购物车
  • 全部删除
  • TargetMol
    您的购物车当前为空

Anti-LAMP2 Polyclonal Antibody

Rating icon 还可以
产品编号 TMAB-01047
别名 lysosomal-associated membrane protein 2, LGP110, LAMPB, LAMP-2, CD107b

Anti-LAMP2 Polyclonal Antibody 是一种 Rabbit 抗体,靶向 LAMP2。Anti-LAMP2 Polyclonal Antibody 可用于 FCM,ICC/IF,IF,IHC-Fr,IHC-P,WB。

Anti-LAMP2 Polyclonal Antibody

Anti-LAMP2 Polyclonal Antibody

一键复制产品信息
Rating icon 还可以
产品编号 TMAB-01047 别名 lysosomal-associated membrane protein 2, LGP110, LAMPB, LAMP-2, CD107b

Anti-LAMP2 Polyclonal Antibody 是一种 Rabbit 抗体,靶向 LAMP2。Anti-LAMP2 Polyclonal Antibody 可用于 FCM,ICC/IF,IF,IHC-Fr,IHC-P,WB。

规格价格库存数量
50 μL
¥ 1,160
5日内发货
100 μL
¥ 1,975
5日内发货
200 μL
¥ 2,795
5日内发货
大包装 & 定制
加入购物车
TargetMol 的所有产品仅用作科学研究或药证申报,不能被用于人体,我们不向个人提供产品和服务。请您遵守承诺用途,不得违反法律法规规定用于任何其他用途。
实验操作小课堂
常见问题解答
查看更多
联系我们获取更多批次信息
资源下载

