购物车
  • TargetMol
    您的购物车当前为空

Anti-MEK2 Antibody (9Y802)

Synonyms: PRKM3, p44-MAPK, P44MAPK, p44-ERK1, P44ERK1, HUMKER1A, HS44KDAP, ERT2, ERK-2, Erk2, ERK-1, ERK1
货号 TMAC-02541 一键复制产品信息
Rating icon 还可以

Anti-MEK2 Antibody (9Y802) 是一种 Rabbit 抗体,靶向 MEK2。Anti-MEK2 Antibody (9Y802) 可用于 FCM,ICC/IF,IHC,IP,WB。

Anti-MEK2 Antibody (9Y802)

一键复制产品信息
Rating icon 还可以
货号 TMAC-02541

别名 PRKM3, p44-MAPK, P44MAPK, p44-ERK1, P44ERK1, HUMKER1A, HS44KDAP, ERT2, ERK-2, Erk2, ERK-1, ERK1

Anti-MEK2 Antibody (9Y802) 是一种 Rabbit 抗体,靶向 MEK2。Anti-MEK2 Antibody (9Y802) 可用于 FCM,ICC/IF,IHC,IP,WB。

Anti-MEK2 Antibody (9Y802)
规格价格库存数量
50 μL
¥ 1,480
5日内发货
100 μL
¥ 2,490
5日内发货
库存状态实时更新,以官网显示为准,现货产品可直接加购物车下单
大包装 & 定制
加入购物车

TargetMol的所有产品仅用作科学研究或药证申报,不能被用于人体,我们不向个人提供产品和服务。请您遵守承诺用途,不得违反法律法规规定用于任何其他用途。

实验操作小课堂
常见问题解答
查看更多

资源下载:产品操作手册

产品介绍


生物活性
产品描述
Anti-MEK2 Antibody (9Y802) is a Rabbit antibody targeting MEK2. Anti-MEK2 Antibody (9Y802) can be used in FCM,ICC/IF,IHC,IP,WB.
别名
PRKM3, p44-MAPK, P44MAPK, p44-ERK1, P44ERK1, HUMKER1A, HS44KDAP, ERT2, ERK-2, Erk2, ERK-1, ERK1
Ig Type
IgG
克隆号
9Y802
反应种属
Human,Mouse
验证活性
1. Western blot analysis of MEK2 on different lysates using anti-MEK2 antibody at 1/1,000 dilution. Positive control: Lane 1: Jurkat, Lane 2: Hela, Lane 3: 293T.
2. Immunohistochemical analysis of paraffin-embedded human spleen tissue using anti-MEK2 antibody. Counter stained with hematoxylin.
3. Immunohistochemical analysis of paraffin-embedded human breast carcinoma tissue using anti-MEK2 antibody. Counter stained with hematoxylin.
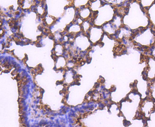
4. Immunohistochemical analysis of paraffin-embedded mouse lung tissue using anti-MEK2 antibody. Counter stained with hematoxylin.
5. Immunohistochemical analysis of paraffin-embedded human liver cancer tissue using anti-MEK2 antibody. Counter stained with hematoxylin.
6. ICC staining MEK2 in Hela cells (green). The nuclear counter stain is DAPI (blue). Cells were fixed in paraformaldehyde, permeabilised with 0.25% Triton X100/PBS.
7. ICC staining MEK2 in NIH/3T3 cells (green). The nuclear counter stain is DAPI (blue). Cells were fixed in paraformaldehyde, permeabilised with 0.25% Triton X100/PBS.
8. ICC staining MEK2 in NIH/3T3 cells (green). The nuclear counter stain is DAPI (blue). Cells were fixed in paraformaldehyde, permeabilised with 0.25% Triton X100/PBS.
9. Flow cytometric analysis of Hela cells with MEK2 antibody at 1/50 dilution (red) compared with an unlabelled control (cells without incubation with primary antibody; black). Alexa Fluor 488-conjugated goat anti rabbit IgG was used as the secondary antibody.
verifiedActivityverifiedActivityverifiedActivityverifiedActivityverifiedActivityverifiedActivityverifiedActivityverifiedActivityverifiedActivity
应用FCMICC/IFIHCIPWB
推荐剂量
WB: 1:1000-5000; IHC: 1:100-500; ICC/IF: 1:100-500; FCM: 1:50-100
抗体种类
Monoclonal
宿主来源Rabbit
构建方式Recombinant Antibody
纯化方式ProA affinity purified
性状Liquid
缓冲液1*TBS (pH7.4), 1%BSA, 40%Glycerol. Preservative: 0.05% Sodium Azide.
研究背景A family of protein kinases located upstream of the MAP kinases and responsible for their activation has been identified. The prototype member of this family, designated MAP kinase kinase, or MEK-1, specifically phosphorylates the MAP kinase regulatory threonine and tyrosine residues present in the Thr-Glu-Tyr motif of ERK. A second MEK family member, MEK-2, resembles MEK-1 in its substrate specificity. MEK-3 (or MKK-3) functions to activate p38 MAP kinase, and MEK-4 (also called SEK1 or MKK-4) activates both p38 and JNK MAP kinases. MEK-5 appears to specifically phosphorylate ERK5, whereas MEK-6 phosphorylates p38 and p38b. MEK-7 (or MKK-7) phosphorylates and activates the JNK signal transduction pathway.
偶联与修饰
偶联
Unconjugated
抗原信息
免疫原
Recombinant Protein
Uniprot ID
化学信息
分子量Theoretical: 44 kDa.
储存&溶解度
储存方式Store at -20°C or -80°C for 12 months. Avoid repeated freeze-thaw cycles.
运输方式Shipping with blue ice.

计算器

  • 稀释 计算器
  • 配液 计算器
Related Tags: buy Anti-MEK2 Antibody (9Y802) | purchase Anti-MEK2 Antibody (9Y802) | Anti-MEK2 Antibody (9Y802) cost | order Anti-MEK2 Antibody (9Y802) | Anti-MEK2 Antibody (9Y802) molecular weight