购物车
  • TargetMol
    您的购物车当前为空

Anti-LYVE1 Antibody (3Z624)

Synonyms: XLKD1, LYVE-1, Lymphatic vessel endothelial hyaluronic acid receptor 1, Hyaluronic acid receptor, HAR, Extracellular link domain-containing protein 1, CRSBP-1, CRSBP1, Cell surface retention sequence-binding protein 1
货号 TMAC-02440 一键复制产品信息
Rating icon 还可以

Anti-LYVE1 Antibody (3Z624) 是一种 Rabbit 抗体,靶向 LYVE1。Anti-LYVE1 Antibody (3Z624) 可用于 FCM,ICC/IF,IHC,WB。

Anti-LYVE1 Antibody (3Z624)

一键复制产品信息
Rating icon 还可以
货号 TMAC-02440

别名 XLKD1, LYVE-1, Lymphatic vessel endothelial hyaluronic acid receptor 1, Hyaluronic acid receptor, HAR, Extracellular link domain-containing protein 1, CRSBP-1, CRSBP1, Cell surface retention sequence-binding protein 1

Anti-LYVE1 Antibody (3Z624) 是一种 Rabbit 抗体,靶向 LYVE1。Anti-LYVE1 Antibody (3Z624) 可用于 FCM,ICC/IF,IHC,WB。

Anti-LYVE1 Antibody (3Z624)
规格价格库存数量
50 μL
¥ 1,495
5日内发货
100 μL
¥ 2,485
5日内发货
库存状态实时更新,以官网显示为准,现货产品可直接加购物车下单
大包装 & 定制
加入购物车
TargetMol的所有产品仅用作科学研究或药证申报,不能被用于人体,我们不向个人提供产品和服务。请您遵守承诺用途,不得违反法律法规规定用于任何其他用途。
实验操作小课堂
常见问题解答
查看更多

资源下载:产品操作手册

产品介绍


生物活性
产品描述
Anti-LYVE1 Antibody (3Z624) is a Rabbit antibody targeting LYVE1. Anti-LYVE1 Antibody (3Z624) can be used in FCM,ICC/IF,IHC,WB.
别名XLKD1, LYVE-1, Lymphatic vessel endothelial hyaluronic acid receptor 1, Hyaluronic acid receptor, HAR, Extracellular link domain-containing protein 1, CRSBP-1, CRSBP1, Cell surface retention sequence-binding protein 1
Ig Type
IgG
克隆号
3Z624
反应种属
Human,Mouse,Rat
验证活性
1. Western blot analysis of LYVE1 on MCF-7 lysates using anti-LYVE1 antibody at 1/1,000 dilution.
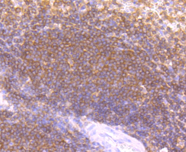
2. Immunohistochemical analysis of paraffin-embedded human spleen tissue using anti-LYVE1 antibody. Counter stained with hematoxylin.
3. ICC staining LYVE1 in A431 cells (red). The nuclear counter stain is DAPI (blue). Cells were fixed in paraformaldehyde, permeabilised with 0.25% Triton X100/PBS.
4. ICC staining LYVE1 in HUVEC cells (red). The nuclear counter stain is DAPI (blue). Cells were fixed in paraformaldehyde, permeabilised with 0.25% Triton X100/PBS.
5. ICC staining LYVE1 in SW480 cells (red). The nuclear counter stain is DAPI (blue). Cells were fixed in paraformaldehyde, permeabilised with 0.25% Triton X100/PBS.
6. Flow cytometric analysis of HUVEC cells with LYVE1 antibody at 1/50 dilution (red) compared with an unlabelled control (cells without incubation with primary antibody; black). Alexa Fluor 488-conjugated goat anti rabbit IgG was used as the secondary antibody.
verifiedActivityverifiedActivityverifiedActivityverifiedActivityverifiedActivityverifiedActivity
应用FCMICC/IFIHCWB
推荐剂量
WB: 1:1000; IHC: 1:50-200; ICC/IF: 1:50-200; FCM: 1:50-100
抗体种类
Monoclonal
宿主来源Rabbit
构建方式Recombinant Antibody
纯化方式ProA affinity purified
性状Liquid
缓冲液1*TBS (pH7.4), 1%BSA, 40%Glycerol. Preservative: 0.05% Sodium Azide.
研究背景Lymphatic vessel endothelial hyaluronan receptor-1 (LYVE-1) is expressed on the cell surface as a protein that is reduced by glycosidase treatment. LYVE-1 is abundant in spleen, lymph node, heart, lung and fetal liver, and is less abundant in appendix, bone marrow, placenta, muscle and adult liver. Expression of LYVE-1 is largely restricted to endothelial cells lining lymphatic vessels and splenic sinusoidal endothelial cells. LYVE-1 binds to both soluble and immobilized hyaluronan (HA) with greater specificity than HCAM. Like HCAM, the LYVE-1 molecule binds both soluble and immobilized HA. However, unlike HCAM, the LYVE-1 molecule co-localizes with HA on the luminal face of the lymph vessel wall and is completely absent from blood vessels. Hence, LYVE-1 is the first lymph-specific HA receptor to be characterized and is a uniquely powerful marker for lymph vessels themselves. LYVE-1 is used as a marker to study tumor lymphangiogenesis, which is an important area of investigation.
偶联与修饰
偶联
Unconjugated
抗原信息
免疫原
Recombinant Protein
Uniprot ID
化学信息
分子量Theoretical: 35 kDa.
储存&溶解度
储存方式Store at -20°C or -80°C for 12 months. Avoid repeated freeze-thaw cycles.
运输方式Shipping with blue ice.

计算器

  • 稀释 计算器
  • 配液 计算器
Related Tags: buy Anti-LYVE1 Antibody (3Z624) | purchase Anti-LYVE1 Antibody (3Z624) | Anti-LYVE1 Antibody (3Z624) cost | order Anti-LYVE1 Antibody (3Z624) | Anti-LYVE1 Antibody (3Z624) molecular weight