购物车
  • TargetMol
    您的购物车当前为空

Anti-KRT18 Polyclonal Antibody 2

Synonyms: type I cytoskeletal 18, KRT18, Keratin-18 (K18), Keratin, type I cytoskeletal 18, Cytokeratin-18 (CK-18), CYK18, Cell proliferation-inducing gene 46 protein
货号 TMAB-01037 一键复制产品信息
Rating icon 还可以

Anti-KRT18 Polyclonal Antibody 2 是一种 Rabbit 抗体,靶向 VCAM-1。Anti-KRT18 Polyclonal Antibody 2 可用于 FCM,ICC/IF,IF,IHC-Fr,IHC-P,WB。

Anti-KRT18 Polyclonal Antibody 2

一键复制产品信息
Rating icon 还可以
货号 TMAB-01037

别名 type I cytoskeletal 18, KRT18, Keratin-18 (K18), Keratin, type I cytoskeletal 18, Cytokeratin-18 (CK-18), CYK18, Cell proliferation-inducing gene 46 protein

Anti-KRT18 Polyclonal Antibody 2 是一种 Rabbit 抗体,靶向 VCAM-1。Anti-KRT18 Polyclonal Antibody 2 可用于 FCM,ICC/IF,IF,IHC-Fr,IHC-P,WB。

Anti-KRT18 Polyclonal Antibody 2
规格价格库存数量
50 μL
¥ 1,165
5日内发货
100 μL
¥ 1,960
5日内发货
200 μL
¥ 2,790
5日内发货
库存状态实时更新,以官网显示为准,现货产品可直接加购物车下单
大包装 & 定制
加入购物车
TargetMol的所有产品仅用作科学研究或药证申报,不能被用于人体,我们不向个人提供产品和服务。请您遵守承诺用途,不得违反法律法规规定用于任何其他用途。
实验操作小课堂
常见问题解答
查看更多

