购物车
  • TargetMol
    您的购物车当前为空

Anti-IQGAP1 Antibody (5T212)

Synonyms: SAR1, RasGAP-like with IQ motifs, Ras GTPase-activating-like protein IQGAP1, Ras GTPase activating like protein 1, p195, KIAA0051, Iqgap 1, IQGA1_HUMAN, IQ motif containing GTPase activating protein 1, HUMORFA01
货号 TMAC-02204 一键复制产品信息
Rating icon 还可以

Anti-IQGAP1 Antibody (5T212) 是一种 Rabbit 抗体,靶向 IQGAP1。Anti-IQGAP1 Antibody (5T212) 可用于 FCM,ICC,IF,IHC,WB。

Anti-IQGAP1 Antibody (5T212)

一键复制产品信息
Rating icon 还可以
货号 TMAC-02204

别名 SAR1, RasGAP-like with IQ motifs, Ras GTPase-activating-like protein IQGAP1, Ras GTPase activating like protein 1, p195, KIAA0051, Iqgap 1, IQGA1_HUMAN, IQ motif containing GTPase activating protein 1, HUMORFA01

Anti-IQGAP1 Antibody (5T212) 是一种 Rabbit 抗体,靶向 IQGAP1。Anti-IQGAP1 Antibody (5T212) 可用于 FCM,ICC,IF,IHC,WB。

Anti-IQGAP1 Antibody (5T212)
规格价格库存数量
50 μL
¥ 1,490
5日内发货
100 μL
¥ 2,495
5日内发货
库存状态实时更新,以官网显示为准,现货产品可直接加购物车下单
大包装 & 定制
加入购物车
TargetMol的所有产品仅用作科学研究或药证申报,不能被用于人体,我们不向个人提供产品和服务。请您遵守承诺用途,不得违反法律法规规定用于任何其他用途。
实验操作小课堂
常见问题解答
查看更多

