购物车
  • TargetMol
    您的购物车当前为空

Anti-Moesin Antibody (2Z70)

Synonyms: moesin, HEL70
货号 TMAC-02633 一键复制产品信息
Rating icon 还可以

Anti-Moesin Antibody (2Z70) 是一种 Rabbit 抗体,靶向 Moesin。Anti-Moesin Antibody (2Z70) 可用于 FCM,ICC/IF,IHC,IP,WB。

Anti-Moesin Antibody (2Z70)

一键复制产品信息
Rating icon 还可以
货号 TMAC-02633

别名 moesin, HEL70

Anti-Moesin Antibody (2Z70) 是一种 Rabbit 抗体,靶向 Moesin。Anti-Moesin Antibody (2Z70) 可用于 FCM,ICC/IF,IHC,IP,WB。

Anti-Moesin Antibody (2Z70)
规格价格库存数量
50 μL
¥ 1,480
5日内发货
100 μL
¥ 2,495
5日内发货
库存状态实时更新,以官网显示为准,现货产品可直接加购物车下单
大包装 & 定制
加入购物车
TargetMol的所有产品仅用作科学研究或药证申报,不能被用于人体,我们不向个人提供产品和服务。请您遵守承诺用途,不得违反法律法规规定用于任何其他用途。
实验操作小课堂
常见问题解答
查看更多

