购物车
  • TargetMol
    您的购物车当前为空

Anti-Lumican Antibody (9X464)

Synonyms: Lumican, KSPG lumican, Keratan sulfate proteoglycan lumican
货号 TMAC-02432 一键复制产品信息
Rating icon 还可以

Anti-Lumican Antibody (9X464) 是一种 Rabbit 抗体,靶向 Lumican。Anti-Lumican Antibody (9X464) 可用于 FCM,ICC,IHC,WB。

Anti-Lumican Antibody (9X464)

一键复制产品信息
Rating icon 还可以
货号 TMAC-02432

别名 Lumican, KSPG lumican, Keratan sulfate proteoglycan lumican

Anti-Lumican Antibody (9X464) 是一种 Rabbit 抗体,靶向 Lumican。Anti-Lumican Antibody (9X464) 可用于 FCM,ICC,IHC,WB。

Anti-Lumican Antibody (9X464)
规格价格库存数量
50 μL
¥ 1,480
5日内发货
100 μL
¥ 2,495
5日内发货
库存状态实时更新,以官网显示为准,现货产品可直接加购物车下单
大包装 & 定制
加入购物车
TargetMol的所有产品仅用作科学研究或药证申报,不能被用于人体,我们不向个人提供产品和服务。请您遵守承诺用途,不得违反法律法规规定用于任何其他用途。
实验操作小课堂
常见问题解答
查看更多

资源下载:产品操作手册

产品介绍


生物活性
产品描述
Anti-Lumican Antibody (9X464) is a Rabbit antibody targeting Lumican. Anti-Lumican Antibody (9X464) can be used in FCM,ICC,IHC,WB.
别名Lumican, KSPG lumican, Keratan sulfate proteoglycan lumican
Ig Type
IgG
克隆号
9X464
反应种属
Human,Mouse,Rat
验证活性
1. Western blot analysis of Lumican on different lysates using anti-Lumican antibody at 1/1,000 dilution. Positive control: Lane 1: Jurkat, Lane 2: 293T, Lane 3: Human skin.
2. Immunohistochemical analysis of paraffin-embedded rat kidney tissue using anti-Lumican antibody. Counter stained with hematoxylin.
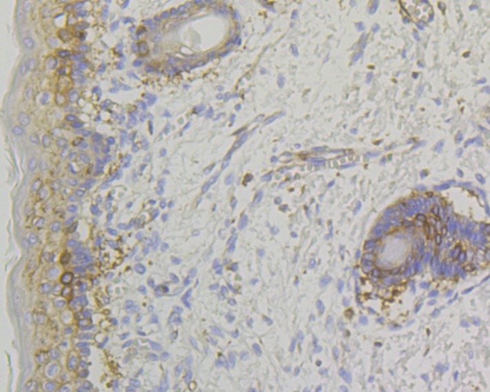
3. Immunohistochemical analysis of paraffin-embedded human skin tissue using anti-Lumican antibody. Counter stained with hematoxylin.
4. ICC staining Lumican in MG-63 cells (green). The nuclear counter stain is DAPI (blue). Cells were fixed in paraformaldehyde, permeabilised with 0.25% Triton X100/PBS.
5. ICC staining Lumican in PANC-1 cells (green). The nuclear counter stain is DAPI (blue). Cells were fixed in paraformaldehyde, permeabilised with 0.25% Triton X100/PBS.
6. ICC staining Lumican in MCF-7 cells (green). The nuclear counter stain is DAPI (blue). Cells were fixed in paraformaldehyde, permeabilised with 0.25% Triton X100/PBS.
7. Flow cytometric analysis of 293T cells with Lumican antibody at 1/100 dilution (purple) compared with an unlabelled control (cells without incubation with primary antibody; yellow). Alexa Fluor 488-conjugated goat anti-rabbit IgG was used as the secondary antibody.
verifiedActivityverifiedActivityverifiedActivityverifiedActivityverifiedActivityverifiedActivityverifiedActivity
应用FCMICCIHCWB
推荐剂量
WB: 1:500-2000; IHC: 1:50-200; ICC: 1:50-200; FCM: 1:50-100
抗体种类
Monoclonal
宿主来源Rabbit
构建方式Recombinant Antibody
纯化方式ProA affinity purified
性状Liquid
缓冲液1*TBS (pH7.4), 1%BSA, 40%Glycerol. Preservative: 0.05% Sodium Azide.
研究背景Lumican, a member of the small leucine-rich proteoglycans (SLRPs) family of proteins, is a keratan sulfate proteoglycan present in large quantities in the corneal stroma and in interstitial collagenous matrices of the heart, aorta, skeletal muscle, skin, and intervertebral discs. During collagen fibrillogenesis, lumican regulates the assembly of collagens into higher order fibrils, limiting the growth of fibrils in diameter. Lumican is present in the extracellular matrix of human articular cartilage at all ages, with a far greater abundance in the adult. The gene encoding human lumican maps to chromosome 12q21.3-q22.
偶联与修饰
偶联
Unconjugated
抗原信息
免疫原
Recombinant Protein: human Lumican aa 50-250
抗原种属
human
Uniprot ID
化学信息
分子量Theoretical: 38 kDa.
储存&溶解度
储存方式Store at -20°C or -80°C for 12 months. Avoid repeated freeze-thaw cycles.
运输方式Shipping with blue ice.

计算器

  • 稀释 计算器
  • 配液 计算器
Related Tags: buy Anti-Lumican Antibody (9X464) | purchase Anti-Lumican Antibody (9X464) | Anti-Lumican Antibody (9X464) cost | order Anti-Lumican Antibody (9X464) | Anti-Lumican Antibody (9X464) molecular weight