购物车
  • TargetMol
    您的购物车当前为空

Anti-LDHA Antibody (4K270)

Synonyms: Renal Carcinoma Antigen NY-REN-59, L-Lactate Dehydrogenase A Chain, LDH-M, LDH-A, LDHA, LDH Muscle Subunit, Cell Proliferation-Inducing Gene 19 Protein
货号 TMAC-02358 一键复制产品信息
Rating icon 还可以

Anti-LDHA Antibody (4K270) 是一种 Rabbit 抗体,靶向 LDHA。Anti-LDHA Antibody (4K270) 可用于 FCM,ICC/IF,IHC,IP,WB。

Anti-LDHA Antibody (4K270)

一键复制产品信息
Rating icon 还可以
货号 TMAC-02358

别名 Renal Carcinoma Antigen NY-REN-59, L-Lactate Dehydrogenase A Chain, LDH-M, LDH-A, LDHA, LDH Muscle Subunit, Cell Proliferation-Inducing Gene 19 Protein

Anti-LDHA Antibody (4K270) 是一种 Rabbit 抗体,靶向 LDHA。Anti-LDHA Antibody (4K270) 可用于 FCM,ICC/IF,IHC,IP,WB。

Anti-LDHA Antibody (4K270)
规格价格库存数量
50 μL
¥ 1,485
5日内发货
100 μL
¥ 2,480
5日内发货
库存状态实时更新,以官网显示为准,现货产品可直接加购物车下单
大包装 & 定制
加入购物车
TargetMol的所有产品仅用作科学研究或药证申报,不能被用于人体,我们不向个人提供产品和服务。请您遵守承诺用途,不得违反法律法规规定用于任何其他用途。
实验操作小课堂
常见问题解答
查看更多

资源下载:产品操作手册

产品介绍


生物活性
产品描述
Anti-LDHA Antibody (4K270) is a Rabbit antibody targeting LDHA. Anti-LDHA Antibody (4K270) can be used in FCM,ICC/IF,IHC,IP,WB.
别名Renal Carcinoma Antigen NY-REN-59, L-Lactate Dehydrogenase A Chain, LDH-M, LDH-A, LDHA, LDH Muscle Subunit, Cell Proliferation-Inducing Gene 19 Protein
Ig Type
IgG
克隆号
4K270
反应种属
Human,Mouse,Rat,zebrafish
验证活性
1. Western blot analysis of Lactate Dehydrogenase on different lysates using anti-Lactate Dehydrogenase antibody at 1/1,000 dilution. Positive control: Lane 1: Hela, Lane 2: A549, Lane 3: MCF-7.
2. Western blot analysis of Lactate Dehydrogenase on hybrid fish (crucian-carp) brain tissue lysate using anti-Lactate Dehydrogenase antibody at 1/500 dilution.
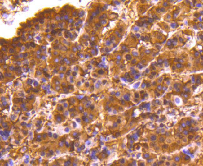
3. Immunohistochemical analysis of paraffin-embedded human liver tissue using anti-Lactate Dehydrogenase antibody. Counter stained with hematoxylin.
4. Immunohistochemical analysis of paraffin-embedded human breast carcinoma tissue using anti-Lactate Dehydrogenase antibody. Counter stained with hematoxylin.
5. Immunohistochemical analysis of paraffin-embedded mouse liver tissue using anti-Lactate Dehydrogenase antibody. Counter stained with hematoxylin.
6. Immunohistochemical analysis of paraffin-embedded mouse testis tissue using anti-Lactate Dehydrogenase antibody. Counter stained with hematoxylin.
7. Immunohistochemical analysis of paraffin-embedded human liver cancer tissue using anti-Lactate Dehydrogenase antibody. Counter stained with hematoxylin.
8. Immunohistochemical analysis of paraffin-embedded mouse skeletal muscle tissue using anti-Lactate Dehydrogenase antibody. Counter stained with hematoxylin.
9. ICC staining Lactate Dehydrogenase in A549 cells (green). The nuclear counter stain is DAPI (blue). Cells were fixed in paraformaldehyde, permeabilised with 0.25% Triton X100/PBS.
10. ICC staining Lactate Dehydrogenase in A431 cells (green). The nuclear counter stain is DAPI (blue). Cells were fixed in paraformaldehyde, permeabilised with 0.25% Triton X100/PBS.
11. Flow cytometric analysis of Hela cells with Lactate Dehydrogenase antibody at 1/50 dilution (red) compared with an unlabelled control (cells without incubation with primary antibody; black).
verifiedActivityverifiedActivityverifiedActivityverifiedActivityverifiedActivityverifiedActivityverifiedActivityverifiedActivityverifiedActivityverifiedActivityverifiedActivity
应用FCMICC/IFIHCIPWB
推荐剂量
WB: 1:1000-5000; IHC: 1:200-500; ICC/IF: 1:50-200; FCM: 1:50-100
抗体种类
Monoclonal
宿主来源Rabbit
构建方式Recombinant Antibody
纯化方式ProA affinity purified
性状Liquid
缓冲液1*TBS (pH7.4), 1%BSA, 40%Glycerol. Preservative: 0.05% Sodium Azide.
研究背景The lactate dehydrogenase family (LDH) catalyzes the final step of anaerobic glycolysis, the conversion of L-lactate and NAD to pyruvate and NADH. The LDH family consists of three members, LDH-A, LDH-B and LDH-C, all of which form tetramers consisting four subunits. However, each family member displays a specific tissue distribution pattern with LDH-A and LDH-B predominant in several tissues, specifically LDH-A in muscle and LDH-B in heart, while LDH-C expression is confined to the testis and sperm. LDHs function as powerful markers for germ cell tumors. The genes encoding human LDH-A and LDH-C map to chromosome 11, while the human LDH-B gene maps to chromosome 12. Deficiency in the LDH-A gene is linked to exertional myoglobinuria.
偶联与修饰
偶联
Unconjugated
抗原信息
免疫原
Recombinant Protein
Uniprot ID
化学信息
分子量Theoretical: 37 kDa.
储存&溶解度
储存方式Store at -20°C or -80°C for 12 months. Avoid repeated freeze-thaw cycles.
运输方式Shipping with blue ice.

计算器

  • 稀释 计算器
  • 配液 计算器
Related Tags: buy Anti-LDHA Antibody (4K270) | purchase Anti-LDHA Antibody (4K270) | Anti-LDHA Antibody (4K270) cost | order Anti-LDHA Antibody (4K270) | Anti-LDHA Antibody (4K270) molecular weight