购物车
  • TargetMol
    您的购物车当前为空

Anti-MAPK1 Antibody (5N256)

Synonyms: Protein tyrosine kinase ERK 2, Protein kinase mitogen activated 3, Protein kinase mitogen activated 2, Protein kinase mitogen activated 1, PRKM3, PRKM2, PRKM1, PRKM 3, PRKM 2, PRKM 1, p44MAPK, p44ERK1, p44 MAPK, p44 ERK1, p42-MAPK, p42MAPK, p42 MAPK, p41mapk, p41, p40, p38, MK03, MK01, Mitogen activated protein kinase 3, Mitogen activated protein kinase 2, Mitogen activated protein kinase 1, Microtubule associated protein 2 kinase, MGC20180, MAPK3, MAPK2, MAPK1, MAPK 3, MAPK 2, MAPK 1, MAP kinase isoform p44, MAP kinase isoform p42, MAP kinase 2, MAP kinase 1, Insulin stimulated MAP2 kinase, HUMKER1A, HS44KDAP, Extracellular signal-regulated kinase 2, Extracellular signal regulated kinase 2, Extracellular signal regulated kinase 1, ERT2, ERT1, ERK-2, ERK2, ERK1, ERK 2, ERK 1/2, ERK 1
货号 TMAC-01372 一键复制产品信息
Rating icon 还可以

Anti-MAPK1 Antibody (5N256) 是一种 Rabbit 抗体,靶向 MAPK1。Anti-MAPK1 Antibody (5N256) 可用于 FCM,ICC/IF,IHC,IP,WB。

Anti-MAPK1 Antibody (5N256)

一键复制产品信息
Rating icon 还可以
货号 TMAC-01372

别名 Protein tyrosine kinase ERK 2, Protein kinase mitogen activated 3, Protein kinase mitogen activated 2, Protein kinase mitogen activated 1, PRKM3, PRKM2, PRKM1, PRKM 3, PRKM 2, PRKM 1, p44MAPK, p44ERK1, p44 MAPK, p44 ERK1, p42-MAPK, p42MAPK, p42 MAPK, p41mapk, p41, p40, p38, MK03, MK01, Mitogen activated protein kinase 3, Mitogen activated protein kinase 2, Mitogen activated protein kinase 1, Microtubule associated protein 2 kinase, MGC20180, MAPK3, MAPK2, MAPK1, MAPK 3, MAPK 2, MAPK 1, MAP kinase isoform p44, MAP kinase isoform p42, MAP kinase 2, MAP kinase 1, Insulin stimulated MAP2 kinase, HUMKER1A, HS44KDAP, Extracellular signal-regulated kinase 2, Extracellular signal regulated kinase 2, Extracellular signal regulated kinase 1, ERT2, ERT1, ERK-2, ERK2, ERK1, ERK 2, ERK 1/2, ERK 1

Anti-MAPK1 Antibody (5N256) 是一种 Rabbit 抗体,靶向 MAPK1。Anti-MAPK1 Antibody (5N256) 可用于 FCM,ICC/IF,IHC,IP,WB。

Anti-MAPK1 Antibody (5N256)
规格价格库存数量
50 μL
¥ 1,495
5日内发货
100 μL
¥ 2,485
5日内发货
库存状态实时更新,以官网显示为准,现货产品可直接加购物车下单
大包装 & 定制
加入购物车
TargetMol的所有产品仅用作科学研究或药证申报,不能被用于人体,我们不向个人提供产品和服务。请您遵守承诺用途,不得违反法律法规规定用于任何其他用途。
实验操作小课堂
常见问题解答
查看更多

