购物车
  • TargetMol
    您的购物车当前为空

Anti-MMEL1 Antibody (9N137)

Synonyms: Soluble secreted endopeptidase, SEP, NL2, NL1, Neprilysin Like 1, Neprilysin 2, MMEL 1, Membrane metallo endopeptidase like 2, Membrane metallo endopeptidase like 1, Mel transforming oncogene like 1
货号 TMAC-02614 一键复制产品信息
Rating icon 还可以

Anti-MMEL1 Antibody (9N137) 是一种 Mouse 抗体,靶向 MMEL1。Anti-MMEL1 Antibody (9N137) 可用于 FCM,IHC,WB。

Anti-MMEL1 Antibody (9N137)

一键复制产品信息
Rating icon 还可以
货号 TMAC-02614

别名 Soluble secreted endopeptidase, SEP, NL2, NL1, Neprilysin Like 1, Neprilysin 2, MMEL 1, Membrane metallo endopeptidase like 2, Membrane metallo endopeptidase like 1, Mel transforming oncogene like 1

Anti-MMEL1 Antibody (9N137) 是一种 Mouse 抗体,靶向 MMEL1。Anti-MMEL1 Antibody (9N137) 可用于 FCM,IHC,WB。

Anti-MMEL1 Antibody (9N137)
规格价格库存数量
50 μL
¥ 1,985
5日内发货
100 μL
¥ 2,995
5日内发货
库存状态实时更新,以官网显示为准,现货产品可直接加购物车下单
大包装 & 定制
加入购物车
TargetMol的所有产品仅用作科学研究或药证申报,不能被用于人体,我们不向个人提供产品和服务。请您遵守承诺用途,不得违反法律法规规定用于任何其他用途。
实验操作小课堂
常见问题解答
查看更多

资源下载:产品操作手册

产品介绍


生物活性
产品描述
Anti-MMEL1 Antibody (9N137) is a Mouse antibody targeting MMEL1. Anti-MMEL1 Antibody (9N137) can be used in FCM,IHC,WB.
别名Soluble secreted endopeptidase, SEP, NL2, NL1, Neprilysin Like 1, Neprilysin 2, MMEL 1, Membrane metallo endopeptidase like 2, Membrane metallo endopeptidase like 1, Mel transforming oncogene like 1
克隆号
9N137
反应种属
Human
验证活性
1. Western blot analysis of MMEL1 on human MMEL1 recombinant protein using anti-MMEL1 antibody at 1/1,000 dilution.
2. Western blot analysis of MMEL1 on HEK293 (1) and MMEL1-hIgGFc transfected HEK293 (2) cell lysate using anti-MMEL1 antibody at 1/1,000 dilution.
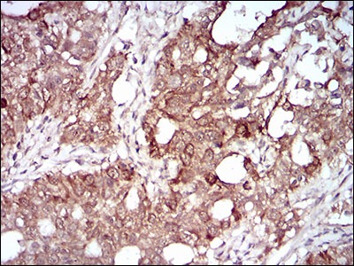
3. Immunohistochemical analysis of paraffin-embedded human ovarian cancer tissue using anti-MMEL1 antibody. Counter stained with hematoxylin.
4. Immunohistochemical analysis of paraffin-embedded human cervical cancer tissue using anti-MMEL1 antibody. Counter stained with hematoxylin.
verifiedActivityverifiedActivityverifiedActivityverifiedActivity
应用FCMIHCWB
推荐剂量
WB: 1:500-2000; IHC: 1:50-200; FCM: 1:50-100
抗体种类
Monoclonal
宿主来源Mouse
构建方式Hybridoma Monoclonal Antibody
纯化方式ProA affinity purified
性状Liquid
缓冲液1*TBS (pH7.4), 1%BSA, 40%Glycerol. Preservative: 0.05% Sodium Azide.
研究背景Metalloprotease involved in sperm function, possibly by modulating the processes of fertilization and early embryonic development. Degrades a broad variety of small peptides with a preference for peptides shorter than 3 kDa containing neutral bulky aliphatic or aromatic amino acid residues. Shares the same substrate specificity with MME and cleaves peptides at the same amide bond (By similarity).
偶联与修饰
偶联
Unconjugated
抗原信息
免疫原
Recombinant Protein
Uniprot ID
化学信息
分子量Theoretical: 90 kDa.
储存&溶解度
储存方式Store at -20°C or -80°C for 12 months. Avoid repeated freeze-thaw cycles.
运输方式Shipping with blue ice.

计算器

  • 稀释 计算器
  • 配液 计算器
Related Tags: buy Anti-MMEL1 Antibody (9N137) | purchase Anti-MMEL1 Antibody (9N137) | Anti-MMEL1 Antibody (9N137) cost | order Anti-MMEL1 Antibody (9N137) | Anti-MMEL1 Antibody (9N137) molecular weight