购物车
  • TargetMol
    您的购物车当前为空

Anti-MMP-1 Antibody (1H680)

Synonyms: matrix metallopeptidase 1, CLGN, CLG
货号 TMAC-02615Cas号 一键复制产品信息纯度:
Rating icon 还可以

Anti-MMP-1 Antibody (1H680) 是一种 Mouse 抗体,靶向 MMP-1。Anti-MMP-1 Antibody (1H680) 可用于 ELISA,FCM,IF,IHC,WB。

Anti-MMP-1 Antibody (1H680)

一键复制产品信息
Rating icon 还可以
货号 TMAC-02615

别名 matrix metallopeptidase 1, CLGN, CLG

Anti-MMP-1 Antibody (1H680) 是一种 Mouse 抗体,靶向 MMP-1。Anti-MMP-1 Antibody (1H680) 可用于 ELISA,FCM,IF,IHC,WB。

Anti-MMP-1 Antibody (1H680)
规格价格库存数量
50 μL
¥ 1,340
5日内发货
100 μL
¥ 2,190
5日内发货
库存状态实时更新,以官网显示为准,现货产品可直接加购物车下单
大包装 & 定制
加入购物车

TargetMol的所有产品仅用作科学研究或药证申报,不能被用于人体,我们不向个人提供产品和服务。请您遵守承诺用途,不得违反法律法规规定用于任何其他用途。

实验操作小课堂
常见问题解答
查看更多

资源下载:产品操作手册

产品介绍


生物活性
产品描述
Anti-MMP-1 Antibody (1H680) is a Mouse antibody targeting MMP-1. Anti-MMP-1 Antibody (1H680) can be used in ELISA,FCM,IF,IHC,WB.
别名
matrix metallopeptidase 1, CLGN, CLG
克隆号
1H680
反应种属
Human
验证活性
1. Western Blot analysis using MMP-1 Monoclonal Antibody against HEK293 (1) and MMP1-hIgGFc transfected HEK293 (2) cell lysate.
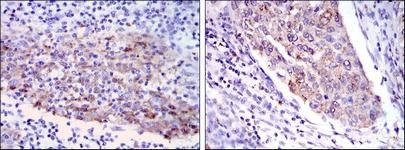
2. Immunohistochemistry analysis of paraffin-embedded human cervical cancer tissues (left) and human kidney cancer tissues (right) with DAB staining using MMP-1 Monoclonal Antibody.
3. Immunofluorescence analysis of Hela cells using MMP-1 Monoclonal Antibody.
verifiedActivityverifiedActivityverifiedActivity
应用ELISAFCMIFIHCWB
推荐剂量
WB: 1:500-2000; IHC: 1:200-1000; IF: 1:200-1000; FCM: 1:200-400; ELISA: 1:10000
抗体种类
Monoclonal
宿主来源Mouse
构建方式Hybridoma Monoclonal Antibody
纯化方式Affinity purification
性状Liquid
缓冲液Liquid in PBS containing 50% glycerol, 0.5% BSA and 0.02% sodium azide.
偶联与修饰
偶联
Unconjugated
抗原信息
免疫原
Recombinant Protein: human MMP-1
抗原种属
human
基因ID
Uniprot ID
化学信息
分子量Theoretical: 54 kDa.
储存&溶解度
储存方式Store at -20°C or -80°C for 12 months. Avoid repeated freeze-thaw cycles.
运输方式Shipping with blue ice.

计算器

  • 稀释 计算器
  • 配液 计算器
Related Tags: buy Anti-MMP-1 Antibody (1H680) | purchase Anti-MMP-1 Antibody (1H680) | Anti-MMP-1 Antibody (1H680) cost | order Anti-MMP-1 Antibody (1H680) | Anti-MMP-1 Antibody (1H680) molecular weight