购物车
  • TargetMol
    您的购物车当前为空

Anti-IRF5 Antibody (2A61)

Synonyms: IRF-5, IRF5, Interferon Regulatory Factor 5
货号 TMAC-02224Cas号 一键复制产品信息纯度:
Rating icon 还可以

Anti-IRF5 Antibody (2A61) 是一种 Rabbit 抗体,靶向 IRF5。Anti-IRF5 Antibody (2A61) 可用于 FCM,ICC/IF,IHC,IP,WB。

Anti-IRF5 Antibody (2A61)

一键复制产品信息
Rating icon 还可以
货号 TMAC-02224

别名 IRF-5, IRF5, Interferon Regulatory Factor 5

Anti-IRF5 Antibody (2A61) 是一种 Rabbit 抗体,靶向 IRF5。Anti-IRF5 Antibody (2A61) 可用于 FCM,ICC/IF,IHC,IP,WB。

Anti-IRF5 Antibody (2A61)
规格价格库存数量
50 μL
¥ 1,480
5日内发货
100 μL
¥ 2,495
5日内发货
库存状态实时更新,以官网显示为准,现货产品可直接加购物车下单
大包装 & 定制
加入购物车

TargetMol的所有产品仅用作科学研究或药证申报,不能被用于人体,我们不向个人提供产品和服务。请您遵守承诺用途,不得违反法律法规规定用于任何其他用途。

实验操作小课堂
常见问题解答
查看更多

资源下载:产品操作手册

产品介绍


生物活性
产品描述
Anti-IRF5 Antibody (2A61) is a Rabbit antibody targeting IRF5. Anti-IRF5 Antibody (2A61) can be used in FCM,ICC/IF,IHC,IP,WB.
别名
IRF-5, IRF5, Interferon Regulatory Factor 5
Ig Type
IgG
克隆号
2A61
反应种属
Human,Mouse,Rat
验证活性
1. Western blot analysis of IRF5 on THP-1 cells lysates using anti-IRF5 antibody at 1/1,000 dilution.
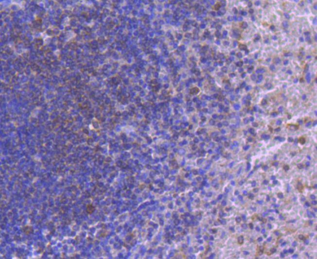
2. Immunohistochemical analysis of paraffin-embedded human spleen tissue using anti-IRF5 antibody. Counter stained with hematoxylin.
3. ICC staining IRF5 in HepG2 cells (green). The nuclear counter stain is DAPI (blue). Cells were fixed in paraformaldehyde, permeabilised with 0.25% Triton X100/PBS.
4. ICC staining IRF5 in RH-35 cells (green). The nuclear counter stain is DAPI (blue). Cells were fixed in paraformaldehyde, permeabilised with 0.25% Triton X100/PBS.
5. Flow cytometric analysis of Hela cells with IRF5 antibody at 1/50 dilution (red) compared with an unlabelled control (cells without incubation with primary antibody; black). Alexa Fluor 488-conjugated goat anti rabbit IgG was used as the secondary antibody.
verifiedActivityverifiedActivityverifiedActivityverifiedActivityverifiedActivity
应用FCMICC/IFIHCIPWB
推荐剂量
WB: 1:1000-5000; IHC: 1:50-200; ICC/IF: 1:50-200; FCM: 1:50-100
抗体种类
Monoclonal
宿主来源Rabbit
构建方式Recombinant Antibody
纯化方式ProA affinity purified
性状Liquid
缓冲液1*TBS (pH7.4), 1%BSA, 40%Glycerol. Preservative: 0.05% Sodium Azide.
研究背景Interferon regulatory factor 5 (IRF-5), belongs to the IRF family of DNA-binding factors, which includes IRF-1, IRF-2, IRF-3, IRF-4, IRF-6, IRF-7, ISGF-3γ p48 and IFN consensus sequence-binding protein (ICSBP). The IRF family regulate both interferon and interferon-inducible genes. IRF-5, like IRF-3 and IRF-7, is a direct transducer of virus-mediated signaling and plays a role in the expression of multiple cytokines/chemokines. Although IRF-5 is a direct target of p53, its cell cycle regulatory and proapoptotic effects are p53 independent.
偶联与修饰
偶联
Unconjugated
抗原信息
免疫原
Recombinant Protein
Uniprot ID
化学信息
分子量Theoretical: 56 kDa.
储存&溶解度
储存方式Store at -20°C or -80°C for 12 months. Avoid repeated freeze-thaw cycles.
运输方式Shipping with blue ice.

计算器

  • 稀释 计算器
  • 配液 计算器

关键词

Related Tags: buy Anti-IRF5 Antibody (2A61) | purchase Anti-IRF5 Antibody (2A61) | Anti-IRF5 Antibody (2A61) cost | order Anti-IRF5 Antibody (2A61) | Anti-IRF5 Antibody (2A61) molecular weight