购物车
  • TargetMol
    您的购物车当前为空

Anti-Integrin alpha 4 Antibody (6M673)

Synonyms: VLA-4 subunit alpha, VLA4, VLA 4 subunit alpha, Very late activation protein 4 receptor, OTTHUMP00000205320, MGC90518, ITGA4, ITA4_HUMAN, Integrin α4, Integrin α 4, Integrin alpha-IV, Integrin alpha-4, Integrin alpha4, Integrin alpha IV, Integrin alpha 4 subunit, Integrin alpha 4, Integrin a4, Integrin a 4, Integrin, IA4, CD49d, CD49 antigen-like family member D, CD49 antigen like family member D, Antigen CD49D, alpha 4 subunit of VLA 4 receptor), alpha 4 subunit of VLA 4 receptor, alpha 4 subunit, alpha 4 (antigen CD49D, 269C wild type
货号 TMAC-02173 一键复制产品信息
Rating icon 还可以

Anti-Integrin alpha 4 Antibody (6M673) 是一种 Rabbit 抗体,靶向 Integrin alpha 4。Anti-Integrin alpha 4 Antibody (6M673) 可用于 FCM,IHC,WB。

Anti-Integrin alpha 4 Antibody (6M673)

一键复制产品信息
Rating icon 还可以
货号 TMAC-02173

别名 VLA-4 subunit alpha, VLA4, VLA 4 subunit alpha, Very late activation protein 4 receptor, OTTHUMP00000205320, MGC90518, ITGA4, ITA4_HUMAN, Integrin α4, Integrin α 4, Integrin alpha-IV, Integrin alpha-4, Integrin alpha4, Integrin alpha IV, Integrin alpha 4 subunit, Integrin alpha 4, Integrin a4, Integrin a 4, Integrin, IA4, CD49d, CD49 antigen-like family member D, CD49 antigen like family member D, Antigen CD49D, alpha 4 subunit of VLA 4 receptor), alpha 4 subunit of VLA 4 receptor, alpha 4 subunit, alpha 4 (antigen CD49D, 269C wild type

Anti-Integrin alpha 4 Antibody (6M673) 是一种 Rabbit 抗体,靶向 Integrin alpha 4。Anti-Integrin alpha 4 Antibody (6M673) 可用于 FCM,IHC,WB。

Anti-Integrin alpha 4 Antibody (6M673)
规格价格库存数量
50 μL
¥ 1,480
5日内发货
100 μL
¥ 2,495
5日内发货
库存状态实时更新,以官网显示为准,现货产品可直接加购物车下单
大包装 & 定制
加入购物车
TargetMol的所有产品仅用作科学研究或药证申报,不能被用于人体,我们不向个人提供产品和服务。请您遵守承诺用途,不得违反法律法规规定用于任何其他用途。
实验操作小课堂
常见问题解答
查看更多