资源下载:产品操作手册

产品介绍


生物活性
产品描述
Anti-MAPK1 Antibody (5N256) is a Rabbit antibody targeting MAPK1. Anti-MAPK1 Antibody (5N256) can be used in FCM,ICC/IF,IHC,IP,WB.
别名Protein tyrosine kinase ERK 2, Protein kinase mitogen activated 3, Protein kinase mitogen activated 2, Protein kinase mitogen activated 1, PRKM3, PRKM2, PRKM1, PRKM 3, PRKM 2, PRKM 1, p44MAPK, p44ERK1, p44 MAPK, p44 ERK1, p42-MAPK, p42MAPK, p42 MAPK, p41mapk, p41, p40, p38, MK03, MK01, Mitogen activated protein kinase 3, Mitogen activated protein kinase 2, Mitogen activated protein kinase 1, Microtubule associated protein 2 kinase, MGC20180, MAPK3, MAPK2, MAPK1, MAPK 3, MAPK 2, MAPK 1, MAP kinase isoform p44, MAP kinase isoform p42, MAP kinase 2, MAP kinase 1, Insulin stimulated MAP2 kinase, HUMKER1A, HS44KDAP, Extracellular signal-regulated kinase 2, Extracellular signal regulated kinase 2, Extracellular signal regulated kinase 1, ERT2, ERT1, ERK-2, ERK2, ERK1, ERK 2, ERK 1/2, ERK 1
Ig Type
IgG
克隆号
5N256
反应种属
Human,Mouse,Rat
验证活性
1. Western blot analysis of ERK2 on different lysates using anti-ERK2 antibody at 1/1,000 dilution. Positive control: Lane 1: Hela, Lane 2: PC-12.
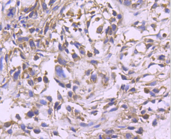
2. Immunohistochemical analysis of paraffin-embedded human breast carcinoma tissue using anti-ERK2 antibody. Counter stained with hematoxylin.
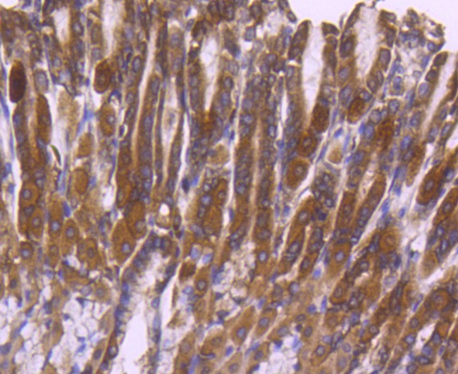
3. Immunohistochemical analysis of paraffin-embedded mouse stomach tissue using anti-ERK2 antibody. Counter stained with hematoxylin.
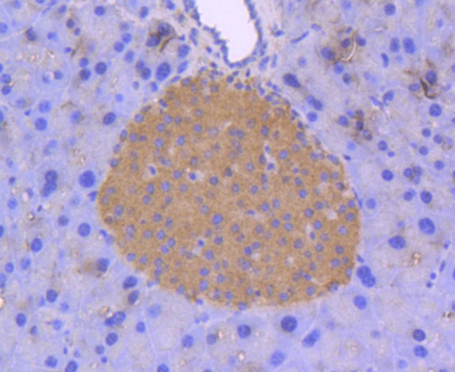
4. Immunohistochemical analysis of paraffin-embedded mouse pancreas tissue using anti-ERK2 antibody. Counter stained with hematoxylin.
5. ICC staining ERK2 in Hela cells (green). The nuclear counter stain is DAPI (blue). Cells were fixed in paraformaldehyde, permeabilised with 0.25% Triton X100/PBS.
6. ICC staining ERK2 in MCF-7 cells (green). The nuclear counter stain is DAPI (blue). Cells were fixed in paraformaldehyde, permeabilised with 0.25% Triton X100/PBS.
7. ICC staining ERK2 in NIH/3T3 cells (green). The nuclear counter stain is DAPI (blue). Cells were fixed in paraformaldehyde, permeabilised with 0.25% Triton X100/PBS.
8. Flow cytometric analysis of Hela cells with ERK2 antibody at 1/50 dilution (red) compared with an unlabelled control (cells without incubation with primary antibody; black). Alexa Fluor 488-conjugated goat anti rabbit IgG was used as the secondary antibody.
verifiedActivityverifiedActivityverifiedActivityverifiedActivityverifiedActivityverifiedActivityverifiedActivityverifiedActivity
应用FCMICC/IFIHCIPWB
推荐剂量
WB: 1:1000-5000; IHC: 1:50-200; ICC/IF: 1:50-200; FCM: 1:50-100
抗体种类
Monoclonal
宿主来源Rabbit
构建方式Recombinant Antibody
纯化方式ProA affinity purified
性状Liquid
缓冲液1*TBS (pH7.4), 1%BSA, 40%Glycerol. Preservative: 0.05% Sodium Azide.
研究背景Mitogen-activated protein kinase (MAPK) signaling pathways involve two closely related MAP kinases, known as extracellular-signal-related kinase 1 (ERK 1, p44) and 2 (ERK 2, p42). Growth factors, steroid hormones, G protein-coupled receptor ligands, and neurotransmitters can initiate MAPK signaling pathways. Activation of ERK1 and ERK2 requires phosphorylation by upstream kinases such as MAP kinase kinase (MEK), MEK kinase and Raf-1. ERK1 and ERK2 phosphorylation can occur at specific tyrosine and threonine sites mapping within consensus motifs that include the Threonine-Glutamate-Tyrosine motif. ERK activation leads to dimerization with other ERKs and subsequent localization to the nucleus. Active ERK dimers phosphorylate serine and threonine residues on nuclear proteins and influence a host of responses that include proliferation, differentiation, transcription regulation and development. The human ERK2 gene maps to chromosome 22q11.21 and encodes a 360-amino acid protein.
偶联与修饰
偶联
Unconjugated
抗原信息
免疫原
Recombinant Protein
Uniprot ID
化学信息
分子量Theoretical: 41 kDa.
储存&溶解度
储存方式Store at -20°C or -80°C for 12 months. Avoid repeated freeze-thaw cycles.
运输方式Shipping with blue ice.

计算器

  • 稀释 计算器
  • 配液 计算器
Related Tags: buy Anti-MAPK1 Antibody (5N256) | purchase Anti-MAPK1 Antibody (5N256) | Anti-MAPK1 Antibody (5N256) cost | order Anti-MAPK1 Antibody (5N256) | Anti-MAPK1 Antibody (5N256) molecular weight