购物车
  • TargetMol
    您的购物车当前为空

Anti-KRT19 Polyclonal Antibody

Synonyms: type I cytoskeletal 19, KRT19, Keratin-19 (K19), Keratin, type I cytoskeletal 19, Cytokeratin-19 (CK-19)
货号 TMAB-01039 一键复制产品信息
Rating icon 还可以
202603开学季活动

Anti-KRT19 Polyclonal Antibody 是一种 Rabbit 抗体,靶向 KRT19。Anti-KRT19 Polyclonal Antibody 可用于 FCM,IF,IHC-Fr,IHC-P,WB。

Anti-KRT19 Polyclonal Antibody

一键复制产品信息
Rating icon 还可以
202603开学季活动
货号 TMAB-01039

别名 type I cytoskeletal 19, KRT19, Keratin-19 (K19), Keratin, type I cytoskeletal 19, Cytokeratin-19 (CK-19)

Anti-KRT19 Polyclonal Antibody 是一种 Rabbit 抗体,靶向 KRT19。Anti-KRT19 Polyclonal Antibody 可用于 FCM,IF,IHC-Fr,IHC-P,WB。

Anti-KRT19 Polyclonal Antibody
规格价格库存数量
50 μL
¥ 1,165
5日内发货
100 μL
¥ 1,965
5日内发货
200 μL
¥ 2,785
5日内发货
库存状态实时更新,以官网显示为准,现货产品可直接加购物车下单
大包装 & 定制
加入购物车

