购物车
  • TargetMol
    您的购物车当前为空

Anti-IRF7 Antibody (8B964)

Synonyms: IRF7H, IRF7A, IRF-7, IRF7, IRF 7H, IRF 7A, Interferon regulatory factor 7H, Interferon regulatory factor 7
货号 TMAC-02228Cas号 一键复制产品信息纯度:
Rating icon 还可以

Anti-IRF7 Antibody (8B964) 是一种 Rabbit 抗体,靶向 IRF7。Anti-IRF7 Antibody (8B964) 可用于 FCM,ICC/IF,IHC,IP,WB。

Anti-IRF7 Antibody (8B964)

一键复制产品信息
Rating icon 还可以
货号 TMAC-02228

别名 IRF7H, IRF7A, IRF-7, IRF7, IRF 7H, IRF 7A, Interferon regulatory factor 7H, Interferon regulatory factor 7

Anti-IRF7 Antibody (8B964) 是一种 Rabbit 抗体,靶向 IRF7。Anti-IRF7 Antibody (8B964) 可用于 FCM,ICC/IF,IHC,IP,WB。

Anti-IRF7 Antibody (8B964)
规格价格库存数量
50 μL
¥ 1,480
5日内发货
100 μL
¥ 2,480
5日内发货
库存状态实时更新,以官网显示为准,现货产品可直接加购物车下单
大包装 & 定制
加入购物车

