购物车
  • 全部删除
  • TargetMol
    您的购物车当前为空

Anti-ITGB4 Antibody (3G397)

Rating icon 还可以
产品编号 TMAC-02182

Anti-ITGB4 Antibody (3G397) 是一种 Rabbit 抗体,靶向 ITGB4。Anti-ITGB4 Antibody (3G397) 可用于 IHC,WB。

Anti-ITGB4 Antibody (3G397)

Anti-ITGB4 Antibody (3G397)

一键复制产品信息
Rating icon 还可以
产品编号 TMAC-02182

Anti-ITGB4 Antibody (3G397) 是一种 Rabbit 抗体,靶向 ITGB4。Anti-ITGB4 Antibody (3G397) 可用于 IHC,WB。

规格价格库存数量
50 μL
¥ 1,485
5日内发货
100 μL
¥ 2,495
5日内发货
大包装 & 定制
加入购物车
TargetMol 的所有产品仅用作科学研究或药证申报,不能被用于人体,我们不向个人提供产品和服务。请您遵守承诺用途,不得违反法律法规规定用于任何其他用途。
实验操作小课堂
常见问题解答
查看更多
联系我们获取更多批次信息
资源下载

产品介绍

生物活性
产品描述
Anti-ITGB4 Antibody (3G397) is a Rabbit antibody targeting ITGB4. Anti-ITGB4 Antibody (3G397) can be used in IHC,WB.
Ig Type
IgG
克隆号
3G397
交叉反应
Human,Mouse
验证活性
1. Western blot analysis of Integrin beta 4 on Jurkat cells lysates using anti-Integrin beta 4 antibody at 1/500 dilution. Positive control: Line 1: A431, Line 2: A549.
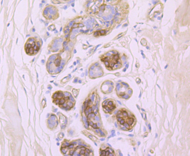
2. Immunohistochemical analysis of paraffin-embedded human breast cancer tissue using anti-Integrin beta 4 antibody. Counter stained with hematoxylin.
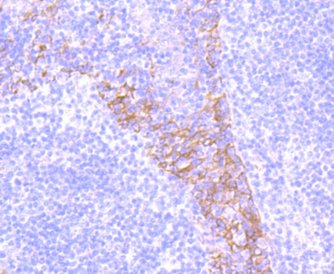
3. Immunohistochemical analysis of paraffin-embedded human tonsil tissue using anti-Integrin beta 4 antibody. Counter stained with hematoxylin.
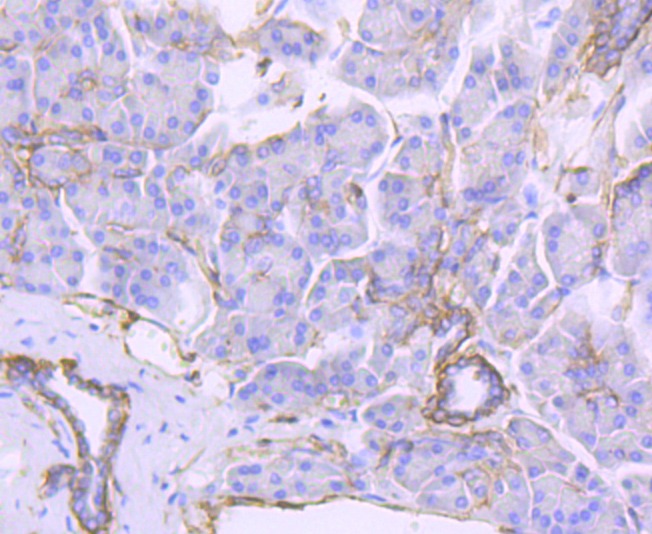
4. Immunohistochemical analysis of paraffin-embedded human pancreas tissue using anti-Integrin beta 4 antibody. Counter stained with hematoxylin.
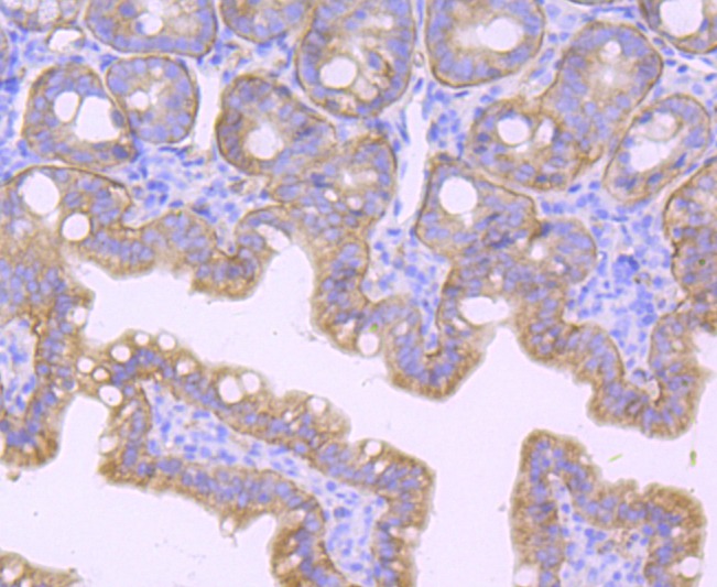
5. Immunohistochemical analysis of paraffin-embedded mouse colon tissue using anti-Integrin beta 4 antibody. Counter stained with hematoxylin.
verifiedActivityverifiedActivityverifiedActivityverifiedActivityverifiedActivity
应用IHCWB
推荐剂量
WB: 1:1000-2000; IHC: 1:50-200
抗体种类
Monoclonal
宿主来源Rabbit
构建方式Recombinant Antibody
纯化方式ProA affinity purified
性状Liquid
缓冲液1*TBS (pH7.4), 1%BSA, 40%Glycerol. Preservative: 0.05% Sodium Azide.
研究背景Integrins are heterodimers composed of noncovalently associated transmembrane a and b subunits. The 16 a and 8 b subunits heterodimerize to produce more than 20 different receptors. Most integrin receptors bind ligands that are components of the extracellular matrix, including Fibronectin, collagen and vitronectin. Certain integrins can also bind to soluble ligands, such as fibrinogen, or to counterreceptors on adjacent cells such as the intracellular adhesion molecules (ICAMs), leading to aggregation of cells. Integrin β4 (ITGB4), also known as CD104, is a 1,822 amino acid single-pass type I membrane protein belonging to the Integrin β chain family. Known to associate with Integrin α6, Integrin β4 functions as a receptor for Laminin and is predominantly expressed by epithelia. Integrin β4 exists as five alternatively spliced isoforms that are encoded by a gene located on human chromosome 17q25.1.
偶联与修饰
偶联
Unconjugated
抗原信息
免疫原
Recombinant Protein
Uniprot ID
化学信息
分子量Theoretical: 210 kDa.
存储&运输
储存方式Store at -20°C or -80°C for 12 months. Avoid repeated freeze-thaw cycles.
运输方式Shipping with blue ice.

计算器

  • 稀释 计算器

关键词

评论列表

4个月前
5.0
Rating icon 很棒

评论内容

Related Tags: buy Anti-ITGB4 Antibody (3G397) | purchase Anti-ITGB4 Antibody (3G397) | Anti-ITGB4 Antibody (3G397) cost | order Anti-ITGB4 Antibody (3G397) | Anti-ITGB4 Antibody (3G397) molecular weight