购物车
  • TargetMol
    您的购物车当前为空

Anti-LOX Antibody (2A200)

Synonyms: Protein-lysine 6-oxidase, Lysyl oxidase, LOX
货号 TMAC-02414 一键复制产品信息
Rating icon 还可以

Anti-LOX Antibody (2A200) 是一种 Rabbit 抗体,靶向 LOX。Anti-LOX Antibody (2A200) 可用于 FCM,ICC,IHC,WB。

Anti-LOX Antibody (2A200)

一键复制产品信息
Rating icon 还可以
货号 TMAC-02414

别名 Protein-lysine 6-oxidase, Lysyl oxidase, LOX

Anti-LOX Antibody (2A200) 是一种 Rabbit 抗体,靶向 LOX。Anti-LOX Antibody (2A200) 可用于 FCM,ICC,IHC,WB。

Anti-LOX Antibody (2A200)
规格价格库存数量
50 μL
¥ 1,490
5日内发货
100 μL
¥ 2,495
5日内发货
库存状态实时更新,以官网显示为准,现货产品可直接加购物车下单
大包装 & 定制
加入购物车
TargetMol的所有产品仅用作科学研究或药证申报,不能被用于人体,我们不向个人提供产品和服务。请您遵守承诺用途,不得违反法律法规规定用于任何其他用途。
实验操作小课堂
常见问题解答
查看更多

