth and differentiation. The gene encoding NDRG3 maps to human chromosome 20q11.23 and is predominantly expressed in testis, prostate and ovary, which suggests it may play a role in spermatogenesis.
偶联与修饰
偶联
Unconjugated
抗原信息
免疫原
Recombinant Protein
Uniprot ID
化学信息
分子量Theoretical: 43 kDa.
储存&溶解度
储存方式Store at -20°C or -80°C for 12 months. Avoid repeated freeze-thaw cycles.
运输方式Shipping with blue ice.

计算器

  • 稀释 计算器
  • 配液 计算器
Related Tags: buy Anti-NDRG1 Antibody (7H760) | purchase Anti-NDRG1 Antibody (7H760) | Anti-NDRG1 Antibody (7H760) cost | order Anti-NDRG1 Antibody (7H760) | Anti-NDRG1 Antibody (7H760) molecular weight