购物车
  • TargetMol
    您的购物车当前为空

Anti-LGALS3 Antibody (1Z486)

Synonyms: MAC2GAL3, Mac-2, LGALS3, LGALS2, Lectin L-29, L31, L29, GALIG, Galectin3, GALBPCBP35, galactin-3, Gal-3, GAL3, CBP35, AGE-R3
货号 TMAC-01597 一键复制产品信息
Rating icon 还可以
202603开学季活动

Anti-LGALS3 Antibody (1Z486) 是一种 Rabbit 抗体,靶向 LGALS3。Anti-LGALS3 Antibody (1Z486) 可用于 FCM,ICC/IF,WB。

Anti-LGALS3 Antibody (1Z486)

一键复制产品信息
Rating icon 还可以
202603开学季活动
货号 TMAC-01597

别名 MAC2GAL3, Mac-2, LGALS3, LGALS2, Lectin L-29, L31, L29, GALIG, Galectin3, GALBPCBP35, galactin-3, Gal-3, GAL3, CBP35, AGE-R3

Anti-LGALS3 Antibody (1Z486) 是一种 Rabbit 抗体,靶向 LGALS3。Anti-LGALS3 Antibody (1Z486) 可用于 FCM,ICC/IF,WB。

Anti-LGALS3 Antibody (1Z486)
规格价格库存数量
50 μL
¥ 1,490
5日内发货
100 μL
¥ 2,495
5日内发货
库存状态实时更新,以官网显示为准,现货产品可直接加购物车下单
大包装 & 定制
加入购物车

TargetMol的所有产品仅用作科学研究或药证申报,不能被用于人体,我们不向个人提供产品和服务。请您遵守承诺用途,不得违反法律法规规定用于任何其他用途。

实验操作小课堂
常见问题解答
查看更多

资源下载:产品操作手册

产品介绍


生物活性
产品描述
Anti-LGALS3 Antibody (1Z486) is a Rabbit antibody targeting LGALS3. Anti-LGALS3 Antibody (1Z486) can be used in FCM,ICC/IF,WB.
别名
MAC2GAL3, Mac-2, LGALS3, LGALS2, Lectin L-29, L31, L29, GALIG, Galectin3, GALBPCBP35, galactin-3, Gal-3, GAL3, CBP35, AGE-R3
Ig Type
IgG
克隆号
1Z486
反应种属
Human,Rat
验证活性
1. Western blot analysis of Galectin 3 on different lysates using anti-Galectin 3 antibody at 1/1,000 dilution. Positive control: Lane 1: Hela, Lane 2: NIH/3T3, Lane 3: THP-1.
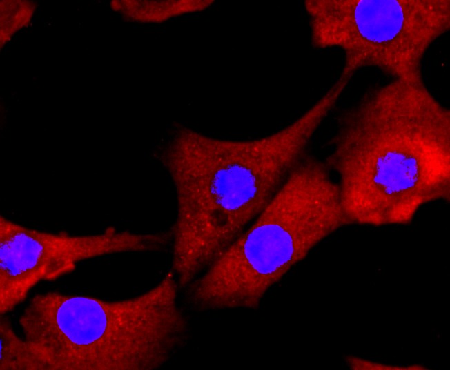
2. ICC staining Galectin 3 in Hela cells (red). The nuclear counter stain is DAPI (blue). Cells were fixed in paraformaldehyde, permeabilised with 0.25% Triton X100/PBS.
3. ICC staining Galectin 3 in NIH/3T3 cells (red). The nuclear counter stain is DAPI (blue). Cells were fixed in paraformaldehyde, permeabilised with 0.25% Triton X100/PBS.
4. Flow cytometric analysis of Hela cells with Galectin 3 antibody at 1/50 dilution (red) compared with an unlabelled control (cells without incubation with primary antibody; black). Alexa Fluor 488-conjugated goat anti rabbit IgG was used as the secondary antibody.
verifiedActivityverifiedActivityverifiedActivityverifiedActivity
应用FCMICC/IFWB
推荐剂量
WB: 1:1000-5000; ICC/IF: 1:50-200; FCM: 1:50-100
抗体种类
Monoclonal
宿主来源Rabbit
构建方式Recombinant Antibody
纯化方式ProA affinity purified
性状Liquid
缓冲液1*TBS (pH7.4), 1%BSA, 40%Glycerol. Preservative: 0.05% Sodium Azide.
研究背景Galectins are a family of soluble b-galactoside-binding animal lectins that modulate cell-to-cell adhesion and cell-to-extracellular matrix (ECM) inter- actions and play a role in tumor progression, pre-mRNA splicing and apop-tosis. The galectin-3 protein, also known as Mac-2, hMac-2, GALBP, CBP35 or LGALS3, contains a single carbohydrate binding domain, which binds galactose-containing glycoconjugates. Galectin-3 is expressed in colonic and intestinal epithelium, inflammatory macrophages, papillary and follicular carcinomas, neoplastic astrocytes and some B and T lymphocytes. Upregulated expression of galectin-3 is involved in cancer progression and metastasis. Galectin-3 mediates the endocytosis of β1 Integrins in a lactose-dependent manner and is associated with thyroid malignancy and Crohn's disease. It may also be used as a marker for diagnosing cases involving Hurthle cell adenomas and carcinomas.
偶联与修饰
偶联
Unconjugated
抗原信息
免疫原
Recombinant Protein
Uniprot ID
化学信息
分子量Theoretical: 26 kDa.
储存&溶解度
储存方式Store at -20°C or -80°C for 12 months. Avoid repeated freeze-thaw cycles.
运输方式Shipping with blue ice.

计算器

  • 稀释 计算器
  • 配液 计算器
Related Tags: buy Anti-LGALS3 Antibody (1Z486) | purchase Anti-LGALS3 Antibody (1Z486) | Anti-LGALS3 Antibody (1Z486) cost | order Anti-LGALS3 Antibody (1Z486) | Anti-LGALS3 Antibody (1Z486) molecular weight