资源下载:产品操作手册

产品介绍


生物活性
产品描述
Anti-IQGAP1 Antibody (5T212) is a Rabbit antibody targeting IQGAP1. Anti-IQGAP1 Antibody (5T212) can be used in FCM,ICC,IF,IHC,WB.
别名SAR1, RasGAP-like with IQ motifs, Ras GTPase-activating-like protein IQGAP1, Ras GTPase activating like protein 1, p195, KIAA0051, Iqgap 1, IQGA1_HUMAN, IQ motif containing GTPase activating protein 1, HUMORFA01
Ig Type
IgG
克隆号
5T212
反应种属
Human,Mouse
验证活性
1. Western blot analysis of IQGAP1 on different lysates using anti-IQGAP1 antibody at 1/1,000 dilution. Positive control: Lane 1: HUVEC, Lane 2: A431, Lane 3: Mouse placenta.
2. Immunohistochemical analysis of paraffin-embedded human lung cancer tissue using anti-IQGAP1 antibody. Counter stained with hematoxylin.
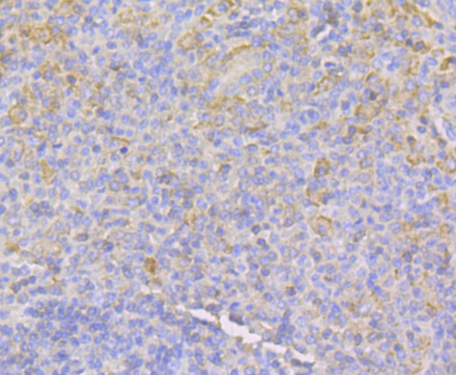
3. Immunohistochemical analysis of paraffin-embedded human spleen tissue using anti-IQGAP1 antibody. Counter stained with hematoxylin.
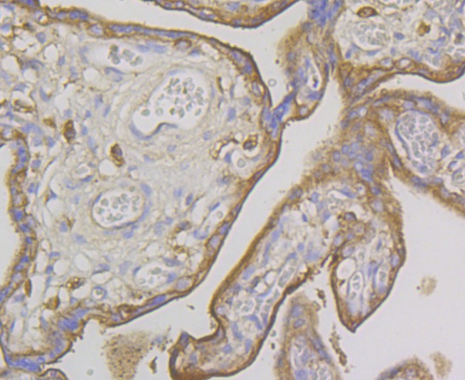
4. Immunohistochemical analysis of paraffin-embedded human placenta tissue using anti-IQGAP1 antibody. Counter stained with hematoxylin.
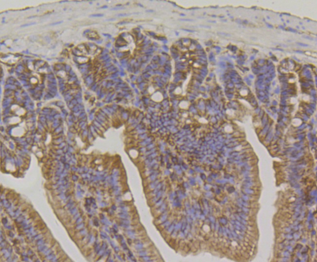
5. Immunohistochemical analysis of paraffin-embedded mouse colon tissue using anti-IQGAP1 antibody. Counter stained with hematoxylin.
6. ICC staining IQGAP1 in A431 cells (green). The nuclear counter stain is DAPI (blue). Cells were fixed in paraformaldehyde, permeabilised with 0.25% Triton X100/PBS.
7. ICC staining IQGAP1 in Hela cells (green). The nuclear counter stain is DAPI (blue). Cells were fixed in paraformaldehyde, permeabilised with 0.25% Triton X100/PBS.
8. ICC staining IQGAP1 in SiHa cells (green). The nuclear counter stain is DAPI (blue). Cells were fixed in paraformaldehyde, permeabilised with 0.25% Triton X100/PBS.
9. Flow cytometric analysis of SiHa cells with IQGAP1 antibody at 1/100 dilution (purple) compared with an unlabelled control (cells without incubation with primary antibody; yellow). Alexa Fluor 488-conjugated goat anti-rabbit IgG was used as the secondary antibody.
verifiedActivityverifiedActivityverifiedActivityverifiedActivityverifiedActivityverifiedActivityverifiedActivityverifiedActivityverifiedActivity
应用FCMICCIFIHCWB
推荐剂量
WB: 1:500-2000; IHC: 1:50-200; ICC:IF: 1:50-200; FCM: 1:50-100
抗体种类
Monoclonal
宿主来源Rabbit
构建方式Recombinant Antibody
纯化方式ProA affinity purified
性状Liquid
缓冲液1*TBS (pH7.4), 1%BSA, 40%Glycerol. Preservative: 0.05% Sodium Azide.
研究背景IQGAP1, for IQ motif containing GTPase activating protein, is a Ras GAP-related, Actin-binding protein that interacts with the small GTPases Cdc42 and Rac1. The C-terminus of IQGAP1 is essential for interacting with Cdc42 and, in addition, IQGAP1 contains a WW domain and a predicted N-terminal coiled-coil region, which may be involved in IQGAP dimerization. Expression of IQGAP1 is highest in placenta, lung and kidney, where it co-localizes with Cdc42 to the cytoskeleton and assists with Cdc42 in mediating the regulation of cell proliferation, polarity and cell morphology. IQGAP1 regulates cadherin-mediated cell adhesion via binding to E-cadherin, b-catenin and a-catenin. This association induces the accumulation of these proteins at the site of cell-cell contact. IQGAP1 is negatively regulated by calmodulin, which binds to IQGAP1 in a calcium-dependent manner and disrupts IQGAP1 from associating with Cdc42.
偶联与修饰
偶联
Unconjugated
抗原信息
免疫原
Recombinant Protein: N-terminal human IQGAP1
抗原种属
human
Uniprot ID
化学信息
分子量Theoretical: 189 kDa.
储存&溶解度
储存方式Store at -20°C or -80°C for 12 months. Avoid repeated freeze-thaw cycles.
运输方式Shipping with blue ice.

计算器

  • 稀释 计算器
  • 配液 计算器
Related Tags: buy Anti-IQGAP1 Antibody (5T212) | purchase Anti-IQGAP1 Antibody (5T212) | Anti-IQGAP1 Antibody (5T212) cost | order Anti-IQGAP1 Antibody (5T212) | Anti-IQGAP1 Antibody (5T212) molecular weight