TargetMol的所有产品仅用作科学研究或药证申报,不能被用于人体,我们不向个人提供产品和服务。请您遵守承诺用途,不得违反法律法规规定用于任何其他用途。

实验操作小课堂
常见问题解答
查看更多

资源下载:产品操作手册

产品介绍


生物活性
产品描述
Anti-IRF7 Antibody (8B964) is a Rabbit antibody targeting IRF7. Anti-IRF7 Antibody (8B964) can be used in FCM,ICC/IF,IHC,IP,WB.
别名
IRF7H, IRF7A, IRF-7, IRF7, IRF 7H, IRF 7A, Interferon regulatory factor 7H, Interferon regulatory factor 7
Ig Type
IgG
克隆号
8B964
反应种属
Human,Mouse,Rat,zebrafish
验证活性
1. Western blot analysis of IRF7 on different lysates using anti-IRF7 antibody at 1/1,000 dilution. Positive control: Lane 1: Jurkat, Lane 2: Raji.
2. Western blot analysis of IRF7 on hybrid fish (crucian-carp) brain tissue lysate using anti-IRF7 antibody at 1/500 dilution.
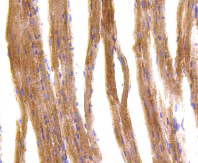
3. Immunohistochemical analysis of paraffin-embedded mouse heart tissue using anti-IRF7 antibody. Counter stained with hematoxylin.
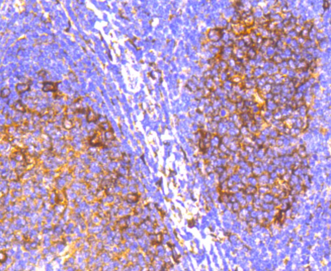
4. Immunohistochemical analysis of paraffin-embedded human tonsil tissue using anti-IRF7 antibody. Counter stained with hematoxylin.
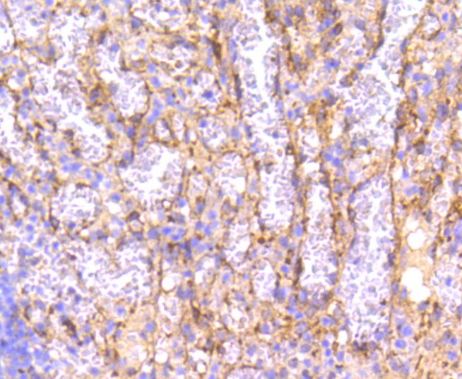
5. Immunohistochemical analysis of paraffin-embedded human spleen tissue using anti-IRF7 antibody. Counter stained with hematoxylin.
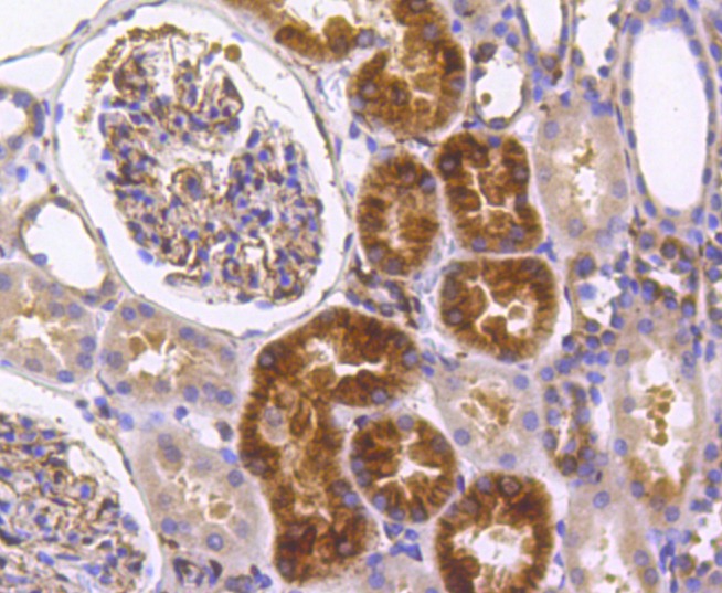
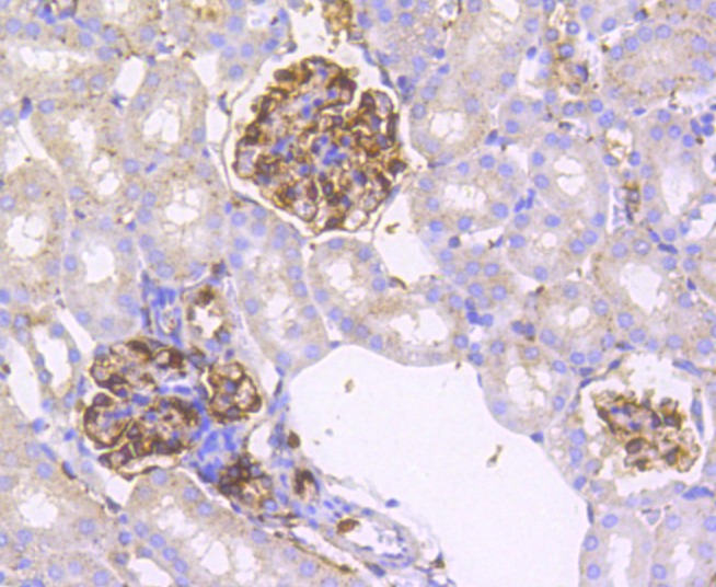
6. Immunohistochemical analysis of paraffin-embedded human kidney tissue using anti-IRF7 antibody. Counter stained with hematoxylin.
7. Immunohistochemical analysis of paraffin-embedded mouse liver tissue using anti-IRF7 antibody. Counter stained with hematoxylin.
8. Immunohistochemical analysis of paraffin-embedded mouse kidney tissue using anti-IRF7 antibody. Counter stained with hematoxylin.
9. ICC staining IRF7 in PC-12 cells (green). The nuclear counter stain is DAPI (blue). Cells were fixed in paraformaldehyde, permeabilised with 0.25% Triton X100/PBS.
10. ICC staining IRF7 in HepG2 cells (green). The nuclear counter stain is DAPI (blue). Cells were fixed in paraformaldehyde, permeabilised with 0.25% Triton X100/PBS.
11. ICC staining IRF7 in 293 cells (green). The nuclear counter stain is DAPI (blue). Cells were fixed in paraformaldehyde, permeabilised with 0.25% Triton X100/PBS.
12. Flow cytometric analysis of Jurkat cells with IRF7 antibody at 1/50 dilution (red) compared with an unlabelled control (cells without incubation with primary antibody; black). Alexa Fluor 488-conjugated goat anti rabbit IgG was used as the secondary antibody.
verifiedActivityverifiedActivityverifiedActivityverifiedActivityverifiedActivityverifiedActivityverifiedActivityverifiedActivityverifiedActivityverifiedActivityverifiedActivityverifiedActivity
应用FCMICC/IFIHCIPWB
推荐剂量
WB: 1:1000-2000; IHC: 1:50-200; ICC/IF: 1:100-500; FCM: 1:50-100
抗体种类
Monoclonal
宿主来源Rabbit
构建方式Recombinant Antibody
纯化方式ProA affinity purified
性状Liquid
缓冲液1*TBS (pH7.4), 1%BSA, 40%Glycerol. Preservative: 0.05% Sodium Azide.
研究背景Interferon regulatory factor-1 (IRF-1) and IRF-2 have been identified as novel DNA-binding factors that function as regulators of both type I interferon (interferon-α and β) and interferon-inducible genes. The two factors are structurally related, particularly in their N-terminal regions, which confer DNA binding specificity. In addition, both bind to the same sequence within the promoters of interferon-α and interferon-β genes. IRF-1 functions as an activator of interferon transcription, while IRF-2 binds to the same cis elements and represses IRF-1 action. IRF-1 and IRF-2 have been reported to act in a mutually antagonistic manner in regulating cell growth; overexpression of the repressor IRF-2 leads to cell transformation while concomitant overexpression of IRF-1 causes reversion. IRF-1 and IRF-2 are members of a larger family of DNA binding proteins that includes IRF-3, IRF-4, IRF-5, IRF-6, IRF-7 and IFN consensus sequence-binding protein (ICSBP).
偶联与修饰
偶联
Unconjugated
抗原信息
免疫原
Recombinant Protein
Uniprot ID
化学信息
分子量Theoretical: 54 kDa.
储存&溶解度
储存方式Store at -20°C or -80°C for 12 months. Avoid repeated freeze-thaw cycles.
运输方式Shipping with blue ice.

计算器

  • 稀释 计算器
  • 配液 计算器
Related Tags: buy Anti-IRF7 Antibody (8B964) | purchase Anti-IRF7 Antibody (8B964) | Anti-IRF7 Antibody (8B964) cost | order Anti-IRF7 Antibody (8B964) | Anti-IRF7 Antibody (8B964) molecular weight