购物车
  • TargetMol
    您的购物车当前为空

Anti-JNK2 Antibody (7P337)

Synonyms: SAPK1a, SAPK, PRKM9, p54aSAPK, p54a, mitogen-activated protein kinase 9, JNK-55, JNK2β, JNK2α, JNK2BETA, JNK2B, JNK2ALPHA, JNK2A, JNK2
货号 TMAC-02286Cas号 一键复制产品信息纯度:
Rating icon 还可以

Anti-JNK2 Antibody (7P337) 是一种 Rabbit 抗体,靶向 JNK2。Anti-JNK2 Antibody (7P337) 可用于 FCM,ICC,IHC,IP,WB。

Anti-JNK2 Antibody (7P337)

一键复制产品信息
Rating icon 还可以
货号 TMAC-02286

别名 SAPK1a, SAPK, PRKM9, p54aSAPK, p54a, mitogen-activated protein kinase 9, JNK-55, JNK2β, JNK2α, JNK2BETA, JNK2B, JNK2ALPHA, JNK2A, JNK2

Anti-JNK2 Antibody (7P337) 是一种 Rabbit 抗体,靶向 JNK2。Anti-JNK2 Antibody (7P337) 可用于 FCM,ICC,IHC,IP,WB。

Anti-JNK2 Antibody (7P337)
规格价格库存数量
50 μL
¥ 1,480
5日内发货
100 μL
¥ 2,480
5日内发货
库存状态实时更新,以官网显示为准,现货产品可直接加购物车下单
大包装 & 定制
加入购物车

TargetMol的所有产品仅用作科学研究或药证申报,不能被用于人体,我们不向个人提供产品和服务。请您遵守承诺用途,不得违反法律法规规定用于任何其他用途。

实验操作小课堂
常见问题解答
查看更多

资源下载:产品操作手册

产品介绍


生物活性
产品描述
Anti-JNK2 Antibody (7P337) is a Rabbit antibody targeting JNK2. Anti-JNK2 Antibody (7P337) can be used in FCM,ICC,IHC,IP,WB.
别名
SAPK1a, SAPK, PRKM9, p54aSAPK, p54a, mitogen-activated protein kinase 9, JNK-55, JNK2β, JNK2α, JNK2BETA, JNK2B, JNK2ALPHA, JNK2A, JNK2
Ig Type
IgG
克隆号
7P337
反应种属
Human,Mouse,Rat
验证活性
1. Western blot analysis of JNK2 on SHG-44 cell lysates using anti-JNK2 antibody at 1/1,000 dilution.
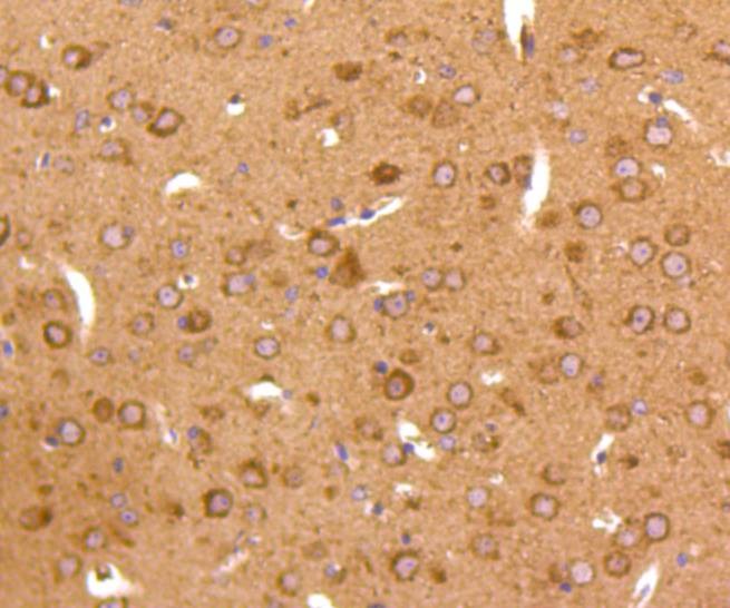
2. Immunohistochemical analysis of paraffin-embedded mouse brain tissue using anti-JNK2 antibody. Counter stained with hematoxylin.
3. ICC staining JNK2 in Hela cells (green). The nuclear counter stain is DAPI (blue). Cells were fixed in paraformaldehyde, permeabilised with 0.25% Triton X100/PBS.
4. ICC staining JNK2 in MCF-7 cells (green). The nuclear counter stain is DAPI (blue). Cells were fixed in paraformaldehyde, permeabilised with 0.25% Triton X100/PBS.
5. ICC staining JNK2 in SHG-44 cells (green). The nuclear counter stain is DAPI (blue). Cells were fixed in paraformaldehyde, permeabilised with 0.25% Triton X100/PBS.
6. Flow cytometric analysis of Hela cells with JNK2 antibody at 1/50 dilution (red) compared with an unlabelled control (cells without incubation with primary antibody; black). Alexa Fluor 488-conjugated goat anti rabbit IgG was used as the secondary antibody.
verifiedActivityverifiedActivityverifiedActivityverifiedActivityverifiedActivityverifiedActivity
应用FCMICCIHCIPWB
推荐剂量
WB: 1:1000-5000; IHC: 1:50-200; ICC: 1:50-200; FCM: 1:50-100
抗体种类
Monoclonal
宿主来源Rabbit
构建方式Recombinant Antibody
纯化方式ProA affinity purified
性状Liquid
缓冲液1*TBS (pH7.4), 1%BSA, 40%Glycerol. Preservative: 0.05% Sodium Azide.
研究背景c-Jun N-terminal kinases (JNKs) phosphorylate and augment transcriptional activity of c-Jun. JNKs originate from three genes that yield 10 isoforms through alternative mRNA splicing, including JNK1α1, JNK1β1, JNK2α1, JNK2β1, and JNK3α1, which represent the p46 isoforms, and JNK1α2, JNK1β2, JNK2α2, JNK2β2, and JNK3β2, which represent the p54 isoforms.JNKs coordinate cell responses to stress and influence regulation of cell growth and transformation. The human JNK1 (PRKM8, SAPK1, MAPK8) gene maps to chromosome 10q11.22 and shares 83% amino acid identity with JNK2. JNK1 is necessary for normal activation and differentiation of CD4 helper T (TH) cells into TH1 and TH2 effector cells. Capsaicin activates JNK1 and p38 in ras-transformed human breast epithelial cells. Nitrogen oxides (NOx) upregulate JNK1 in addition to c-Fos, c-Jun, and other signaling kinases, including MEKK1 and p38.
偶联与修饰
偶联
Unconjugated
抗原信息
免疫原
Recombinant Protein
Uniprot ID
化学信息
分子量Theoretical: 46/54 kDa.
储存&溶解度
储存方式Store at -20°C or -80°C for 12 months. Avoid repeated freeze-thaw cycles.
运输方式Shipping with blue ice.

计算器

  • 稀释 计算器
  • 配液 计算器
Related Tags: buy Anti-JNK2 Antibody (7P337) | purchase Anti-JNK2 Antibody (7P337) | Anti-JNK2 Antibody (7P337) cost | order Anti-JNK2 Antibody (7P337) | Anti-JNK2 Antibody (7P337) molecular weight