购物车
  • TargetMol
    您的购物车当前为空

Anti-Mcl-1 Antibody (6C872)

Synonyms: TM, MCL1S, MCL1L, MCL1-ES, mcl1/EAT, Mcl-1, EAT, bcl2-L-3, BCL2L3
货号 TMAC-02495 一键复制产品信息
Rating icon 还可以

Anti-Mcl-1 Antibody (6C872) 是一种 Rabbit 抗体,靶向 Mcl-1。Anti-Mcl-1 Antibody (6C872) 可用于 FCM,ICC/IF,IHC,IP,WB。

Anti-Mcl-1 Antibody (6C872)

一键复制产品信息
Rating icon 还可以
货号 TMAC-02495

别名 TM, MCL1S, MCL1L, MCL1-ES, mcl1/EAT, Mcl-1, EAT, bcl2-L-3, BCL2L3

Anti-Mcl-1 Antibody (6C872) 是一种 Rabbit 抗体,靶向 Mcl-1。Anti-Mcl-1 Antibody (6C872) 可用于 FCM,ICC/IF,IHC,IP,WB。

Anti-Mcl-1 Antibody (6C872)
规格价格库存数量
50 μL
¥ 1,495
5日内发货
100 μL
¥ 2,485
5日内发货
库存状态实时更新,以官网显示为准,现货产品可直接加购物车下单
大包装 & 定制
加入购物车
TargetMol的所有产品仅用作科学研究或药证申报,不能被用于人体,我们不向个人提供产品和服务。请您遵守承诺用途,不得违反法律法规规定用于任何其他用途。
实验操作小课堂
常见问题解答
查看更多

资源下载:产品操作手册

产品介绍


生物活性
产品描述
Anti-Mcl-1 Antibody (6C872) is a Rabbit antibody targeting Mcl-1. Anti-Mcl-1 Antibody (6C872) can be used in FCM,ICC/IF,IHC,IP,WB.
别名TM, MCL1S, MCL1L, MCL1-ES, mcl1/EAT, Mcl-1, EAT, bcl2-L-3, BCL2L3
Ig Type
IgG
克隆号
6C872
反应种属
Human,Mouse,Rat
验证活性
1. Western blot analysis of MCL1 on different lysates using anti-MCL1 antibody at 1/1,000 dilution. Positive control: Lane 1: Raji, Lane 2: Mouse heart.
2. Immunohistochemical analysis of paraffin-embedded human breast tissue using anti-MCL1 antibody. Counter stained with hematoxylin.
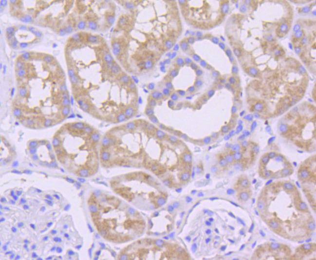
3. Immunohistochemical analysis of paraffin-embedded human kidney tissue using anti-MCL1 antibody. Counter stained with hematoxylin.
4. Immunohistochemical analysis of paraffin-embedded human pancreas tissue using anti-MCL1 antibody. Counter stained with hematoxylin.
5. ICC staining MCL1 in Hela cells (green). The nuclear counter stain is DAPI (blue). Cells were fixed in paraformaldehyde, permeabilised with 0.25% Triton X100/PBS.
6. ICC staining MCL1 in HepG2 cells (green). The nuclear counter stain is DAPI (blue). Cells were fixed in paraformaldehyde, permeabilised with 0.25% Triton X100/PBS.
7. ICC staining MCL1 in BT-20 cells (green). The nuclear counter stain is DAPI (blue). Cells were fixed in paraformaldehyde, permeabilised with 0.25% Triton X100/PBS.
8. Flow cytometric analysis of Jurkat cells with MCL1 antibody at 1/50 dilution (blue) compared with an unlabelled control (cells without incubation with primary antibody; red). Alexa Fluor 488-conjugated goat anti rabbit IgG was used as the secondary antibody.
verifiedActivityverifiedActivityverifiedActivityverifiedActivityverifiedActivityverifiedActivityverifiedActivityverifiedActivity
应用FCMICC/IFIHCIPWB
推荐剂量
WB: 1:1000; IHC: 1:50-200; ICC/IF: 1:50-200; FCM: 1:50-100
抗体种类
Monoclonal
宿主来源Rabbit
构建方式Recombinant Antibody
纯化方式ProA affinity purified
性状Liquid
缓冲液1*TBS (pH7.4), 1%BSA, 40%Glycerol. Preservative: 0.05% Sodium Azide.
研究背景B-cell CLL/lymphoma 2 (Bcl-2) blocks cell death following a variety of stimuli and confers a death-sparing effect to certain hematopoietic cell lines following growth factor withdrawal. Myeloid cell leukemia 1 (Mcl-1) shares sequence homology with Bcl-2 and further resembles Bcl-2 in that its expression promotes cell viability. p53 and Mcl-1 demonstrate opposing effects on mitochondrial apoptosis by mediating Bcl-2 antagonist killer (Bak) activity. Mcl-1 is an important and specific regulator that is necessary for the homeostasis of early hematopoietic progenitors. Glycogen synthase kinase 3 (GSK3) controls Mcl-1 stability, which has an effect on the regulation of apoptosis by growth factors, PI 3-kinase and AKT. Mice with a deficiency of the Mcl-1 protein show a significant reduction in B and T lymphocytes similar to the effects observed in IL-7- or IL-7R-deficient mice.
偶联与修饰
偶联
Unconjugated
抗原信息
免疫原
Recombinant Protein
Uniprot ID
化学信息
分子量Theoretical: 37/29 kDa.
储存&溶解度
储存方式Store at -20°C or -80°C for 12 months. Avoid repeated freeze-thaw cycles.
运输方式Shipping with blue ice.

计算器

  • 稀释 计算器
  • 配液 计算器
Related Tags: buy Anti-Mcl-1 Antibody (6C872) | purchase Anti-Mcl-1 Antibody (6C872) | Anti-Mcl-1 Antibody (6C872) cost | order Anti-Mcl-1 Antibody (6C872) | Anti-Mcl-1 Antibody (6C872) molecular weight