购物车
  • TargetMol
    您的购物车当前为空

Anti-INPP5D Antibody (9H177)

Synonyms: SIP-145, SHIP-1, SHIP1, SHIP, SH2 domain-containing inositol phosphatase 1, SH2 domain-containing inositol 5'-phosphatase 1, Phosphatidylinositol 3,4,5-trisphosphate 5-phosphatase 1, p150Ship, Inositol polyphosphate-5-phosphatase of 145 kDa, hp51CN, EC 3.1.3.86
货号 TMAC-03740 一键复制产品信息
Rating icon 还可以

Anti-INPP5D Antibody (9H177) 是一种 Rabbit 抗体,靶向 INPP5D。Anti-INPP5D Antibody (9H177) 可用于 FCM,IHC,IP,WB。

Anti-INPP5D Antibody (9H177)

一键复制产品信息
Rating icon 还可以
货号 TMAC-03740

别名 SIP-145, SHIP-1, SHIP1, SHIP, SH2 domain-containing inositol phosphatase 1, SH2 domain-containing inositol 5'-phosphatase 1, Phosphatidylinositol 3,4,5-trisphosphate 5-phosphatase 1, p150Ship, Inositol polyphosphate-5-phosphatase of 145 kDa, hp51CN, EC 3.1.3.86

Anti-INPP5D Antibody (9H177) 是一种 Rabbit 抗体,靶向 INPP5D。Anti-INPP5D Antibody (9H177) 可用于 FCM,IHC,IP,WB。

Anti-INPP5D Antibody (9H177)
规格价格库存数量
50 μL
¥ 1,490
5日内发货
100 μL
¥ 2,485
5日内发货
库存状态实时更新,以官网显示为准,现货产品可直接加购物车下单
大包装 & 定制
加入购物车
TargetMol的所有产品仅用作科学研究或药证申报,不能被用于人体,我们不向个人提供产品和服务。请您遵守承诺用途,不得违反法律法规规定用于任何其他用途。
实验操作小课堂
常见问题解答
查看更多

资源下载:产品操作手册

产品介绍


生物活性
产品描述
Anti-INPP5D Antibody (9H177) is a Rabbit antibody targeting INPP5D. Anti-INPP5D Antibody (9H177) can be used in FCM,IHC,IP,WB.
别名SIP-145, SHIP-1, SHIP1, SHIP, SH2 domain-containing inositol phosphatase 1, SH2 domain-containing inositol 5'-phosphatase 1, Phosphatidylinositol 3,4,5-trisphosphate 5-phosphatase 1, p150Ship, Inositol polyphosphate-5-phosphatase of 145 kDa, hp51CN, EC 3.1.3.86
Ig Type
IgG
克隆号
9H177
反应种属
Human
验证活性
1. Western blot analysis of SHIP on different lysates using anti-SHIP antibody at 1/1,000 dilution. Positive control: Lane 1: Daudi, Lane 2: THP-1.
2. Immunohistochemical analysis of paraffin-embedded human tonsil tissue using anti-SHIP antibody. Counter stained with hematoxylin.
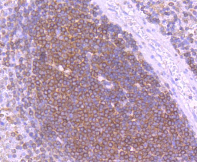
3. Immunohistochemical analysis of paraffin-embedded human spleen tissue using anti-SHIP antibody. Counter stained with hematoxylin.
4. Flow cytometric analysis of Raji cells with SHIP antibody at 1/50 dilution (red) compared with an unlabelled control (cells without incubation with primary antibody; black). Alexa Fluor 488-conjugated goat anti rabbit IgG was used as the secondary antibody.
verifiedActivityverifiedActivityverifiedActivityverifiedActivity
应用FCMIHCIPWB
推荐剂量
WB: 1:1000; IHC: 1:50-200; FCM: 1:50-100
抗体种类
Monoclonal
宿主来源Rabbit
构建方式Recombinant Antibody
纯化方式ProA affinity purified
性状Liquid
缓冲液1*TBS (pH7.4), 1%BSA, 40%Glycerol. Preservative: 0.05% Sodium Azide.
研究背景The major translational product of the v-Fms oncogene, originally isolated from the McDonough strain of feline sarcoma virus, has been identified as a glycoprotein with intrinsic tyrosine kinase activity. The v-Fms human cellular homolog, c-Fms, has been molecularly cloned and mapped to band q34 on chromosome 5, and identified as the receptor for hematopoietic ligand, CSF-1. Ligand-induced activation of the intrinsic CSF-1R protein tyrosine kinase triggers its interaction with cytoplasmic effector molecules. One such effector molecule, SHIP-1 p145 (SH2-containing-inositol phosphatase), associates with activated Fms. SHIP-1 contains two phosphotyrosine-binding domains (PTB), a unique amino terminal SH2 domain, a proline-rich region, and two highly conserved motifs found among inositol phosphate 5-phosphatases. SHIP-1 displays both phosphatidylinositol 3,4,5-triphosphate and inositol 1,3,4,5-tetrakisphosphate polyphosphate 5-phosphatase activity. Evidence suggests that SHIP-1 may modulate Ras signaling in addition to inositol signaling pathways.
偶联与修饰
偶联
Unconjugated
抗原信息
免疫原
Recombinant Protein
Uniprot ID
化学信息
分子量Theoretical: 133/109 kDa.
储存&溶解度
储存方式Store at -20°C or -80°C for 12 months. Avoid repeated freeze-thaw cycles.
运输方式Shipping with blue ice.

计算器

  • 稀释 计算器
  • 配液 计算器
Related Tags: buy Anti-INPP5D Antibody (9H177) | purchase Anti-INPP5D Antibody (9H177) | Anti-INPP5D Antibody (9H177) cost | order Anti-INPP5D Antibody (9H177) | Anti-INPP5D Antibody (9H177) molecular weight