购物车
  • 全部删除
  • TargetMol
    您的购物车当前为空

Anti-KRT18 Antibody (5J111)

Rating icon 还可以
产品编号 TMAC-01083
别名 type I cytoskeletal 18, KRT18, Keratin-18 (K18), Keratin, type I cytoskeletal 18, Cytokeratin-18 (CK-18), CYK18, Cell proliferation-inducing gene 46 protein

Anti-KRT18 Antibody (5J111) 是一种 Rabbit 抗体,靶向 KRT18。Anti-KRT18 Antibody (5J111) 可用于 FCM,ICC/IF,IHC,WB。

Anti-KRT18 Antibody (5J111)

Anti-KRT18 Antibody (5J111)

一键复制产品信息
Rating icon 还可以
产品编号 TMAC-01083 别名 type I cytoskeletal 18, KRT18, Keratin-18 (K18), Keratin, type I cytoskeletal 18, Cytokeratin-18 (CK-18), CYK18, Cell proliferation-inducing gene 46 protein

Anti-KRT18 Antibody (5J111) 是一种 Rabbit 抗体,靶向 KRT18。Anti-KRT18 Antibody (5J111) 可用于 FCM,ICC/IF,IHC,WB。

规格价格库存数量
50 μL
¥ 1,485
5日内发货
100 μL
¥ 2,480
5日内发货
大包装 & 定制
加入购物车
TargetMol 的所有产品仅用作科学研究或药证申报,不能被用于人体,我们不向个人提供产品和服务。请您遵守承诺用途,不得违反法律法规规定用于任何其他用途。
实验操作小课堂
常见问题解答
查看更多
联系我们获取更多批次信息
资源下载

产品介绍

生物活性
产品描述
Anti-KRT18 Antibody (5J111) is a Rabbit antibody targeting KRT18. Anti-KRT18 Antibody (5J111) can be used in FCM,ICC/IF,IHC,WB.
别名type I cytoskeletal 18, KRT18, Keratin-18 (K18), Keratin, type I cytoskeletal 18, Cytokeratin-18 (CK-18), CYK18, Cell proliferation-inducing gene 46 protein
Ig Type
IgG
克隆号
5J111
交叉反应
Human,Mouse,Rat
验证活性
1. Western blot analysis of Cytokeratin 18 on different lysates using anti-Cytokeratin 18 antibody at 1/20,000 dilution. Positive control: Lane 1: A431, Lane 2: Mouse colon, Lane 3: Mouse kidney.
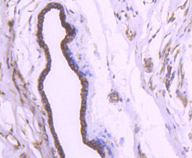
2. Immunohistochemical analysis of paraffin-embedded human colon cancer tissue using anti-Cytokeratin 18 antibody. Counter stained with hematoxylin.
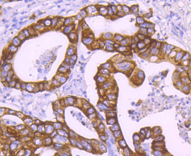
3. Immunohistochemical analysis of paraffin-embedded human breast carcinoma tissue using anti-Cytokeratin 18 antibody. Counter stained with hematoxylin.
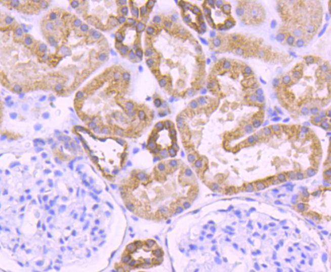
4. Immunohistochemical analysis of paraffin-embedded human kidney tissue using anti-Cytokeratin 18 antibody. Counter stained with hematoxylin.
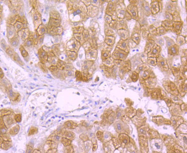
5. Immunohistochemical analysis of paraffin-embedded human liver tissue using anti-Cytokeratin 18 antibody. Counter stained with hematoxylin.
6. Immunohistochemical analysis of paraffin-embedded human gastric carcinoma tissue using anti-Cytokeratin 18 antibody. Counter stained with hematoxylin.
7. ICC staining Cytokeratin 18 in Hela cells (green). The nuclear counter stain is DAPI (blue). Cells were fixed in paraformaldehyde, permeabilised with 0.25% Triton X100/PBS.
8. ICC staining Cytokeratin 18 in A431 cells (green). The nuclear counter stain is DAPI (blue). Cells were fixed in paraformaldehyde, permeabilised with 0.25% Triton X100/PBS.
9. ICC staining Cytokeratin 18 in HepG2 cells (green). The nuclear counter stain is DAPI (blue). Cells were fixed in paraformaldehyde, permeabilised with 0.25% Triton X100/PBS.
10. Flow cytometric analysis of MCF-7 cells with Cytokeratin 18 antibody at 1/50 dilution (red) compared with an unlabelled control (cells without incubation with primary antibody; black). Alexa Fluor 488-conjugated goat anti rabbit IgG was used as the secondary antibody.
verifiedActivityverifiedActivityverifiedActivityverifiedActivityverifiedActivityverifiedActivityverifiedActivityverifiedActivityverifiedActivityverifiedActivity
应用FCMICC/IFIHCWB
推荐剂量
WB: 1:10000-50000; IHC: 1:50-200; ICC/IF: 1:100-500; FCM: 1:50-100
抗体种类
Monoclonal
宿主来源Rabbit
构建方式Recombinant Antibody
纯化方式ProA affinity purified
性状Liquid
缓冲液1*TBS (pH7.4), 1%BSA, 40%Glycerol. Preservative: 0.05% Sodium Azide.
研究背景Cytokeratins comprise a diverse group of intermediate filament proteins (IFPs) that are expressed as pairs in both keratinized and non-keratinized epithelial tissue. Cytokeratins play a critical role in differentiation and tissue specialization and function to maintain the overall structural integrity of epithelial cells. Cytokeratins have been found to be useful markers of tissue differentiation which is directly applicable to the characterization of malignant tumors. For example, Cytokeratins 10 and 13 are expressed highly in a subset of squamous cell carcinomas while Cytokeratin 18 is expressed in a majority of adenocarcinomas and basal cell carcinomas. Cytokeratin 18 contains two major phosphorylation sites on Ser 33 and Ser 52. Phosphorylation of Ser 18 is essential for the association of Cytokeratin 18 with 14-3-3 proteins and is involved in keratin organization and distribution.
偶联与修饰
偶联
Unconjugated
抗原信息
免疫原
Recombinant Protein
Uniprot ID
化学信息
分子量Theoretical: 48 kDa.
存储&运输
储存方式Store at -20°C or -80°C for 12 months. Avoid repeated freeze-thaw cycles.
运输方式Shipping with blue ice.

计算器

  • 稀释 计算器

关键词

评论列表

4个月前
5.0
Rating icon 很棒

评论内容

Related Tags: buy Anti-KRT18 Antibody (5J111) | purchase Anti-KRT18 Antibody (5J111) | Anti-KRT18 Antibody (5J111) cost | order Anti-KRT18 Antibody (5J111) | Anti-KRT18 Antibody (5J111) molecular weight