资源下载:产品操作手册

产品介绍


生物活性
产品描述
Anti-KRT18 Polyclonal Antibody 2 is a Rabbit antibody targeting VCAM-1. Anti-KRT18 Polyclonal Antibody 2 can be used in FCM,ICC/IF,IF,IHC-Fr,IHC-P,WB.
别名type I cytoskeletal 18, KRT18, Keratin-18 (K18), Keratin, type I cytoskeletal 18, Cytokeratin-18 (CK-18), CYK18, Cell proliferation-inducing gene 46 protein
Ig Type
IgG
反应种属
Human,Mouse,Rat(predicted:Chicken,Dog,Rabbit)
验证活性
1. Sample:
Hela KO CK18 (Human) Cell Lysate at 30 μg
Hela (Human) Cell Lysate at 30 μg
Primary: Anti-CK18 (TMAB-01037) at 1/1000 dilution
Secondary: IRDye800CW Goat Anti-Rabbit IgG at 1/20000 dilution
Predicted band size: 48 kDa
Observed band size: 48 kDa
2. Sample:
Lane 1: Hela (Human) Cell Lysate at 30 μg
Lane 2: HepG2 (Human) Cell Lysate at 30 μg
Lane 3: A549 (Human) Cell Lysate at 30 μg
Lane 4: MCF-7 (Human) Cell Lysate at 30 μg
Primary: Anti-CK18 (TMAB-01037) at 1/1000 dilution
Secondary: IRDye800CW Goat Anti-Rabbit IgG at 1/20000 dilution
Predicted band size: 48 kDa
Observed band size: 45 kDa
3. Blank control: Hela.
Primary Antibody (green line): Rabbit Anti-CK18 antibody (TMAB-01037)
Dilution: 1 μg/10^6 cells;
Isotype Control Antibody (orange line): Rabbit IgG.
Secondary Antibody: Goat anti-rabbit IgG-AF647
Dilution: 1 μg/test.
Protocol
The cells were fixed with 4% PFA (10 min at room temperature) and then permeabilized with 0.1% PBST for 20 min at-20°C. The cells were then incubated in 5% BSA to block non-specific protein-protein interactions for 30 min at room temperature. Cells stained with Primary Antibody for 30 min at room temperature. The secondary antibody used for 40 min at room temperature.
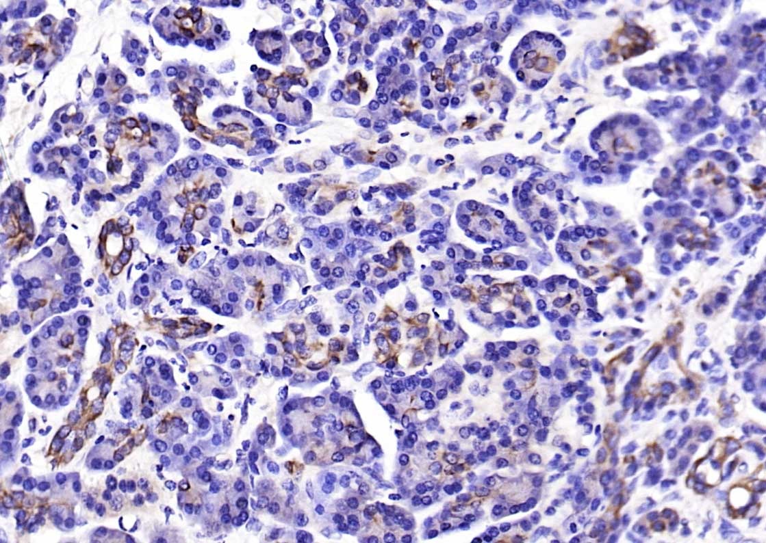
4. Paraformaldehyde-fixed, paraffin embedded Human Pancreatic Cancer; Antigen retrieval by boiling in sodium citrate buffer (pH6.0) for 15 min; Antibody incubation with CK18 Polyclonal Antibody, Unconjugated (TMAB-01037) at 1:200 overnight at 4°C, followed by conjugation to the SP Kit (Rabbit) and DAB staining.
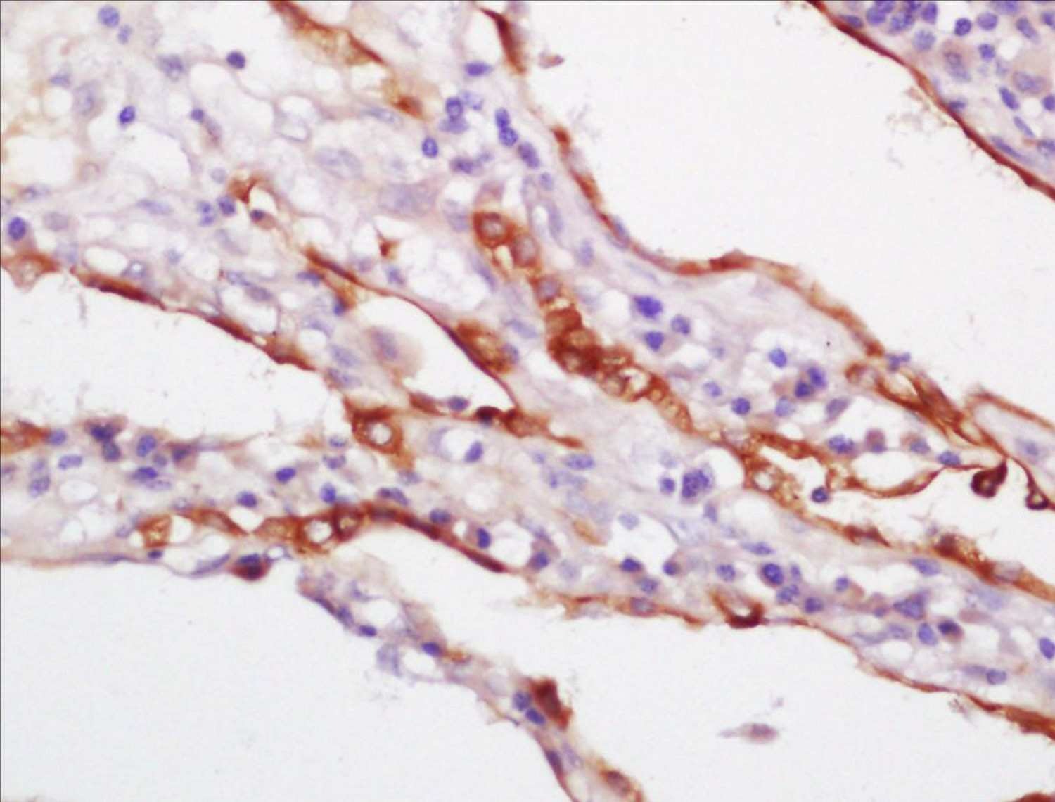
5. Paraformaldehyde-fixed, paraffin embedded Rat Uterus; Antigen retrieval by boiling in sodium citrate buffer (pH6.0) for 15 min; Antibody incubation with CK18 Polyclonal Antibody, Unconjugated (TMAB-01037) at 1:200 overnight at 4°C, followed by conjugation to the SP Kit (Rabbit) and DAB staining.
6. Tissue/cell: A549 cell; 4% Paraformaldehyde-fixed; Triton X-100 at room temperature for 20 min; Blocking buffer (normal goat serum) at 37°C for 20 min; Antibody incubation with (CK18) polyclonal Antibody, Unconjugated (TMAB-01037) 1:100, 90 minutes at 37°C; followed by a FITC conjugated Goat Anti-Rabbit IgG antibody at 37°C for 90 minutes, DAPI (blue) was used to stain the cell nucleus.
