购物车
  • TargetMol
    您的购物车当前为空

Anti-MYB Antibody (7C786)

Synonyms: v myb avian myeloblastosis viral oncogene homolog, Transcriptional activator Myb, Proto oncogene c Myb, Oncogene MYB, ONCOGENE AMV, MYB proto-oncogene transcription factor, efg, c-myb8B_CDS, c-myb14A_CDS, c-myb13A_CDS, c-myb10A_CDS, c-myb_CDS, Cmyb, C myb
货号 TMAC-03474 一键复制产品信息
Rating icon 还可以

Anti-MYB Antibody (7C786) 是一种 Rabbit 抗体,靶向 MYB。Anti-MYB Antibody (7C786) 可用于 FCM,ICC/IF,IHC,WB。

Anti-MYB Antibody (7C786)

一键复制产品信息
Rating icon 还可以
货号 TMAC-03474

别名 v myb avian myeloblastosis viral oncogene homolog, Transcriptional activator Myb, Proto oncogene c Myb, Oncogene MYB, ONCOGENE AMV, MYB proto-oncogene transcription factor, efg, c-myb8B_CDS, c-myb14A_CDS, c-myb13A_CDS, c-myb10A_CDS, c-myb_CDS, Cmyb, C myb

Anti-MYB Antibody (7C786) 是一种 Rabbit 抗体,靶向 MYB。Anti-MYB Antibody (7C786) 可用于 FCM,ICC/IF,IHC,WB。

Anti-MYB Antibody (7C786)
规格价格库存数量
50 μL
¥ 1,490
5日内发货
100 μL
¥ 2,490
5日内发货
库存状态实时更新,以官网显示为准,现货产品可直接加购物车下单
大包装 & 定制
加入购物车
TargetMol的所有产品仅用作科学研究或药证申报,不能被用于人体,我们不向个人提供产品和服务。请您遵守承诺用途,不得违反法律法规规定用于任何其他用途。
实验操作小课堂
常见问题解答
查看更多

资源下载:产品操作手册

产品介绍


生物活性
产品描述
Anti-MYB Antibody (7C786) is a Rabbit antibody targeting MYB. Anti-MYB Antibody (7C786) can be used in FCM,ICC/IF,IHC,WB.
别名v myb avian myeloblastosis viral oncogene homolog, Transcriptional activator Myb, Proto oncogene c Myb, Oncogene MYB, ONCOGENE AMV, MYB proto-oncogene transcription factor, efg, c-myb8B_CDS, c-myb14A_CDS, c-myb13A_CDS, c-myb10A_CDS, c-myb_CDS, Cmyb, C myb
Ig Type
IgG
克隆号
7C786
反应种属
Human
验证活性
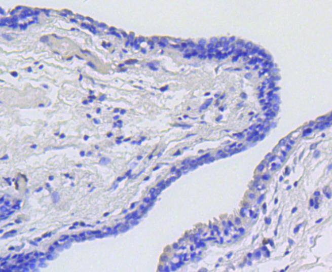
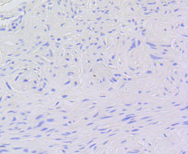
1. Immunohistochemical analysis of paraffin-embedded human uterine neck tissue using anti-P-V-Myb+C-Myb (S11) antibody. Counter stained with hematoxylin.
2. Immunohistochemical analysis of paraffin-embedded human breast carcinoma tissue using anti-P-V-Myb+C-Myb (S11) antibody. Counter stained with hematoxylin.
3. ICC staining P-V-Myb+C-Myb (S11) in Ags cells (green). The nuclear counter stain is DAPI (blue). Cells were fixed in paraformaldehyde, permeabilised with 0.25% Triton X100/PBS.
4. Flow cytometric analysis of MCF-7 cells with P-V-Myb+C-Myb (S11) antibody at 1/50 dilution (blue) compared with an unlabelled control (cells without incubation with primary antibody; red). Alexa Fluor 488-conjugated goat anti rabbit IgG was used as antibody.
verifiedActivityverifiedActivityverifiedActivityverifiedActivity
应用FCMICC/IFIHCWB
推荐剂量
WB: 1:1000-2000; IHC: 1:50-200; ICC/IF: 1:50-200; FCM: 1:50-100
抗体种类
Monoclonal
宿主来源Rabbit
构建方式Recombinant Antibody
纯化方式ProA affinity purified
性状Liquid
缓冲液1*TBS (pH7.4), 1%BSA, 40%Glycerol. Preservative: 0.05% Sodium Azide.
研究背景The Myb family of transcription factors regulates proliferation, differentiation and apoptosis of hematopoletic cells. The avian myeloblastosis viral (v-Myb) protein is nuclear and binds to specific DNA sequences. The gene encoding for v-Myb is oncogenic, causing monoblastic leukemia and transforming myelomonocytic cells by deregulating the expression of specific target genes. v-Myb functions as a transcriptional activator, and it can repress biologically relevant genes such as Ets-2, which promotes macrophage differentiation. The proto-oncogene c-Myb encodes for a nuclear protein that plays a role in transcriptional regulation and may be essential for hematopoietic cell proliferation. A-Myb is also member of the Myb family that is expressed in proliferating B cell centroblasts. Transgenic mice overexpressing A-Myb posses enhanced hyperplasia of the lymph nodes.
偶联与修饰
偶联
Unconjugated
其他可选修饰符
Phospho
抗原信息
免疫原
A synthesized phosphopeptide: human V-Myb+C-Myb around the phosphorylation site of Ser11
抗原种属
human
Uniprot ID
化学信息
分子量Theoretical: 72/75 kDa.
储存&溶解度
储存方式Store at -20°C or -80°C for 12 months. Avoid repeated freeze-thaw cycles.
运输方式Shipping with blue ice.

计算器

  • 稀释 计算器
  • 配液 计算器
Related Tags: buy Anti-MYB Antibody (7C786) | purchase Anti-MYB Antibody (7C786) | Anti-MYB Antibody (7C786) cost | order Anti-MYB Antibody (7C786) | Anti-MYB Antibody (7C786) molecular weight