购物车
  • TargetMol
    您的购物车当前为空

Anti-KDM1B Antibody (3V868)

Synonyms: Lysine-specific histone demethylase 2, Lysine-specific histone demethylase 1B, LSD2, Flavin-containing amine oxidase domain-containing protein 1, C6orf193, AOF1
货号 TMAC-00221Cas号 一键复制产品信息纯度:
Rating icon 还可以

Anti-KDM1B Antibody (3V868) 是一种 Mouse 抗体,靶向 KDM1B。Anti-KDM1B Antibody (3V868) 可用于 FCM,ICC,IHC,WB。

Anti-KDM1B Antibody (3V868)

一键复制产品信息
Rating icon 还可以
货号 TMAC-00221

别名 Lysine-specific histone demethylase 2, Lysine-specific histone demethylase 1B, LSD2, Flavin-containing amine oxidase domain-containing protein 1, C6orf193, AOF1

Anti-KDM1B Antibody (3V868) 是一种 Mouse 抗体,靶向 KDM1B。Anti-KDM1B Antibody (3V868) 可用于 FCM,ICC,IHC,WB。

Anti-KDM1B Antibody (3V868)
规格价格库存数量
50 μL
¥ 1,990
5日内发货
100 μL
¥ 2,990
5日内发货
库存状态实时更新,以官网显示为准,现货产品可直接加购物车下单
大包装 & 定制
加入购物车

TargetMol的所有产品仅用作科学研究或药证申报,不能被用于人体,我们不向个人提供产品和服务。请您遵守承诺用途,不得违反法律法规规定用于任何其他用途。

实验操作小课堂
常见问题解答
查看更多

资源下载:产品操作手册

产品介绍


生物活性
产品描述
Anti-KDM1B Antibody (3V868) is a Mouse antibody targeting KDM1B. Anti-KDM1B Antibody (3V868) can be used in FCM,ICC,IHC,WB.
别名
Lysine-specific histone demethylase 2, Lysine-specific histone demethylase 1B, LSD2, Flavin-containing amine oxidase domain-containing protein 1, C6orf193, AOF1
克隆号
3V868
反应种属
Human
验证活性
1. Western blot analysis of AOF1 on human AOF1 recombinant protein using anti-AOF1 antibody at 1/1,000 dilution.
2. Western blot analysis of AOF1 on HEK293 (1) and AOF1-hIgGFc transfected HEK293 (2) cell lysate using anti-AOF1 antibody at 1/1,000 dilution.
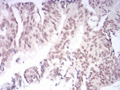
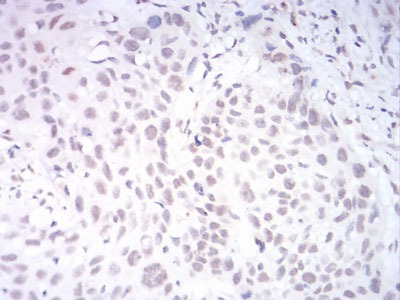
3. Immunohistochemical analysis of paraffin-embedded human esophageal cancer tissue using anti-AOF1 antibody. Counter stained with hematoxylin.
4. Immunohistochemical analysis of paraffin-embedded human rectum cancer tissue using anti-AOF1 antibody. Counter stained with hematoxylin.
5. ICC staining AOF1 (green) and Actin filaments (red) in Hela cells. The nuclear counter stain is DAPI (blue). Cells were fixed in paraformaldehyde, permeabilised with 0.25% Triton X100/PBS.
6. Flow cytometric analysis of Hela cells with AOF1 antibody at 1/100 dilution (green) compared with an unlabelled control (cells without incubation with primary antibody; red).
verifiedActivityverifiedActivityverifiedActivityverifiedActivityverifiedActivityverifiedActivity
应用FCMICCIHCWB
推荐剂量
WB: 1:500-2000; IHC: 1:50-200; ICC: 1:50-200; FCM: 1:100-200
抗体种类
Monoclonal
宿主来源Mouse
构建方式Hybridoma Monoclonal Antibody
纯化方式ProA affinity purified
性状Liquid
缓冲液1*TBS (pH7.4), 1%BSA, 40%Glycerol. Preservative: 0.05% Sodium Azide.
研究背景AOF1 (amine-oxidase flavin-containing domain 1), whose alternative names include KDM1B (lysine (K)-specific demethylase 1B) or LSD2 (lysine-specific histone demethylase 2), is an 823 amino acid nuclear protein belonging to the flavin monoamine oxidase family. As a histone demethylase, AOF1 specifically demethylates Lys4 of histone H3, a marker for epigenetic transcriptional activation, by interacting with a long stretch of the H3 N-terminal tail of mono- and dimethylated Lys4. Existing as three alternatively spliced isoforms, AOF1 is required for de novo DNA methylation of some imprinted genes in oocytes and contains a single SWIRM domain that is implicated in chromatin regulation. AOF1 contains one CW-type zinc finger and is encoded by a gene located on human chromosome 6p22.3.
偶联与修饰
偶联
Unconjugated
抗原信息
免疫原
Recombinant Protein
Uniprot ID
化学信息
分子量Theoretical: 92 kDa.
储存&溶解度
储存方式Store at -20°C or -80°C for 12 months. Avoid repeated freeze-thaw cycles.
运输方式Shipping with blue ice.

计算器

  • 稀释 计算器
  • 配液 计算器
Related Tags: buy Anti-KDM1B Antibody (3V868) | purchase Anti-KDM1B Antibody (3V868) | Anti-KDM1B Antibody (3V868) cost | order Anti-KDM1B Antibody (3V868) | Anti-KDM1B Antibody (3V868) molecular weight