资源下载:产品操作手册

产品介绍


生物活性
产品描述
Anti-Integrin alpha 4 Antibody (6M673) is a Rabbit antibody targeting Integrin alpha 4. Anti-Integrin alpha 4 Antibody (6M673) can be used in FCM,IHC,WB.
别名VLA-4 subunit alpha, VLA4, VLA 4 subunit alpha, Very late activation protein 4 receptor, OTTHUMP00000205320, MGC90518, ITGA4, ITA4_HUMAN, Integrin α4, Integrin α 4, Integrin alpha-IV, Integrin alpha-4, Integrin alpha4, Integrin alpha IV, Integrin alpha 4 subunit, Integrin alpha 4, Integrin a4, Integrin a 4, Integrin, IA4, CD49d, CD49 antigen-like family member D, CD49 antigen like family member D, Antigen CD49D, alpha 4 subunit of VLA 4 receptor), alpha 4 subunit of VLA 4 receptor, alpha 4 subunit, alpha 4 (antigen CD49D, 269C wild type
Ig Type
IgG
克隆号
6M673
反应种属
Human
验证活性
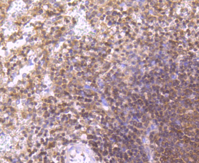
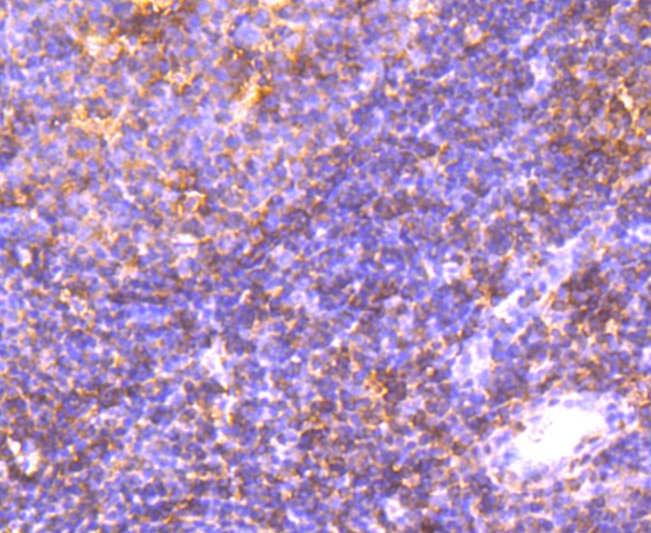
1. Immunohistochemical analysis of paraffin-embedded human tonsil tissue using anti-Integrin alpha 4 antibody. Counter stained with hematoxylin.
2. Immunohistochemical analysis of paraffin-embedded human spleen tissue using anti-Integrin alpha 4 antibody. Counter stained with hematoxylin.
3. Flow cytometric analysis of Jurkat cells with Integrin alpha 4 antibody at 1/100 dilution (red) compared with an unlabelled control (cells without incubation with primary antibody; black). Alexa Fluor 488-conjugated Goat anti mouse IgG was used as the secondary antibody.
verifiedActivityverifiedActivityverifiedActivity
应用FCMIHCWB
推荐剂量
WB: 1:500-1000; IHC: 1:50-200; FCM: 1:10-50
抗体种类
Monoclonal
宿主来源Rabbit
构建方式Recombinant Antibody
纯化方式ProA affinity purified
性状Liquid
缓冲液1*TBS (pH7.4), 1%BSA, 40%Glycerol. Preservative: 0.05% Sodium Azide.
研究背景Integrins are heterodimers composed of noncovalently associated transmembrane α and β subunits. The 16 α and 8 β subunits heterodimerize to produce more than 20 different receptors. Most integrin receptors bind ligands that are components of the extracellular matrix, including fibronectin, collagen and vitronectin. Certain integrins can also bind to soluble ligands such as fibrinogen, or to counterreceptors on adjacent cells such as the intracellular adhesion molecules (ICAMs), leading to aggregation of cells. Ligands serve to cross-link or cluster integrins by binding to adjacent integrin receptors; both receptor clustering and ligand occupancy are necessary for the activation of integrin-mediated responses. In addition to mediating cell adhesion and cytoskeletal organization, integrins function as signaling receptors. Signals transduced by integrins play a role in many biological processes, including cell growth, differentiation, migration and apoptosis.
偶联与修饰
偶联
Unconjugated
抗原信息
免疫原
Recombinant Protein
化学信息
分子量Theoretical: 150 kDa.
储存&溶解度
储存方式Store at -20°C or -80°C for 12 months. Avoid repeated freeze-thaw cycles.
运输方式Shipping with blue ice.

计算器

  • 稀释 计算器
  • 配液 计算器
Related Tags: buy Anti-Integrin alpha 4 Antibody (6M673) | purchase Anti-Integrin alpha 4 Antibody (6M673) | Anti-Integrin alpha 4 Antibody (6M673) cost | order Anti-Integrin alpha 4 Antibody (6M673) | Anti-Integrin alpha 4 Antibody (6M673) molecular weight