购物车
  • TargetMol
    您的购物车当前为空

Anti-KRT19 Antibody (4B372)

Synonyms: type I cytoskeletal 19, KRT19, Keratin-19 (K19), Keratin, type I cytoskeletal 19, Cytokeratin-19 (CK-19)
货号 TMAC-01084 一键复制产品信息
Rating icon 还可以
202603开学季活动

Anti-KRT19 Antibody (4B372) 是一种 Rabbit 抗体,靶向 KRT19。Anti-KRT19 Antibody (4B372) 可用于 FCM,ICC/IF,IHC,WB。

Anti-KRT19 Antibody (4B372)

一键复制产品信息
Rating icon 还可以
202603开学季活动
货号 TMAC-01084

别名 type I cytoskeletal 19, KRT19, Keratin-19 (K19), Keratin, type I cytoskeletal 19, Cytokeratin-19 (CK-19)

Anti-KRT19 Antibody (4B372) 是一种 Rabbit 抗体,靶向 KRT19。Anti-KRT19 Antibody (4B372) 可用于 FCM,ICC/IF,IHC,WB。

Anti-KRT19 Antibody (4B372)
规格价格库存数量
50 μL
¥ 1,485
5日内发货
100 μL
¥ 2,480
5日内发货
库存状态实时更新,以官网显示为准,现货产品可直接加购物车下单
大包装 & 定制
加入购物车

