购物车
  • TargetMol
    您的购物车当前为空

Anti-KRT5 Antibody (8E980)

Synonyms: Type-II keratin Kb5, type II cytoskeletal 5, KRT5A, KRT5, KRT 5A, KRT 5, Keratin-5, Keratin5, Keratin, type II cytoskeletal 5, Keratin Type II Cytoskeletal 5, Keratin 5, Keratin, K5, K2C5, epidermolysis bullosa simplex 2 Dowling-Meara/Kobner/Weber-Cockayne types, EBS2, EBS 2, DDD, Cytokeratin-5, Cytokeratin5, Cytokeratin 5, CK-5, CK5, 58 kDa cytokeratin
货号 TMAC-00872 一键复制产品信息
Rating icon 还可以

Anti-KRT5 Antibody (8E980) 是一种 Mouse 抗体,靶向 KRT5。Anti-KRT5 Antibody (8E980) 可用于 FCM,ICC,IHC,WB。

Anti-KRT5 Antibody (8E980)

一键复制产品信息
Rating icon 还可以
货号 TMAC-00872

别名 Type-II keratin Kb5, type II cytoskeletal 5, KRT5A, KRT5, KRT 5A, KRT 5, Keratin-5, Keratin5, Keratin, type II cytoskeletal 5, Keratin Type II Cytoskeletal 5, Keratin 5, Keratin, K5, K2C5, epidermolysis bullosa simplex 2 Dowling-Meara/Kobner/Weber-Cockayne types, EBS2, EBS 2, DDD, Cytokeratin-5, Cytokeratin5, Cytokeratin 5, CK-5, CK5, 58 kDa cytokeratin

Anti-KRT5 Antibody (8E980) 是一种 Mouse 抗体,靶向 KRT5。Anti-KRT5 Antibody (8E980) 可用于 FCM,ICC,IHC,WB。

Anti-KRT5 Antibody (8E980)
规格价格库存数量
50 μL
¥ 1,980
5日内发货
100 μL
¥ 2,990
5日内发货
库存状态实时更新,以官网显示为准,现货产品可直接加购物车下单
大包装 & 定制
加入购物车
TargetMol的所有产品仅用作科学研究或药证申报,不能被用于人体,我们不向个人提供产品和服务。请您遵守承诺用途,不得违反法律法规规定用于任何其他用途。
实验操作小课堂
常见问题解答
查看更多

资源下载:产品操作手册

产品介绍


生物活性
产品描述
Anti-KRT5 Antibody (8E980) is a Mouse antibody targeting KRT5. Anti-KRT5 Antibody (8E980) can be used in FCM,ICC,IHC,WB.
别名Type-II keratin Kb5, type II cytoskeletal 5, KRT5A, KRT5, KRT 5A, KRT 5, Keratin-5, Keratin5, Keratin, type II cytoskeletal 5, Keratin Type II Cytoskeletal 5, Keratin 5, Keratin, K5, K2C5, epidermolysis bullosa simplex 2 Dowling-Meara/Kobner/Weber-Cockayne types, EBS2, EBS 2, DDD, Cytokeratin-5, Cytokeratin5, Cytokeratin 5, CK-5, CK5, 58 kDa cytokeratin
克隆号
8E980
反应种属
Human,Mouse,Monkey
验证活性
1. Western blot analysis of CK5 on different cells lysates using anti-CK5 antibody at 1/1,000 dilution. Positive control: Line1: A431, Line2: 3T3-L1, Line3: COS7, Line4: MCF-7, Line5: SK-Br-3, Line6: Hela, Line7: Lncap, Line8: HepG2.
2. Western blot analysis of CK5 on human CK5 recombinant protein using anti-CK5 antibody at 1/1,000 dilution.
3. Western blot analysis of CK5 on HEK293 (1) and CK5-hIgGFc transfected HEK293 (2) cell lysate using anti-CK5 antibody at 1/1,000 dilution.
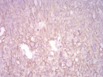
4. Immunohistochemical analysis of paraffin-embedded human ovarian cancer tissue using anti- CK5 antibody. Counter stained with hematoxylin.
5. ICC staining CK5 (green) and Actin filaments (red) in MCF-7 cells. The nuclear counter stain is DAPI (blue). Cells were fixed in paraformaldehyde, permeabilised with 0.25% Triton X100/PBS.
6. Flow cytometric analysis of Hela cells with CK5 antibody at 1/100 dilution (green) compared with an unlabelled control (cells without incubation with primary antibody; red).
verifiedActivityverifiedActivityverifiedActivityverifiedActivityverifiedActivityverifiedActivity
应用FCMICCIHCWB
推荐剂量
WB: 1:1000-2000; IHC: 1:50-200; ICC: 1:50-200; FCM: 1:50-100
抗体种类
Monoclonal
宿主来源Mouse
构建方式Hybridoma Monoclonal Antibody
纯化方式ProA affinity purified
性状Liquid
缓冲液1*TBS (pH7.4), 1%BSA, 40%Glycerol. Preservative: 0.05% Sodium Azide.
研究背景Cytokeratins comprise a diverse group of intermediate filament proteins (IFPs) that are expressed as pairs in both keratinized and non-keratinized epithelial tissue. Cytokeratins play a critical role in differentiation and tissue specialization and function to maintain the overall structural integrity of epithelial cells. Cytokeratins have been found to be useful markers of tissue differentiation which is directly applicable to the characterization of malignant tumors. Cytokeratin 5 is expressed in normal basal cells. Mutations of the cytokeratin 5 gene (KRT5) have been shown to result in the autosomal dominant disorder epidermolysis bullosa (EB).
偶联与修饰
偶联
Unconjugated
抗原信息
免疫原
Recombinant Protein
Uniprot ID
化学信息
分子量Theoretical: 62 kDa.
储存&溶解度
储存方式Store at -20°C or -80°C for 12 months. Avoid repeated freeze-thaw cycles.
运输方式Shipping with blue ice.

计算器

  • 稀释 计算器
  • 配液 计算器
Related Tags: buy Anti-KRT5 Antibody (8E980) | purchase Anti-KRT5 Antibody (8E980) | Anti-KRT5 Antibody (8E980) cost | order Anti-KRT5 Antibody (8E980) | Anti-KRT5 Antibody (8E980) molecular weight