购物车
  • TargetMol
    您的购物车当前为空

Anti-MCM3 Antibody (3T338)

Synonyms: RLFB, RLF subunit beta, RLF beta subunit, Replication licensing factor beta subunit, P1-MCM3, P102 protein, p102, P1.h, P1 Protein, P1 MCM3, P1 h, Minichromosome maintenance protein 3, Minichromosome maintenance deficient 3, Minichromosome maintenance complex component 3, MGC1157, MCM3_HUMAN, MCM3 minichromosome maintenance deficient 3, mcm3, MCM 3, Human cervical cancer proto oncogene 5, hRlf beta subunit, HCC5, HCC 5, DNA replication licensing factor mcm3, DNA replication factor MCM3, DNA polymerase alpha holoenzyme-associated protein P1, DNA polymerase alpha holoenzyme associated protein P1, DNA polymerase alpha holoenzyme associated P1, Cervical cancer proto oncogene 5
货号 TMAC-02498 一键复制产品信息
Rating icon 还可以
202603开学季活动

Anti-MCM3 Antibody (3T338) 是一种 Rabbit 抗体,靶向 MCM3。Anti-MCM3 Antibody (3T338) 可用于 FCM,ICC,IF,IHC,WB。

Anti-MCM3 Antibody (3T338)

一键复制产品信息
Rating icon 还可以
202603开学季活动
货号 TMAC-02498

别名 RLFB, RLF subunit beta, RLF beta subunit, Replication licensing factor beta subunit, P1-MCM3, P102 protein, p102, P1.h, P1 Protein, P1 MCM3, P1 h, Minichromosome maintenance protein 3, Minichromosome maintenance deficient 3, Minichromosome maintenance complex component 3, MGC1157, MCM3_HUMAN, MCM3 minichromosome maintenance deficient 3, mcm3, MCM 3, Human cervical cancer proto oncogene 5, hRlf beta subunit, HCC5, HCC 5, DNA replication licensing factor mcm3, DNA replication factor MCM3, DNA polymerase alpha holoenzyme-associated protein P1, DNA polymerase alpha holoenzyme associated protein P1, DNA polymerase alpha holoenzyme associated P1, Cervical cancer proto oncogene 5

Anti-MCM3 Antibody (3T338) 是一种 Rabbit 抗体,靶向 MCM3。Anti-MCM3 Antibody (3T338) 可用于 FCM,ICC,IF,IHC,WB。

Anti-MCM3 Antibody (3T338)
规格价格库存数量
50 μL
¥ 1,480
5日内发货
100 μL
¥ 2,495
5日内发货
库存状态实时更新,以官网显示为准,现货产品可直接加购物车下单
大包装 & 定制
加入购物车