TargetMol的所有产品仅用作科学研究或药证申报,不能被用于人体,我们不向个人提供产品和服务。请您遵守承诺用途,不得违反法律法规规定用于任何其他用途。

实验操作小课堂
常见问题解答
查看更多

资源下载:产品操作手册

产品介绍


生物活性
产品描述
Anti-KRT19 Antibody (4B372) is a Rabbit antibody targeting KRT19. Anti-KRT19 Antibody (4B372) can be used in FCM,ICC/IF,IHC,WB.
别名
type I cytoskeletal 19, KRT19, Keratin-19 (K19), Keratin, type I cytoskeletal 19, Cytokeratin-19 (CK-19)
Ig Type
IgG
克隆号
4B372
反应种属
Human,Mouse
验证活性
1. Western blot analysis of Cytokeratin 19 on MCF-7 cell lysates using anti- Cytokeratin 19 antibody at 1/10,000 dilution.
2. Immunohistochemical analysis of paraffin-embedded human liver tissue using anti-Cytokeratin 19 antibody. Counter stained with hematoxylin.
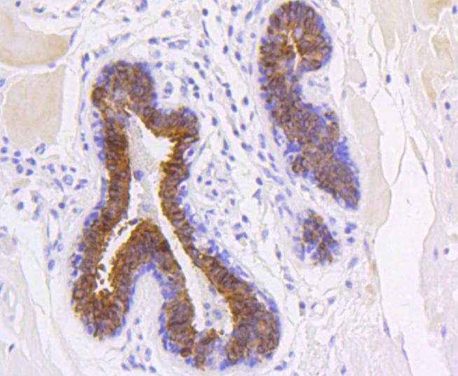
3. Immunohistochemical analysis of paraffin-embedded human breast carcinoma tissue using anti-Cytokeratin 19 antibody. Counter stained with hematoxylin.
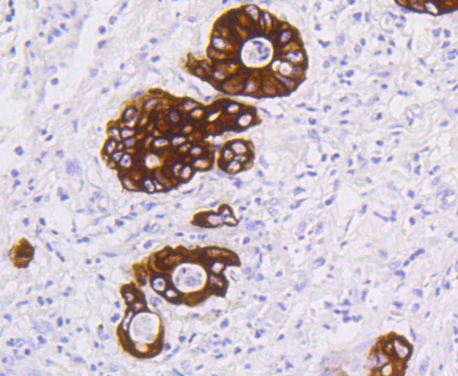
4. Immunohistochemical analysis of paraffin-embedded human stomach carcinoma tissue using anti-Cytokeratin 19 antibody. Counter stained with hematoxylin.
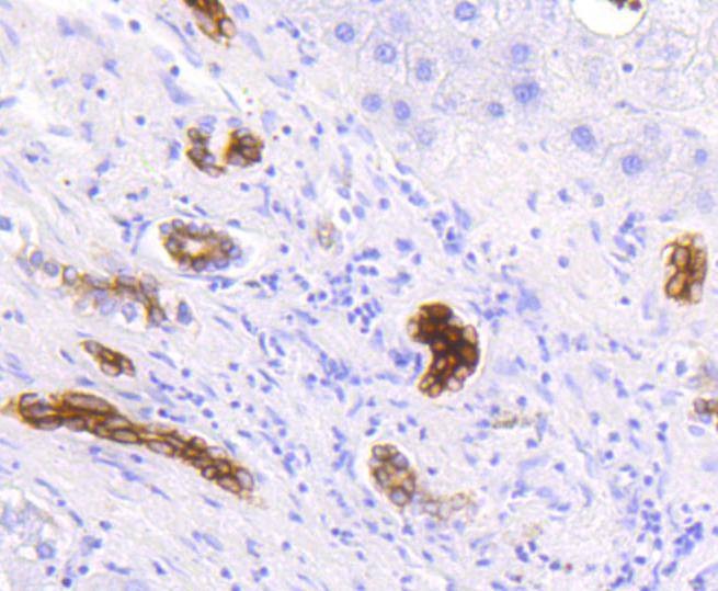
5. Immunohistochemical analysis of paraffin-embedded mouse liver tissue using anti-Cytokeratin 19 antibody. Counter stained with hematoxylin.
6. ICC staining Cytokeratin 19 in Ags cells (green). The nuclear counter stain is DAPI (blue). Cells were fixed in paraformaldehyde, permeabilised with 0.25% Triton X100/PBS.
7. Flow cytometric analysis of MCF-7 cells with Cytokeratin 19 antibody at 1/50 dilution (blue) compared with an unlabelled control (cells without incubation with primary antibody; red). Alexa Fluor 488-conjugated goat anti-rabbit IgG was used as the secondary antibody.
verifiedActivityverifiedActivityverifiedActivityverifiedActivityverifiedActivityverifiedActivityverifiedActivity
应用FCMICC/IFIHCWB
推荐剂量
WB: 1:5000-10000; IHC: 1:50-200; ICC/IF: 1:50-200; FCM: 1:10-100
抗体种类
Monoclonal
宿主来源Rabbit
构建方式Recombinant Antibody
纯化方式ProA affinity purified
性状Liquid
缓冲液1*TBS (pH7.4), 1%BSA, 40%Glycerol. Preservative: 0.05% Sodium Azide.
研究背景Cytokeratins comprise a diverse group of intermediate filament proteins (IFPs) that are expressed as pairs in both keratinized and non-keratinized epithelial tissue. Cytokeratins play a critical role in differentiation and tissue specialization and function to maintain the overall structural integrity of epithelial cells and have been found to be useful markers of tissue differentiation, which is directly applicable to the characterization of malignant tumors. For example, many types of cancer cells express Cytokeratin 19 (CK19), an epithelial cytoskeletal protein within the suprabasal squamous epithelium. Cytokeratin 19 is a specific marker of moderate to severe dysplasia and carcinoma in situ in oral cavity squamous epithelium, and measurement of Cytokeratin 19 may be a useful marker in diagnosing hepatoma. Cytokeratin 19 fragment levels in serum have been documented as a marker for lung cancer. Clinical investigations have suggested that serum CYFRA 21-1, a fragment of Cytokeratin 19, may be among the most useful tumor markers.
偶联与修饰
偶联
Unconjugated
抗原信息
免疫原
Recombinant Protein
Uniprot ID
化学信息
分子量Theoretical: 40 kDa.
储存&溶解度
储存方式Store at -20°C or -80°C for 12 months. Avoid repeated freeze-thaw cycles.
运输方式Shipping with blue ice.

计算器

  • 稀释 计算器
  • 配液 计算器
Related Tags: buy Anti-KRT19 Antibody (4B372) | purchase Anti-KRT19 Antibody (4B372) | Anti-KRT19 Antibody (4B372) cost | order Anti-KRT19 Antibody (4B372) | Anti-KRT19 Antibody (4B372) molecular weight