购物车
  • TargetMol
    您的购物车当前为空

Anti-Involucrin Antibody (8Q256)

Synonyms: IVL, Involucrin, INVO_HUMAN
货号 TMAC-02195 一键复制产品信息
Rating icon 还可以

Anti-Involucrin Antibody (8Q256) 是一种 Rabbit 抗体,靶向 Involucrin。Anti-Involucrin Antibody (8Q256) 可用于 FCM,IHC,WB。

Anti-Involucrin Antibody (8Q256)

一键复制产品信息
Rating icon 还可以
货号 TMAC-02195

别名 IVL, Involucrin, INVO_HUMAN

Anti-Involucrin Antibody (8Q256) 是一种 Rabbit 抗体,靶向 Involucrin。Anti-Involucrin Antibody (8Q256) 可用于 FCM,IHC,WB。

Anti-Involucrin Antibody (8Q256)
规格价格库存数量
50 μL
¥ 1,490
5日内发货
100 μL
¥ 2,495
5日内发货
库存状态实时更新,以官网显示为准,现货产品可直接加购物车下单
大包装 & 定制
加入购物车

TargetMol的所有产品仅用作科学研究或药证申报,不能被用于人体,我们不向个人提供产品和服务。请您遵守承诺用途,不得违反法律法规规定用于任何其他用途。

实验操作小课堂
常见问题解答
查看更多

资源下载:产品操作手册

产品介绍


生物活性
产品描述
Anti-Involucrin Antibody (8Q256) is a Rabbit antibody targeting Involucrin. Anti-Involucrin Antibody (8Q256) can be used in FCM,IHC,WB.
别名
IVL, Involucrin, INVO_HUMAN
Ig Type
IgG
克隆号
8Q256
反应种属
Human,Rat
验证活性
1. Western blot analysis of Involucrin on human skin tissue lysate using Involucrin antibody at 1/500 dilution.
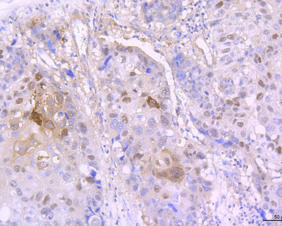
2. Immunohistochemical analysis of paraffin-embedded human lung cancer tissue using anti-Involucrin antibody. Counter stained with hematoxylin.
3. Flow cytometric analysis of A431 cells with Involucrin antibody at 1/50 dilution (red) compared with an unlabelled control (cells without incubation with primary antibody; black). Alexa Fluor 488-conjugated goat anti-rabbit IgG was used as the secondary antibody.
verifiedActivityverifiedActivityverifiedActivity
应用FCMIHCWB
推荐剂量
WB: 1:500-2000; IHC: 1:50-200; FCM: 1:50-200
抗体种类
Monoclonal
宿主来源Rabbit
构建方式Recombinant Antibody
纯化方式ProA affinity purified
性状Liquid
缓冲液1*TBS (pH7.4), 1%BSA, 40%Glycerol. Preservative: 0.05% Sodium Azide.
研究背景Involucrin is a precursor protein of the keratinocyte cornified envelope, which is formed beneath the inner surface of the cell membrane during terminal differentiation. During keratinocyte terminal differentiation, glutamine residues of involucrin become covalently cross-linked to other envelope precursors via covalent epsilon-(gamma-glutamyl) lysine bonds. Moreover, its large size allows involucrin to cross-link molecules that are separated by substantial distances in the cornified envelope. These properties allow a single involucrin molecule to form multiple cross-links, in multiple spatial planes, with other envelope precursors.
偶联与修饰
偶联
Unconjugated
抗原信息
免疫原
Recombinant Protein
Uniprot ID
化学信息
分子量Theoretical: 120 kDa.
储存&溶解度
储存方式Store at -20°C or -80°C for 12 months. Avoid repeated freeze-thaw cycles.
运输方式Shipping with blue ice.

计算器

  • 稀释 计算器
  • 配液 计算器
Related Tags: buy Anti-Involucrin Antibody (8Q256) | purchase Anti-Involucrin Antibody (8Q256) | Anti-Involucrin Antibody (8Q256) cost | order Anti-Involucrin Antibody (8Q256) | Anti-Involucrin Antibody (8Q256) molecular weight