资源下载:产品操作手册

产品介绍


生物活性
产品描述
Anti-Moesin Antibody (2Z70) is a Rabbit antibody targeting Moesin. Anti-Moesin Antibody (2Z70) can be used in FCM,ICC/IF,IHC,IP,WB.
别名moesin, HEL70
Ig Type
IgG
克隆号
2Z70
反应种属
Human,Mouse,Rat
验证活性
1. Western blot analysis of Moesin on different lysates using anti-Moesin antibody at 1/1,000 dilution. Positive control: Lane 1: Raji, Lane 2: SH-SY-5Y.
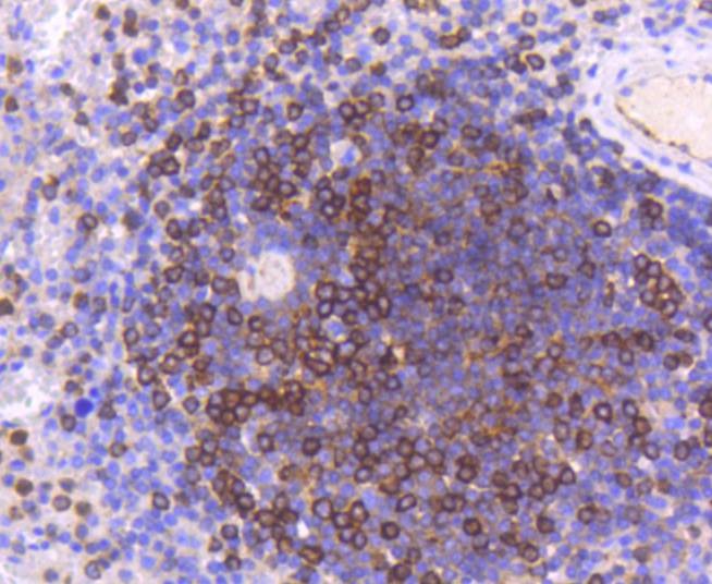
2. Immunohistochemical analysis of paraffin-embedded human tonsil tissue using anti-Moesin antibody. Counter stained with hematoxylin.
3. Immunohistochemical analysis of paraffin-embedded human spleen tissue using anti-Moesin antibody. Counter stained with hematoxylin.
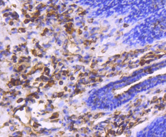
4. Immunohistochemical analysis of paraffin-embedded human breast carcinoma tissue using anti-Moesin antibody. Counter stained with hematoxylin.
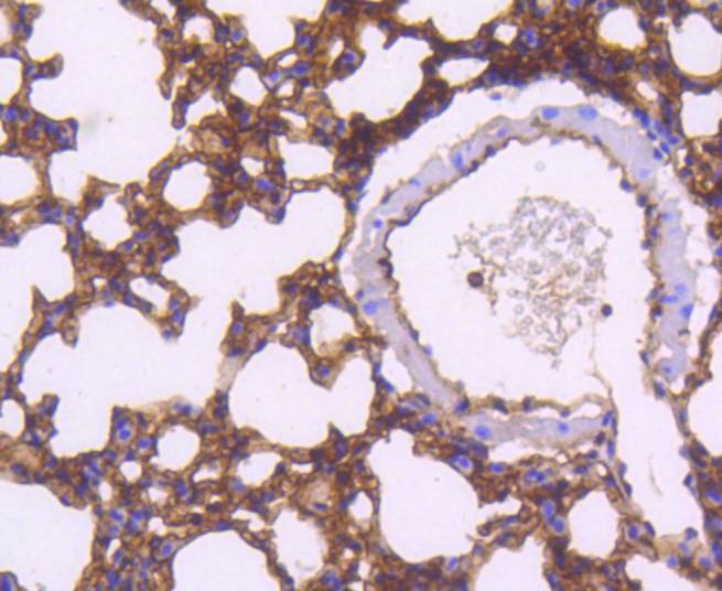
5. Immunohistochemical analysis of paraffin-embedded mouse lung tissue using anti-Moesin antibody. Counter stained with hematoxylin.
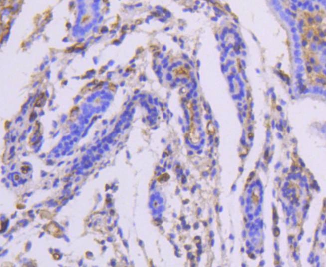
6. Immunohistochemical analysis of paraffin-embedded mouse placenta tissue using anti-Moesin antibody. Counter stained with hematoxylin.
7. Immunohistochemical analysis of paraffin-embedded mouse stomach tissue using anti-Moesin antibody. Counter stained with hematoxylin.
8. ICC staining Moesin in Hela cells (green). The nuclear counter stain is DAPI (blue). Cells were fixed in paraformaldehyde, permeabilised with 0.25% Triton X100/PBS.
9. ICC staining Moesin in NCCIT cells (green). The nuclear counter stain is DAPI (blue). Cells were fixed in paraformaldehyde, permeabilised with 0.25% Triton X100/PBS.
10. Flow cytometric analysis of Hela cells with Moesin antibody at 1/50 dilution (red) compared with an unlabelled control (cells without incubation with primary antibody; black). Alexa Fluor 488-conjugated goat anti rabbit IgG was used as the secondary antibody.
verifiedActivityverifiedActivityverifiedActivityverifiedActivityverifiedActivityverifiedActivityverifiedActivityverifiedActivityverifiedActivityverifiedActivity
应用FCMICC/IFIHCIPWB
推荐剂量
WB: 1:1000-2000; IHC: 1:50-200; ICC/IF: 1:50-200; FCM: 1:50-100
抗体种类
Monoclonal
宿主来源Rabbit
构建方式Recombinant Antibody
纯化方式ProA affinity purified
性状Liquid
缓冲液1*TBS (pH7.4), 1%BSA, 40%Glycerol. Preservative: 0.05% Sodium Azide.
研究背景Ezrin, Moesin and Radixin belong to a family of highly homologous Actin-associated proteins that are localized just beneath the plasma membrane. These proteins are believed to be involved in the mediation of interactions between cytoskeletal and membrane proteins. Ezrin serves as a major cytoplasmic substrate of various protein-tyrosine kinases, including the epidermal growth factor receptor. Ezrin has also been identified as a cAMP-dependent protein kinase (A-kinase) anchoring protein and designated AKAP78. Moesin and Radixin share more than 70% homology with Ezrin and are co-expressed within various cell types. Despite the high degree of homology, the three proteins exhibit a distinct receptor-specific pattern of phosphorylation.
偶联与修饰
偶联
Unconjugated
抗原信息
免疫原
Recombinant Protein
Uniprot ID
化学信息
分子量Theoretical: 68 kDa.
储存&溶解度
储存方式Store at -20°C or -80°C for 12 months. Avoid repeated freeze-thaw cycles.
运输方式Shipping with blue ice.

计算器

  • 稀释 计算器
  • 配液 计算器

关键词

Related Tags: buy Anti-Moesin Antibody (2Z70) | purchase Anti-Moesin Antibody (2Z70) | Anti-Moesin Antibody (2Z70) cost | order Anti-Moesin Antibody (2Z70) | Anti-Moesin Antibody (2Z70) molecular weight