TargetMol的所有产品仅用作科学研究或药证申报,不能被用于人体,我们不向个人提供产品和服务。请您遵守承诺用途,不得违反法律法规规定用于任何其他用途。

实验操作小课堂
常见问题解答
查看更多

资源下载:产品操作手册

产品介绍


生物活性
产品描述
Anti-KRT19 Polyclonal Antibody is a Rabbit antibody targeting KRT19. Anti-KRT19 Polyclonal Antibody can be used in FCM,IF,IHC-Fr,IHC-P,WB.
别名
type I cytoskeletal 19, KRT19, Keratin-19 (K19), Keratin, type I cytoskeletal 19, Cytokeratin-19 (CK-19)
Ig Type
IgG
反应种属
Human (predicted:Mouse,Rat,Chicken,Dog,Pig,Cow,Horse,Rabbit)
验证活性
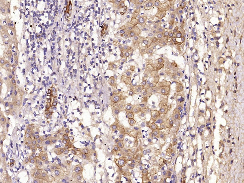
1. Paraformaldehyde-fixed, paraffin embedded (Human liver carcinoma); Antigen retrieval by microwave in sodium citrate buffer (pH6.0); Block endogenous peroxidase by 3% hydrogen peroxide for 30 minutes; Blocking buffer (3% BSA) at RT for 30 min; Antibody incubation with (Cytokeratin 19) Polyclonal Antibody, Unconjugated (TMAB-01039) at 1:400 overnight at 4°C, followed by conjugation to the secondary antibody (labeled with HRP) and DAB staining.
2. Blank control (blue): MCF7 (fixed with 2% paraformaldehyde (10 min) and then permeabilized with ice-cold 90% methanol for 30 min on ice). Primary Antibody: Rabbit Anti-Cytokeratin 19/FITC Conjugated antibody (TMAB-01039/FITC), Dilution: 1 μg in 100 μL 1X PBS containing 0.5% BSA;
Isotype Control Antibody: Rabbit IgG/FITC (orange),used under the same conditions.
3. Blank control (blue line): Hela (fixed with 70% methanol (Overnight at 4°C) and then permeabilized with 90% ice-cold methanol for 20 min at-20°C).
Primary Antibody (green line): Rabbit Anti-Cytokeratin 19 antibody (TMAB-01039), Dilution: 1 μg/10^6 cells;
Isotype Control Antibody (orange line): Rabbit IgG.
Secondary Antibody (white blue line): Goat anti-rabbit IgG-PE, Dilution: 1 μg/test.
4. Blank control: A549. Primary Antibody (green line): Rabbit Anti-Cytokeratin 19 antibody (TMAB-01039)
Dilution: 2 μg/10^6 cells;
Isotype Control Antibody (orange line): Rabbit IgG.
Secondary Antibody: Goat anti-rabbit IgG-AF647
Dilution: 1 μg/test.
Protocol
The cells were fixed with 4% PFA (10 min at room temperature) and then permeabilized with 0.1% PBST for 20 min at room temperature. The cells were then incubated in 5% BSA to block non-specific protein-protein interactions for 30 min at room temperature. Cells stained with Primary Antibody for 30 min at room temperature. The secondary antibody used for 40 min at room temperature.
5. Sample:
Lane 1: A549 (Human) Cell Lysate at 30 μg
Lane 2: MCF-7 (Human) Cell Lysate at 30 μg
Lane 3: HepG2 (Human) Cell Lysate at 30 μg
Primary: Anti-Cytokeratin 19 (TMAB-01039) at 1/1000 dilution
Secondary: IRDye800CW Goat Anti-Rabbit IgG at 1/20000 dilution
Predicted band size: 42 kDa
Observed band size: 42 kDa
6. Blank control: MCF-7. Primary Antibody (green line): Rabbit Anti-Cytokeratin 19 antibody (TMAB-01039)
Dilution: 1 μg/Test;
Secondary Antibody: Goat anti-rabbit IgG-FITC
Dilution: 0.5 μg/Test.
Protocol
The cells were fixed with 4% PFA (10 min at room temperature) and then permeabilized with 90% ice-cold methanol for 20 min at-20°C. The cells were then incubated in 5% BSA to block non-specific protein-protein interactions for 30 min at room temperature. Cells stained with Primary Antibody for 30 min at room temperature. The secondary antibody used for 40 min at room temperature.
