购物车
  • TargetMol
    您的购物车当前为空

Anti-KRT17 Antibody (9X387)

Synonyms: type I cytoskeletal 17, PCHC1, PC2, PC, KRT 17, Keratin-17, keratin, type i cytoskeletal 17 [version 1], Keratin type I cytoskeletal 17, Keratin 17, type I, keratin 17 epitope S4, keratin 17 epitope S2, keratin 17 epitope S1, Keratin 17, Keratin, K1C17_HUMAN, K17, Cytokeratin-17, CK-17, CK 17, 39.1
货号 TMAC-01079 一键复制产品信息
Rating icon 还可以

Anti-KRT17 Antibody (9X387) 是一种 Rabbit 抗体,靶向 KRT17。Anti-KRT17 Antibody (9X387) 可用于 FCM,ICC/IF,IHC,WB。

Anti-KRT17 Antibody (9X387)

一键复制产品信息
Rating icon 还可以
货号 TMAC-01079

别名 type I cytoskeletal 17, PCHC1, PC2, PC, KRT 17, Keratin-17, keratin, type i cytoskeletal 17 [version 1], Keratin type I cytoskeletal 17, Keratin 17, type I, keratin 17 epitope S4, keratin 17 epitope S2, keratin 17 epitope S1, Keratin 17, Keratin, K1C17_HUMAN, K17, Cytokeratin-17, CK-17, CK 17, 39.1

Anti-KRT17 Antibody (9X387) 是一种 Rabbit 抗体,靶向 KRT17。Anti-KRT17 Antibody (9X387) 可用于 FCM,ICC/IF,IHC,WB。

Anti-KRT17 Antibody (9X387)
规格价格库存数量
50 μL
¥ 1,485
5日内发货
100 μL
¥ 2,490
5日内发货
库存状态实时更新,以官网显示为准,现货产品可直接加购物车下单
大包装 & 定制
加入购物车
TargetMol的所有产品仅用作科学研究或药证申报,不能被用于人体,我们不向个人提供产品和服务。请您遵守承诺用途,不得违反法律法规规定用于任何其他用途。
实验操作小课堂
常见问题解答
查看更多

