购物车
  • TargetMol
    您的购物车当前为空

Anti-Musashi 1 Antibody (3I437)

Synonyms: RNA-binding protein Musashi homolog 1, RNA binding protein Musashi homolog 1, Musashi1, Musashi homolog 1, MSI1H_HUMAN, Msi1, Msi 1
货号 TMAC-02689 一键复制产品信息
Rating icon 还可以

Anti-Musashi 1 Antibody (3I437) 是一种 Rabbit 抗体,靶向 Musashi 1。Anti-Musashi 1 Antibody (3I437) 可用于 FCM,ICC/IF,IHC,IP,WB。

Anti-Musashi 1 Antibody (3I437)

一键复制产品信息
Rating icon 还可以
货号 TMAC-02689

别名 RNA-binding protein Musashi homolog 1, RNA binding protein Musashi homolog 1, Musashi1, Musashi homolog 1, MSI1H_HUMAN, Msi1, Msi 1

Anti-Musashi 1 Antibody (3I437) 是一种 Rabbit 抗体,靶向 Musashi 1。Anti-Musashi 1 Antibody (3I437) 可用于 FCM,ICC/IF,IHC,IP,WB。

Anti-Musashi 1 Antibody (3I437)
规格价格库存数量
50 μL
¥ 1,480
5日内发货
100 μL
¥ 2,495
5日内发货
库存状态实时更新,以官网显示为准,现货产品可直接加购物车下单
大包装 & 定制
加入购物车
TargetMol的所有产品仅用作科学研究或药证申报,不能被用于人体,我们不向个人提供产品和服务。请您遵守承诺用途,不得违反法律法规规定用于任何其他用途。
实验操作小课堂
常见问题解答
查看更多

资源下载:产品操作手册

产品介绍


生物活性
产品描述
Anti-Musashi 1 Antibody (3I437) is a Rabbit antibody targeting Musashi 1. Anti-Musashi 1 Antibody (3I437) can be used in FCM,ICC/IF,IHC,IP,WB.
别名RNA-binding protein Musashi homolog 1, RNA binding protein Musashi homolog 1, Musashi1, Musashi homolog 1, MSI1H_HUMAN, Msi1, Msi 1
Ig Type
IgG
克隆号
3I437
反应种属
Human
验证活性
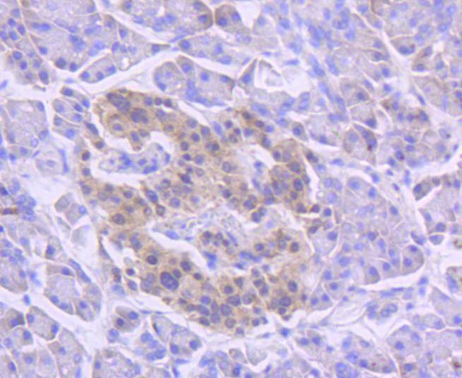
1. Immunohistochemical analysis of paraffin-embedded human pancreas tissue using anti-Musashi 1 antibody. Counter stained with hematoxylin.
2. ICC staining Musashi 1 in Hela cells (green). The nuclear counter stain is DAPI (blue). Cells were fixed in paraformaldehyde, permeabilised with 0.25% Triton X100/PBS.
3. ICC staining Musashi 1 in A549 cells (green). The nuclear counter stain is DAPI (blue). Cells were fixed in paraformaldehyde, permeabilised with 0.25% Triton X100/PBS.
verifiedActivityverifiedActivityverifiedActivity
应用FCMICC/IFIHCIPWB
推荐剂量
WB: 1:1000; IHC: 1:50-200; ICC/IF: 1:50-200; FCM: 1:50-200
抗体种类
Monoclonal
宿主来源Rabbit
构建方式Recombinant Antibody
纯化方式ProA affinity purified
性状Liquid
缓冲液1*TBS (pH7.4), 1%BSA, 40%Glycerol. Preservative: 0.05% Sodium Azide.
研究背景Musashi1 (Msi1) is an RNA-binding protein expressed in neural progenitor cells and neural stem cells. Msi1 is the mammalian homolog of Drosophila Musashi. The gene encoding human Msi1 encodes a 362 amino acid protein. In murine embryonic neural progenitor cells, Msi1 localizes to the cytoplasm and is downregulated during differentiation. Msi1 binds to NUMB, which encodes a membrane-associated antagonist of Notch signaling. Msi1 appears to function in the proliferation and maintenance of stem cell populations of the central nervous system. In addition to its usefulness as a marker for neural progenitor cells in normal human brains, Msi1 is also a marker for human gliomas. In rats, Msi1 is expressed in Sertoli cells of the testis and granulosa cells of the ovary.
偶联与修饰
偶联
Unconjugated
抗原信息
免疫原
Recombinant Protein
Uniprot ID
化学信息
分子量Theoretical: 39 kDa.
储存&溶解度
储存方式Store at -20°C or -80°C for 12 months. Avoid repeated freeze-thaw cycles.
运输方式Shipping with blue ice.

计算器

  • 稀释 计算器
  • 配液 计算器
Related Tags: buy Anti-Musashi 1 Antibody (3I437) | purchase Anti-Musashi 1 Antibody (3I437) | Anti-Musashi 1 Antibody (3I437) cost | order Anti-Musashi 1 Antibody (3I437) | Anti-Musashi 1 Antibody (3I437) molecular weight