产品介绍

生物活性
产品描述
Anti-LAMP2 Polyclonal Antibody is a Rabbit antibody targeting LAMP2. Anti-LAMP2 Polyclonal Antibody can be used in FCM,ICC/IF,IF,IHC-Fr,IHC-P,WB.
别名lysosomal-associated membrane protein 2, LGP110, LAMPB, LAMP-2, CD107b
Ig Type
IgG
交叉反应
Human,Mouse,Rat
验证活性
1. 25 μg total protein per Lane of various lysates probed with LAMP2 polyclonal antibody, unconjugated (TMAB-01047) at 1:1000 dilution and 4°C overnight incubation. Followed by conjugated secondary antibody incubation at RT for 60 min.
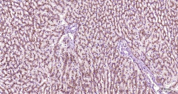
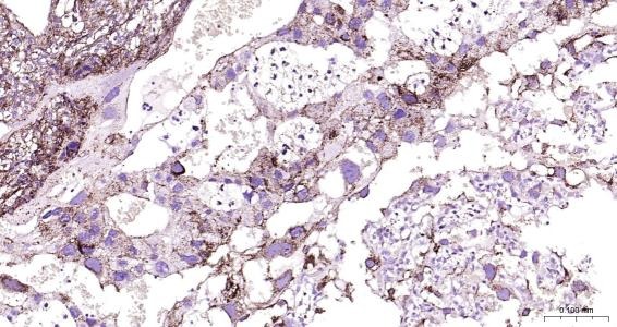
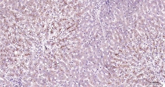
2. Paraformaldehyde-fixed, paraffin embedded Rat Liver; Antigen retrieval by boiling in sodium citrate buffer (pH6.0) for 15 min; Antibody incubation with LAMP2 Polyclonal Antibody, Unconjugated (TMAB-01047) at 1:200 overnight at 4°C, followed by conjugation to the secondary antibody and DAB staining.
3. Paraformaldehyde-fixed, paraffin embedded Mouse Liver; Antigen retrieval by boiling in sodium citrate buffer (pH6.0) for 15 min; Antibody incubation with LAMP2 Polyclonal Antibody, Unconjugated (TMAB-01047) at 1:200 overnight at 4°C, followed by conjugation to the secondary antibody and DAB staining.
4. Paraformaldehyde-fixed, paraffin embedded Human Liver; Antigen retrieval by boiling in sodium citrate buffer (pH6.0) for 15 min; Antibody incubation with LAMP2 Polyclonal Antibody, Unconjugated (TMAB-01047) at 1:200 overnight at 4°C, followed by conjugation to the secondary antibody and DAB staining.
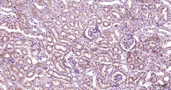
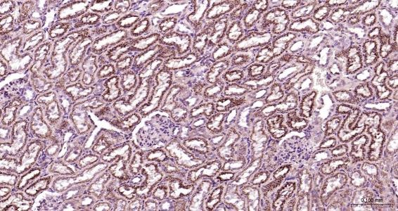
5. Paraformaldehyde-fixed, paraffin embedded Rat Kidney; Antigen retrieval by boiling in sodium citrate buffer (pH6.0) for 15 min; Antibody incubation with LAMP2 Polyclonal Antibody, Unconjugated (TMAB-01047) at 1:200 overnight at 4°C, followed by conjugation to the secondary antibody and DAB staining.
6. Paraformaldehyde-fixed, paraffin embedded Mouse Kidney; Antigen retrieval by boiling in sodium citrate buffer (pH6.0) for 15 min; Antibody incubation with LAMP2 Polyclonal Antibody, Unconjugated (TMAB-01047) at 1:200 overnight at 4°C, followed by conjugation to the secondary antibody and DAB staining.
7. Paraformaldehyde-fixed, paraffin embedded Human Kidney; Antigen retrieval by boiling in sodium citrate buffer (pH6.0) for 15 min; Antibody incubation with LAMP2 Polyclonal Antibody, Unconjugated (TMAB-01047) at 1:200 overnight at 4°C, followed by conjugation to the secondary antibody and DAB staining.
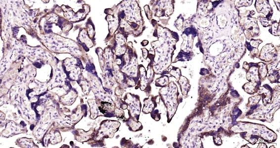
8. Paraformaldehyde-fixed, paraffin embedded Rat Placenta; Antigen retrieval by boiling in sodium citrate buffer (pH6.0) for 15 min; Antibody incubation with LAMP2 Polyclonal Antibody, Unconjugated (TMAB-01047) at 1:200 overnight at 4°C, followed by conjugation to the secondary antibody and DAB staining.
9. Paraformaldehyde-fixed, paraffin embedded Mouse Placenta; Antigen retrieval by boiling in sodium citrate buffer (pH6.0) for 15 min; Antibody incubation with LAMP2 Polyclonal Antibody, Unconjugated (TMAB-01047) at 1:200 overnight at 4°C, followed by conjugation to the secondary antibody and DAB staining.
10. Paraformaldehyde-fixed, paraffin embedded Human Placenta; Antigen retrieval by boiling in sodium citrate buffer (pH6.0) for 15 min; Antibody incubation with LAMP2 Polyclonal Antibody, Unconjugated (TMAB-01047) at 1:200 overnight at 4°C, followed by conjugation to the secondary antibody and DAB staining.