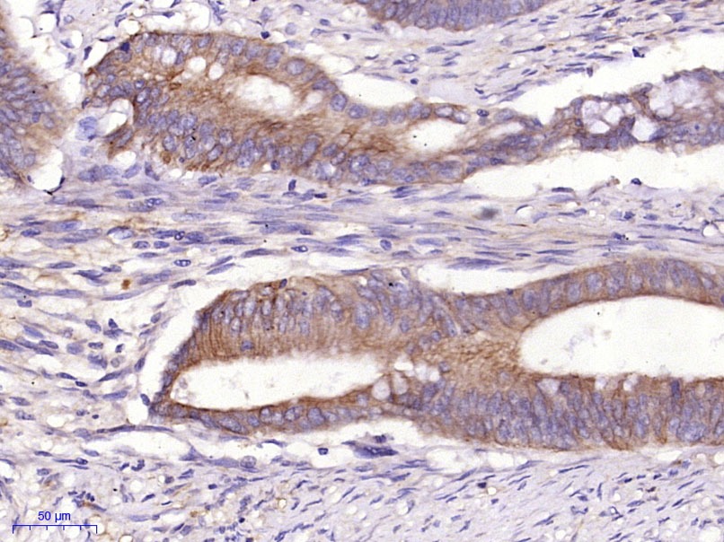
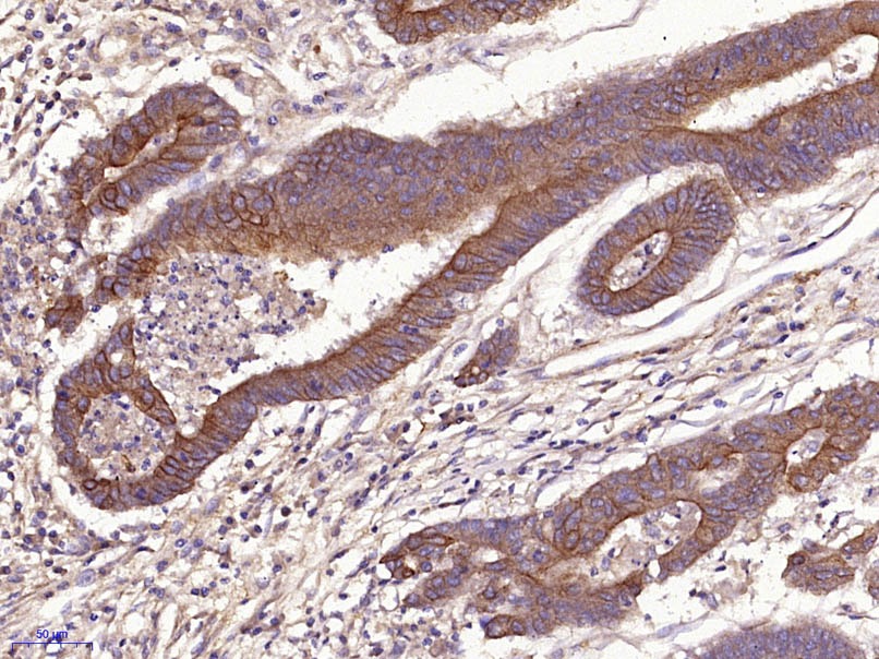
7. Paraformaldehyde-fixed, paraffin embedded (Human cervical carcinoma); Antigen retrieval by microwave in sodium citrate buffer (pH6.0); Block endogenous peroxidase by 3% hydrogen peroxide for 30 minutes; Blocking buffer (3% BSA) at RT for 30 min; Antibody incubation with (Cytokeratin 19) Polyclonal Antibody, Unconjugated (TMAB-01039) at 1:400 overnight at 4°C, followed by conjugation to the secondary antibody (labeled with HRP) and DAB staining.
8. Paraformaldehyde-fixed, paraffin embedded (Human stomach carcinoma); Antigen retrieval by microwave in sodium citrate buffer (pH6.0); Block endogenous peroxidase by 3% hydrogen peroxide for 30 minutes; Blocking buffer (3% BSA) at RT for 30 min; Antibody incubation with (Cytokeratin 19) Polyclonal Antibody, Unconjugated (TMAB-01039) at 1:400 overnight at 4°C, followed by conjugation to the secondary antibody (labeled with HRP) and DAB staining.
verifiedActivityverifiedActivityverifiedActivityverifiedActivityverifiedActivityverifiedActivityverifiedActivityverifiedActivity
应用FCMIFIHC-FrIHC-PWB
推荐剂量
WB: 1:500-2000; IHC-P: 1:100-500; IHC-Fr: 1:100-500; IF: 1:100-500; FCM: 1μg /test
抗体种类
Polyclonal
宿主来源Rabbit
组织特异性Expressed in a defined zone of basal keratinocytes in the deep outer root sheath of hair follicles. Also observed in sweat gland and mammary gland ductal and secretory cells, bile ducts, gastrointestinal tract, bladder urothelium, oral epithelia, esophagu
构建方式Polyclonal Antibody
纯化方式Protein A purified
性状Liquid
缓冲液0.01M TBS (pH7.4) with 1% BSA, 0.02% Proclin300 and 50% Glycerol.
浓度1 mg/mL
研究背景The protein encoded by this gene is a member of the keratin family. The keratins are intermediate filament proteins responsible for the structural integrity of epithelial cells and are subdivided into cytokeratins and hair keratins. The type I cytokeratins consist of acidic proteins which are arranged in pairs of heterotypic keratin chains. Unlike its related family members, this smallest known acidic cytokeratin is not paired with a basic cytokeratin in epithelial cells. It is specifically expressed in the periderm, the transiently superficial layer that envelopes the developing epidermis. The type I cytokeratins are clustered in a region of chromosome 17q12-q21.
抗原信息
免疫原
KLH conjugated synthetic peptide: human Cytokeratin 19.
抗原种属
Human
基因名称
KRT19
基因ID
蛋白名称
Keratin, type I cytoskeletal 19
Uniprot ID
研究领域
Cytokeratins
功能
Involved in the organization of myofibers. Together with KRT8, helps to link the contractile apparatus to dystrophin at the costameres of striated muscle.
化学信息
分子量Theoretical: 44 kDa. Actual: 42 kDa.
储存&溶解度
储存方式Store at -20°C or -80°C for 12 months. Avoid repeated freeze-thaw cycles.
运输方式Shipping with blue ice.

计算器

  • 稀释 计算器
  • 配液 计算器
Related Tags: buy Anti-KRT19 Polyclonal Antibody | purchase Anti-KRT19 Polyclonal Antibody | Anti-KRT19 Polyclonal Antibody cost | order Anti-KRT19 Polyclonal Antibody | Anti-KRT19 Polyclonal Antibody molecular weight