7. Paraformaldehyde-fixed, paraffin embedded Human Lung Cancer; Antigen retrieval by boiling in sodium citrate buffer (pH6.0) for 15 min; Antibody incubation with CK18 Polyclonal Antibody, Unconjugated (TMAB-01037) at 1:200 overnight at 4°C, followed by conjugation to the SP Kit (Rabbit) and DAB staining.
8. Blank control (blue line): HepG2 (blue).
Primary Antibody (green line): Rabbit Anti-CK18 antibody (TMAB-01037)
Dilution: 0.2 μg/10^6 cells;
Isotype Control Antibody (orange line): Rabbit IgG.
Secondary Antibody (white blue line): Goat anti-rabbit IgG-PE
Dilution: 1 μg/test.
Protocol
The cells were fixed with 70% ethanol (Overnight at 4°C) and then permeabilized with 90% methanol for 20 min at-20°C. Cells stained with Primary Antibody for 30 min at room temperature. The cells were then incubated in 1 X PBS/2% BSA/10% goat serum to block non-specific protein-protein interactions followed by the antibody for 15 min at room temperature. The secondary antibody used for 40 min at room temperature.
verifiedActivityverifiedActivityverifiedActivityverifiedActivityverifiedActivityverifiedActivityverifiedActivityverifiedActivity
应用FCMICC/IFIFIHC-FrIHC-PWB
推荐剂量
FCM=0.2 μg/Test; ICC/IF=1:100-500; IF=1:100-500; IHC-Fr=1:100-500; IHC-P=1:100-500; WB=1:500-2000
抗体种类
Polyclonal
宿主来源Rabbit
亚细胞定位Cytoplasm, perinuclear region. Nucleus, nucleolus.
组织特异性Expressed in colon, placenta, liver and very weakly in exocervix. Increased expression observed in lymph nodes of breast carcinoma.
构建方式Polyclonal Antibody
纯化方式Protein A purified
性状Liquid
缓冲液0.01M TBS (pH7.4) with 1% BSA, 0.02% Proclin300 and 50% Glycerol.
浓度1 mg/mL
研究背景KRT18 encodes the type I intermediate filament chain keratin 18. Keratin 18, together with its filament partner keratin 8, are perhaps the most commonly found members of the intermediate filament gene family. They are expressed in single layer epithelial tissues of the body. Mutations in this gene have been linked to cryptogenic cirrhosis. Two transcript variants encoding the same protein have been found for this gene. [provided by RefSeq, Jul 2008]
抗原信息
免疫原
KLH conjugated synthetic peptide: human CK18
抗原种属
Human
基因名称
KRT18
基因ID
蛋白名称
Keratin, type I cytoskeletal 18
Uniprot ID
研究领域
Cytokeratins,Tumor Associated
功能
When phosphorylated, plays a role in filament reorganization. Involved in the delivery of mutated CFTR to the plasma membrane. Involved in the uptake of thrombin-antithrombin complexes by hepatic cells (By similarity). Together with KRT8, is involved in interleukin-6 (IL-6)-mediated barrier protection.
化学信息
分子量Theoretical: 48 kDa. Actual: 45-48 kDa.
储存&溶解度
储存方式Store at -20°C or -80°C for 12 months. Avoid repeated freeze-thaw cycles.
运输方式Shipping with blue ice.

计算器

  • 稀释 计算器
  • 配液 计算器
Related Tags: buy Anti-KRT18 Polyclonal Antibody 2 | purchase Anti-KRT18 Polyclonal Antibody 2 | Anti-KRT18 Polyclonal Antibody 2 cost | order Anti-KRT18 Polyclonal Antibody 2 | Anti-KRT18 Polyclonal Antibody 2 molecular weight