资源下载:产品操作手册

产品介绍


生物活性
产品描述
Anti-LOX Antibody (2A200) is a Rabbit antibody targeting LOX. Anti-LOX Antibody (2A200) can be used in FCM,ICC,IHC,WB.
别名Protein-lysine 6-oxidase, Lysyl oxidase, LOX
Ig Type
IgG
克隆号
2A200
反应种属
Human,Mouse,Rat,zebrafish
验证活性
1. Western blot analysis of LOX on different lysates using anti-LOX antibody at 1/1,000 dilution. Positive control: Lane 1: Jurkat, Lane 2: Mouse brain, Lane 3: Human fetal brain.
2. Western blot analysis of LOX on Zebrafish tissue lysates using anti-LOX antibody at 1/1,000 dilution.
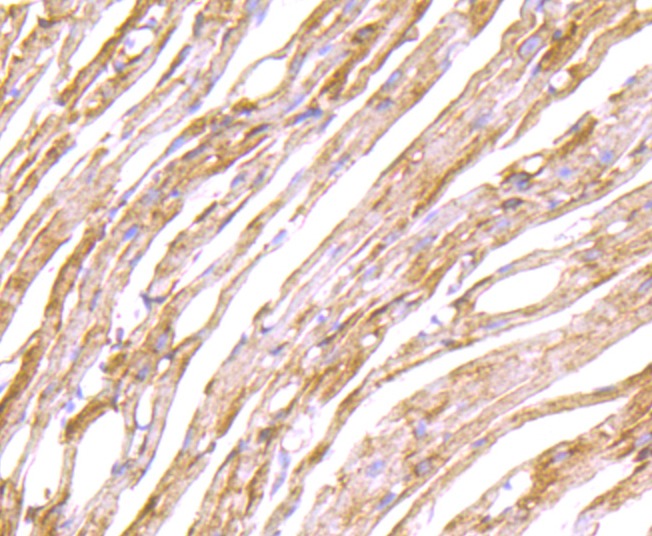
3. Immunohistochemical analysis of paraffin-embedded rat skeletal muscle tissue using anti-LOX antibody. Counter stained with hematoxylin.
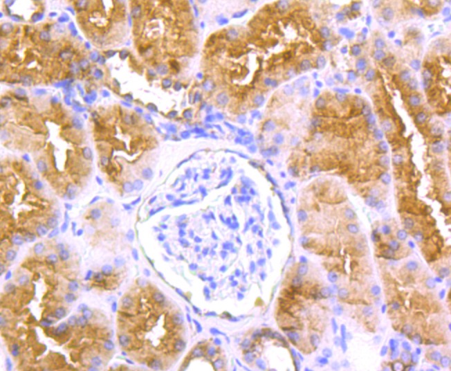
4. Immunohistochemical analysis of paraffin-embedded human kidney tissue using anti-LOX antibody. Counter stained with hematoxylin.
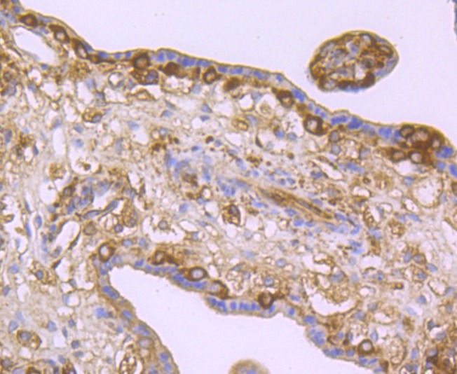
5. Immunohistochemical analysis of paraffin-embedded human placenta tissue using anti-LOX antibody. Counter stained with hematoxylin.
6. Immunohistochemical analysis of paraffin-embedded mouse heart tissue using anti-LOX antibody. Counter stained with hematoxylin.
7. ICC staining LOX in Hela cells (green). The nuclear counter stain is DAPI (blue). Cells were fixed in paraformaldehyde, permeabilised with 0.25% Triton X100/PBS.
8. ICC staining LOX in HUVEC cells (green). The nuclear counter stain is DAPI (blue). Cells were fixed in paraformaldehyde, permeabilised with 0.25% Triton X100/PBS.
9. ICC staining LOX in SH-SY5Y cells (green). The nuclear counter stain is DAPI (blue). Cells were fixed in paraformaldehyde, permeabilised with 0.25% Triton X100/PBS.
10. Flow cytometric analysis of Hela cells with LOX antibody at 1/100 dilution (red) compared with an unlabelled control (cells without incubation with primary antibody; black). Alexa Fluor 488-conjugated goat anti rabbit IgG was used as the secondary antibody.
verifiedActivityverifiedActivityverifiedActivityverifiedActivityverifiedActivityverifiedActivityverifiedActivityverifiedActivityverifiedActivityverifiedActivity
应用FCMICCIHCWB
推荐剂量
WB: 1:500-2000; IHC: 1:50-100; ICC: 1:100-500; FCM: 1:50-100
抗体种类
Monoclonal
宿主来源Rabbit
构建方式Recombinant Antibody
纯化方式ProA affinity purified
性状Liquid
缓冲液1*TBS (pH7.4), 1%BSA, 40%Glycerol. Preservative: 0.05% Sodium Azide.
研究背景The lysyl oxidase family of extracellular proteins includes LOX and four LOX-like enzymes, which are responsible for the deamination of peptidyl lysine residues of collagens and elastin. They also catalyze inter- and intra-crosslinking reactions. Overexpression of LOX may cause severe fibrotic degeneration due to its high resistance to degradative enzymes. Procollagen C-proteinase activity processes LOX from a precursor protein to a mature form. Activation of LOX occurs in normal developing and adult skin, and alterations in LOX expression and activity are associated with skin aging and senescence. LOX is crucial for development of the cardiovascular and respiratory systems. In addition, LOX plays a role in cancer, wound healing, as well as cell motility, chemotaxis and differentiation.
偶联与修饰
偶联
Unconjugated
抗原信息
免疫原
Recombinant Protein
Uniprot ID
化学信息
分子量Theoretical: 50 kDa.
储存&溶解度
储存方式Store at -20°C or -80°C for 12 months. Avoid repeated freeze-thaw cycles.
运输方式Shipping with blue ice.

计算器

  • 稀释 计算器
  • 配液 计算器
Related Tags: buy Anti-LOX Antibody (2A200) | purchase Anti-LOX Antibody (2A200) | Anti-LOX Antibody (2A200) cost | order Anti-LOX Antibody (2A200) | Anti-LOX Antibody (2A200) molecular weight