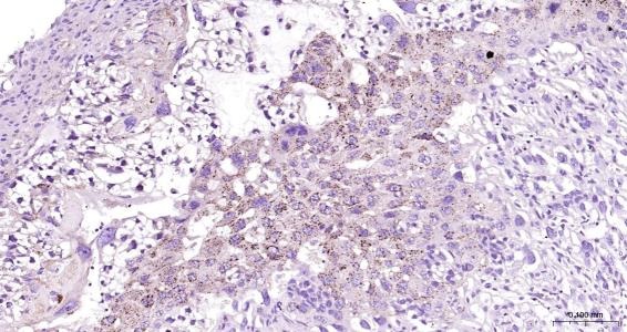
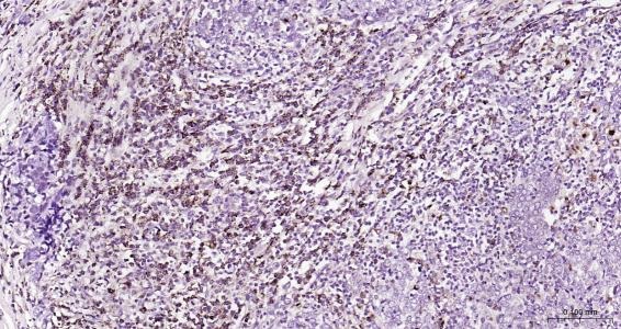
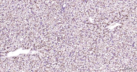
11. Paraformaldehyde-fixed, paraffin embedded Human Liver Cancer; Antigen retrieval by boiling in sodium citrate buffer (pH6.0) for 15 min; Antibody incubation with LAMP2 Polyclonal Antibody, Unconjugated (TMAB-01047) at 1:200 overnight at 4°C, followed by conjugation to the secondary antibody and DAB staining.
12. Paraformaldehyde-fixed, paraffin embedded Human Thyroid Cancer; Antigen retrieval by boiling in sodium citrate buffer (pH6.0) for 15 min; Antibody incubation with LAMP2 Polyclonal Antibody, Unconjugated (TMAB-01047) at 1:200 overnight at 4°C, followed by conjugation to the secondary antibody and DAB staining.
verifiedActivityverifiedActivityverifiedActivityverifiedActivityverifiedActivityverifiedActivityverifiedActivityverifiedActivityverifiedActivityverifiedActivityverifiedActivityverifiedActivity
应用FCMICC/IFIFIHC-FrIHC-PWB
推荐剂量
WB: 1:500-2000; IHC-P: 1:50-200; IHC-Fr: 1:50-200; ICC/IF: 1:50-200; IF: 1:50-200; FCM: 1:20-50; IP: 1:20-50
抗体种类
Polyclonal
宿主来源Rabbit
亚细胞定位Cell membrane; Single-pass type I membrane protein. Endosome membrane; Single-pass type I membrane protein. Lysosome membrane; Single-pass type I membrane protein. Note=This protein shuttles between lysosomes, endosomes, and the plasma membrane.
构建方式Polyclonal Antibody
纯化方式Protein A purified
性状Liquid
缓冲液0.01M TBS (pH7.4) with 1% BSA, 0.02% Proclin300 and 50% Glycerol.
浓度1 mg/mL
研究背景The protein encoded by the LAMP2 gene is a member of a family of membrane glycoproteins. This glycoprotein provides selectins with carbohydrate ligands and is thought to play a role in tumor cell metastasis. It may also function in the protection, maintenance, and adhesion of the lysosome. Alternative splicing of the gene produces two known products, LAMP2a and LAMP2b. Isoform LAMP2a is highly expressed in placenta, lung and liver and has low expression in brain and skeletal muscle. The isoform detected by this antibody, LAMP2b, is highly expressed in skeletal muscle less so in brain, placental, lung, kidney and pancreas and has very low expression in liver.
抗原信息
免疫原
KLH conjugated synthetic peptide: human LAMP2
抗原种属
Human
基因名称
LAMP2
基因ID
蛋白名称
Lysosome-associated membrane glycoprotein 2
Uniprot ID
研究领域
Autophagosome,Autophagosome,Other secreted molecules,Energy Metabolism,Autophagosome,Energy Metabolism,Monocytic Lineage,Myeloid Progenitor,Lysosome
功能
Implicated in tumor cell metastasis. May function in protection of the lysosomal membrane from autodigestion, maintenance of the acidic environment of the lysosome, adhesion when expressed on the cell surface (plasma membrane), and inter-and intracellular signal transduction. Protects cells from the toxic effects of methylating mutagens.
化学信息
分子量Theoretical: 45 kDa. Actual: 120 kDa.
存储&运输
储存方式Store at -20°C or -80°C for 12 months. Avoid repeated freeze-thaw cycles.
运输方式Shipping with blue ice.

计算器

  • 稀释 计算器

关键词

评论列表

4个月前
5.0
Rating icon 很棒

评论内容

Related Tags: buy Anti-LAMP2 Polyclonal Antibody | purchase Anti-LAMP2 Polyclonal Antibody | Anti-LAMP2 Polyclonal Antibody cost | order Anti-LAMP2 Polyclonal Antibody | Anti-LAMP2 Polyclonal Antibody molecular weight