TargetMol的所有产品仅用作科学研究或药证申报,不能被用于人体,我们不向个人提供产品和服务。请您遵守承诺用途,不得违反法律法规规定用于任何其他用途。

实验操作小课堂
常见问题解答
查看更多

资源下载:产品操作手册

产品介绍


生物活性
产品描述
Anti-MCM3 Antibody (3T338) is a Rabbit antibody targeting MCM3. Anti-MCM3 Antibody (3T338) can be used in FCM,ICC,IF,IHC,WB.
别名
RLFB, RLF subunit beta, RLF beta subunit, Replication licensing factor beta subunit, P1-MCM3, P102 protein, p102, P1.h, P1 Protein, P1 MCM3, P1 h, Minichromosome maintenance protein 3, Minichromosome maintenance deficient 3, Minichromosome maintenance complex component 3, MGC1157, MCM3_HUMAN, MCM3 minichromosome maintenance deficient 3, mcm3, MCM 3, Human cervical cancer proto oncogene 5, hRlf beta subunit, HCC5, HCC 5, DNA replication licensing factor mcm3, DNA replication factor MCM3, DNA polymerase alpha holoenzyme-associated protein P1, DNA polymerase alpha holoenzyme associated protein P1, DNA polymerase alpha holoenzyme associated P1, Cervical cancer proto oncogene 5
Ig Type
IgG
克隆号
3T338
反应种属
Human,Mouse,Rat
验证活性
1. Western blot analysis of MCM3 on mouse thymus tissue (1), NIH-3T3 cell (2) and Hela (3)cell lysates using anti-MCM3 antibody at 1/500 dilution.
2. Immunohistochemical analysis of paraffin-embedded rat testis tissue using anti-MCM3 antibody. Counter stained with hematoxylin.
3. Immunohistochemical analysis of paraffin-embedded human tonsil tissue using anti-MCM3 antibody. Counter stained with hematoxylin.
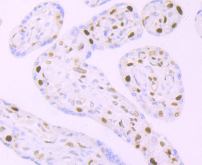
4. Immunohistochemical analysis of paraffin-embedded human placenta tissue using anti-MCM3 antibody. Counter stained with hematoxylin.
5. Immunohistochemical analysis of paraffin-embedded mouse small intestine tissue using anti-MCM3 antibody. Counter stained with hematoxylin.
6. ICC staining MCM3 in 293T cells (green). The nuclear counter stain is DAPI (blue). Cells were fixed in paraformaldehyde, permeabilised with 0.25% Triton X100/PBS.
7. ICC staining MCM3 in HepG2 cells (green). The nuclear counter stain is DAPI (blue). Cells were fixed in paraformaldehyde, permeabilised with 0.25% Triton X100/PBS.
8. ICC staining MCM3 in SH-SY-5Y cells (green). The nuclear counter stain is DAPI (blue). Cells were fixed in paraformaldehyde, permeabilised with 0.25% Triton X100/PBS.
9. Flow cytometric analysis of K562 cells with MCM3 antibody at 1/100 dilution (red) compared with an unlabelled control (cells without incubation with primary antibody; black). Alexa Fluor 488-conjugated goat anti-rabbit IgG was used as the secondary antibody.
verifiedActivityverifiedActivityverifiedActivityverifiedActivityverifiedActivityverifiedActivityverifiedActivityverifiedActivityverifiedActivity
应用FCMICCIFIHCWB
推荐剂量
WB: 1:500-1000; IHC: 1:50-200; ICC: 1:50-200; FCM: 1:50-100
抗体种类
Monoclonal
宿主来源Rabbit
构建方式Recombinant Antibody
纯化方式ProA affinity purified
性状Liquid
缓冲液1*TBS (pH7.4), 1%BSA, 40%Glycerol. Preservative: 0.05% Sodium Azide.
研究背景The mini-chromosome maintenance (MCM) family of proteins, including MCM2, MCM3, MCM4 (Cdc21), MCM5 (Cdc46), MCM6 (Mis5) and MCM7 (Cdc47), are regulators of DNA replication that act to ensure replication occurs only once in the cell cycle. Expression of MCM proteins increases during cell growth, peaking at G1 to S phase. The MCM proteins each contain an ATP-binding motif, which is predicted to mediate ATP-dependent opening of double-stranded DNA. MCM proteins are regulated by E2F transcription factors, which induce MCM expression, and by protein kinases, which interact with MCM proteins to maintain the postreplicative state of the cell. MCM2/MCM4 complexes function as substrates for Cdc2/cyclin B in vitro. Cleavage of MCM3, which can be prevented by caspase inhibitors, results in the inactivation during apoptosis of the MCM complex, which is composed of, at least, MCM2?C6. A complex composed of MCM4, MCM6 and MCM7 has been shown to be involved in DNA helicase activity, and MCM5 is involved in IFN-γ-induced Stat1α transcription activation.
偶联与修饰
偶联
Unconjugated
抗原信息
免疫原
Recombinant Protein
Uniprot ID
化学信息
分子量Theoretical: 102 kDa.
储存&溶解度
储存方式Store at -20°C or -80°C for 12 months. Avoid repeated freeze-thaw cycles.
运输方式Shipping with blue ice.

计算器

  • 稀释 计算器
  • 配液 计算器
Related Tags: buy Anti-MCM3 Antibody (3T338) | purchase Anti-MCM3 Antibody (3T338) | Anti-MCM3 Antibody (3T338) cost | order Anti-MCM3 Antibody (3T338) | Anti-MCM3 Antibody (3T338) molecular weight