资源下载:产品操作手册

产品介绍


生物活性
产品描述
Anti-KRT17 Antibody (9X387) is a Rabbit antibody targeting KRT17. Anti-KRT17 Antibody (9X387) can be used in FCM,ICC/IF,IHC,WB.
别名type I cytoskeletal 17, PCHC1, PC2, PC, KRT 17, Keratin-17, keratin, type i cytoskeletal 17 [version 1], Keratin type I cytoskeletal 17, Keratin 17, type I, keratin 17 epitope S4, keratin 17 epitope S2, keratin 17 epitope S1, Keratin 17, Keratin, K1C17_HUMAN, K17, Cytokeratin-17, CK-17, CK 17, 39.1
Ig Type
IgG
克隆号
9X387
反应种属
Human,Mouse,Rat
验证活性
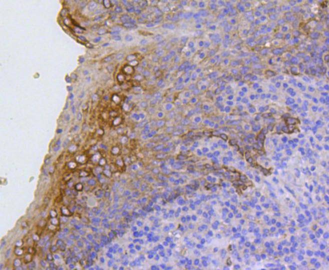
1. Immunohistochemical analysis of paraffin-embedded human tonsil tissue using anti-Cytokeratin 17 antibody. Counter stained with hematoxylin.
2. Immunohistochemical analysis of paraffin-embedded human breast carcinoma tissue using anti-Cytokeratin 17 antibody. Counter stained with hematoxylin.
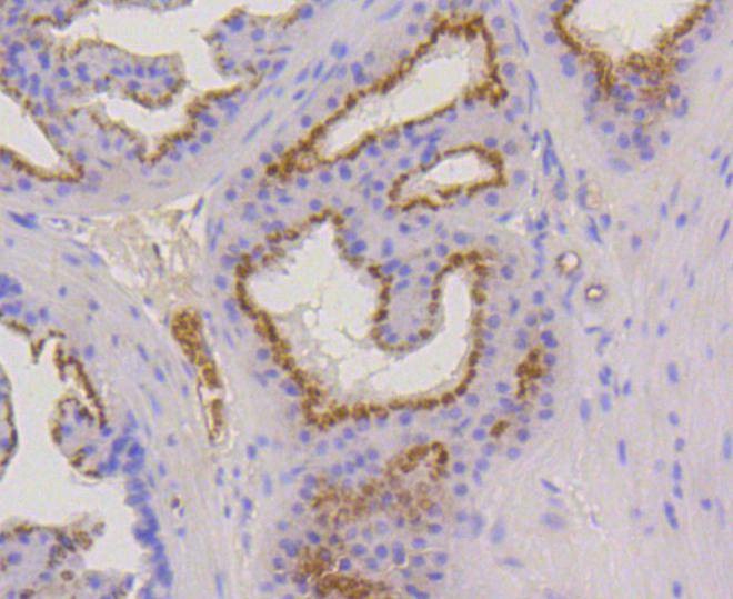
3. Immunohistochemical analysis of paraffin-embedded mouse prostate tissue using anti-Cytokeratin 17 antibody. Counter stained with hematoxylin.
4. ICC staining Cytokeratin 17 in Hela cells (green). The nuclear counter stain is DAPI (blue). Cells were fixed in paraformaldehyde, permeabilised with 0.25% Triton X100/PBS.
5. ICC staining Cytokeratin 17 in PC-3M cells (green). The nuclear counter stain is DAPI (blue). Cells were fixed in paraformaldehyde, permeabilised with 0.25% Triton X100/PBS.
6. Flow cytometric analysis of Hela cells with Cytokeratin 17 antibody at 1/50 dilution (blue) compared with an unlabelled control (cells without incubation with primary antibody; red). Alexa Fluor 488-conjugated goat anti rabbit IgG was used as the secondary antibody.
verifiedActivityverifiedActivityverifiedActivityverifiedActivityverifiedActivityverifiedActivity
应用FCMICC/IFIHCWB
推荐剂量
WB: 1:500-1000; IHC: 1:50-200; ICC/IF: 1:50-200; FCM: 1:50-100
抗体种类
Monoclonal
宿主来源Rabbit
构建方式Recombinant Antibody
纯化方式ProA affinity purified
性状Liquid
缓冲液1*TBS (pH7.4), 1%BSA, 40%Glycerol. Preservative: 0.05% Sodium Azide.
研究背景Cytokeratin 17 is a member of the Cytokeratin subfamily of intermediate filament proteins (IFPs). It is unique in that it is normally expressed in the basal cells of complex epithelia but not in stratified or simple epithelia. Cytokeratin 17 contains 432 amino acids and is expressed in the nail bed, hair follicle, sebaceous glands and other epidermal appendages. Cytokeratin 17 functions to regulate cell growth and size through its interactions with the adaptor protein 14-3-3-sigma to mediate protein synthesis. Mutations in the gene encoding for Cytokeratin 17 lead to depressed protein translation and smaller sized skin keratinocytes, corresponding to decreased Akt/mTOR signaling activity. Cytokeratin 17 may be a useful marker for cervical stem cell identification, squamous cell carcinoma of the larynx, respiratory syncytial virus and transitional cell carcinomas of the human urinary tract.
偶联与修饰
偶联
Unconjugated
抗原信息
免疫原
Recombinant Protein
Uniprot ID
化学信息
分子量Theoretical: 48 kDa.
储存&溶解度
储存方式Store at -20°C or -80°C for 12 months. Avoid repeated freeze-thaw cycles.
运输方式Shipping with blue ice.

计算器

  • 稀释 计算器
  • 配液 计算器
Related Tags: buy Anti-KRT17 Antibody (9X387) | purchase Anti-KRT17 Antibody (9X387) | Anti-KRT17 Antibody (9X387) cost | order Anti-KRT17 Antibody (9X387) | Anti-KRT17 Antibody (9X387) molecular weight