购物车
  • TargetMol
    您的购物车当前为空

Anti-Mucin-2/MUC2 Antibody (9V575)

Synonyms: SMUC, Mucin-2, MUC-2, MUC2, Intestinal mucin-2
货号 TMAC-02682 一键复制产品信息
Rating icon 还可以

Anti-Mucin-2/MUC2 Antibody (9V575) 是一种 Rabbit 抗体,靶向 Mucin-2/MUC2。Anti-Mucin-2/MUC2 Antibody (9V575) 可用于 FCM,ICC/IF,IHC,IP,WB。

Anti-Mucin-2/MUC2 Antibody (9V575)

一键复制产品信息
Rating icon 还可以
货号 TMAC-02682

别名 SMUC, Mucin-2, MUC-2, MUC2, Intestinal mucin-2

Anti-Mucin-2/MUC2 Antibody (9V575) 是一种 Rabbit 抗体,靶向 Mucin-2/MUC2。Anti-Mucin-2/MUC2 Antibody (9V575) 可用于 FCM,ICC/IF,IHC,IP,WB。

Anti-Mucin-2/MUC2 Antibody (9V575)
规格价格库存数量
50 μL
¥ 1,495
5日内发货
100 μL
¥ 2,485
5日内发货
库存状态实时更新,以官网显示为准,现货产品可直接加购物车下单
大包装 & 定制
加入购物车

TargetMol的所有产品仅用作科学研究或药证申报,不能被用于人体,我们不向个人提供产品和服务。请您遵守承诺用途,不得违反法律法规规定用于任何其他用途。

实验操作小课堂
常见问题解答
查看更多

资源下载:产品操作手册

产品介绍


生物活性
产品描述
Anti-Mucin-2/MUC2 Antibody (9V575) is a Rabbit antibody targeting Mucin-2/MUC2. Anti-Mucin-2/MUC2 Antibody (9V575) can be used in FCM,ICC/IF,IHC,IP,WB.
别名
SMUC, Mucin-2, MUC-2, MUC2, Intestinal mucin-2
Ig Type
IgG
克隆号
9V575
反应种属
Human,Rat
验证活性
1. Immunohistochemical analysis of paraffin-embedded human breast cancer tissue using anti-MUC2 antibody. Counter stained with hematoxylin.
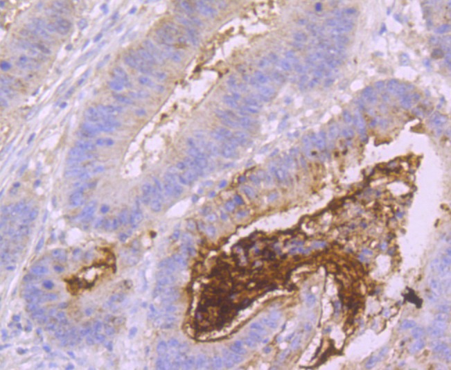
2. Immunohistochemical analysis of paraffin-embedded human colon cancer tissue using anti-MUC2 antibody. Counter stained with hematoxylin.
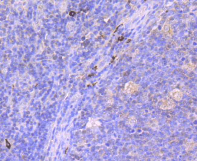
3. Immunohistochemical analysis of paraffin-embedded human tonsil tissue using anti-MUC2 antibody. Counter stained with hematoxylin.
4. Immunohistochemical analysis of paraffin-embedded rat intestine tissue using anti-MUC2 antibody. Counter stained with hematoxylin.
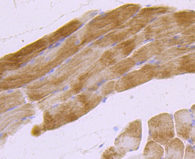
5. Immunohistochemical analysis of paraffin-embedded rat skeletal muscle tissue using anti-MUC2 antibody. Counter stained with hematoxylin.
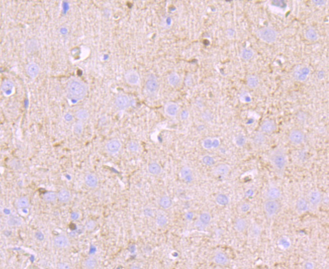
6. Immunohistochemical analysis of paraffin-embedded rat brain tissue using anti-MUC2 antibody. Counter stained with hematoxylin.
7. ICC staining MUC2 in Hela cells (red). The nuclear counter stain is DAPI (blue). Cells were fixed in paraformaldehyde, permeabilised with 0.25% Triton X100/PBS.
8. ICC staining MUC2 in HepG2 cells (red). The nuclear counter stain is DAPI (blue). Cells were fixed in paraformaldehyde, permeabilised with 0.25% Triton X100/PBS.
9. ICC staining MUC2 in SW480 cells (red). The nuclear counter stain is DAPI (blue). Cells were fixed in paraformaldehyde, permeabilised with 0.25% Triton X100/PBS.
10. Flow cytometric analysis of Hela cells with MUC2 antibody at 1/50 dilution (red) compared with an unlabelled control (cells without incubation with primary antibody; black). Alexa Fluor 488-conjugated goat anti rabbit IgG was used as the secondary antibody.
verifiedActivityverifiedActivityverifiedActivityverifiedActivityverifiedActivityverifiedActivityverifiedActivityverifiedActivityverifiedActivityverifiedActivity
应用FCMICC/IFIHCIPWB
推荐剂量
WB: 1:500-1000; IHC: 1:50-200; ICC/IF: 1:100-500; IP: 1:50; FCM: 1:50-100
抗体种类
Monoclonal
宿主来源Rabbit
构建方式Recombinant Antibody
纯化方式ProA affinity purified
性状Liquid
缓冲液1*TBS (pH7.4), 1%BSA, 40%Glycerol. Preservative: 0.05% Sodium Azide.
研究背景The mucins are a family of highly glycosylated, secreted proteins with a basic structure consisting of a variable number of tandem repeats (VNTRs) encoded by 60 base pairs (Mucin 1), 69 base pairs (Mucin 2) and 51 base pairs (Mucin 3). The number of repeats is highly polymorphic and varies among different alleles. Mucin 1 proteins are expressed as type I membrane proteins in addition to secreted forms. Mucin 1 is aberrantly expressed in epithelial tumors including breast carcinomas. Mucin 2 coats the epithelia of the intestines and airways and is associated with colonic tumors. Mucin 3 is a major com-ponent of various mucus gels and is broadly expressed in normal and tumor cells.
偶联与修饰
偶联
Unconjugated
抗原信息
免疫原
Recombinant Protein
Uniprot ID
化学信息
分子量Theoretical: 540 kDa.
储存&溶解度
储存方式Store at -20°C or -80°C for 12 months. Avoid repeated freeze-thaw cycles.
运输方式Shipping with blue ice.

计算器

  • 稀释 计算器
  • 配液 计算器
Related Tags: buy Anti-Mucin-2/MUC2 Antibody (9V575) | purchase Anti-Mucin-2/MUC2 Antibody (9V575) | Anti-Mucin-2/MUC2 Antibody (9V575) cost | order Anti-Mucin-2/MUC2 Antibody (9V575) | Anti-Mucin-2/MUC2 Antibody (9V575) molecular weight