购物车
  • TargetMol
    您的购物车当前为空

Anti-INCENP Antibody (3Z349)

Synonyms: Inner centromere protein INCENP, Inner centromere protein antigens 135kD 155kD, Inner centromere protein antigens 135/155kDa, Inner centromere protein, INCENP, INCE_HUMAN, Chromosomal passenger protein, binds and activates aurora B and C in vivo and in vitro
货号 TMAC-02158 一键复制产品信息
Rating icon 还可以

Anti-INCENP Antibody (3Z349) 是一种 Mouse 抗体,靶向 INCENP。Anti-INCENP Antibody (3Z349) 可用于 FCM,ICC,IHC,WB。

Anti-INCENP Antibody (3Z349)

一键复制产品信息
Rating icon 还可以
货号 TMAC-02158

别名 Inner centromere protein INCENP, Inner centromere protein antigens 135kD 155kD, Inner centromere protein antigens 135/155kDa, Inner centromere protein, INCENP, INCE_HUMAN, Chromosomal passenger protein, binds and activates aurora B and C in vivo and in vitro

Anti-INCENP Antibody (3Z349) 是一种 Mouse 抗体,靶向 INCENP。Anti-INCENP Antibody (3Z349) 可用于 FCM,ICC,IHC,WB。

Anti-INCENP Antibody (3Z349)
规格价格库存数量
50 μL
¥ 1,980
5日内发货
100 μL
¥ 2,980
5日内发货
库存状态实时更新,以官网显示为准,现货产品可直接加购物车下单
大包装 & 定制
加入购物车
TargetMol的所有产品仅用作科学研究或药证申报,不能被用于人体,我们不向个人提供产品和服务。请您遵守承诺用途,不得违反法律法规规定用于任何其他用途。
实验操作小课堂
常见问题解答
查看更多

资源下载:产品操作手册

产品介绍


生物活性
产品描述
Anti-INCENP Antibody (3Z349) is a Mouse antibody targeting INCENP. Anti-INCENP Antibody (3Z349) can be used in FCM,ICC,IHC,WB.
别名Inner centromere protein INCENP, Inner centromere protein antigens 135kD 155kD, Inner centromere protein antigens 135/155kDa, Inner centromere protein, INCENP, INCE_HUMAN, Chromosomal passenger protein, binds and activates aurora B and C in vivo and in vitro
克隆号
3Z349
反应种属
Human
验证活性
1. Western blot analysis of INCENP on human INCENP recombinant protein using anti-INCENP antibody at 1/1,000 dilution.
2. Western blot analysis of INCENP on HEK293 (1) and INCENP-hIgGFc transfected HEK293 (2) cell lysate using anti-INCENP antibody at 1/1,000 dilution.
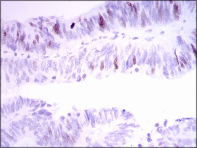
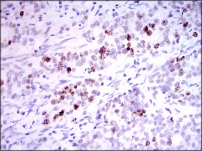
3. Immunohistochemical analysis of paraffin-embedded human cervical cancer tissue using anti-INCENP antibody. Counter stained with hematoxylin.
4. Immunohistochemical analysis of paraffin-embedded human rectum cancer tissue using anti-INCENP antibody. Counter stained with hematoxylin.
5. ICC staining INCENP (green) in HepG2 cells. The nuclear counter stain is DAPI (blue). Cells were fixed in paraformaldehyde, permeabilised with 0.25% Triton X100/PBS.
6. Flow cytometric analysis of Jurkat cells with INCENP antibody at 1/100 dilution (green) compared with an unlabelled control (cells without incubation with primary antibody; red).
verifiedActivityverifiedActivityverifiedActivityverifiedActivityverifiedActivityverifiedActivity
应用FCMICCIHCWB
推荐剂量
WB: 1:500-1000; IHC: 1:50-200; ICC: 1:100-500; FCM: 1:100-200
抗体种类
Monoclonal
宿主来源Mouse
构建方式Hybridoma Monoclonal Antibody
纯化方式ProA affinity purified
性状Liquid
缓冲液1*TBS (pH7.4), 1%BSA, Preservative: 0.05% Sodium Azide.
研究背景A replicated chromosome includes two kinetochores that control chromosome segregation during mitosis. The centromere proteins CENP-A, CENP-B, CENP-C, CENP-E, CENP-F (also designated mitosin), CENP-H and INCENP are kinetochore proteins that are involved in mitotic events. The centromere proteins are expressed at different levels throughout the cell cycle and are involved in the formation of the centromere and the organization and function of the kinetochore. INCENP, which also is designated inner centromere protein, is a chromosomal passenger protein that is crucial for chromosome segregation. During mitosis it is also required for cytokinesis onset. This protein, which can form a homodimer or a heterodimer, binds directly to microtubules and interacts with AURKB, AURKC, CBX3 and β Tubulin. This nuclear protein localizes to the mitotic spindle, methaphase chromosomes and during anaphase, to the equatorial cortex.
偶联与修饰
偶联
Unconjugated
抗原信息
免疫原
Recombinant Protein
Uniprot ID
化学信息
分子量Theoretical: 105 kDa.
储存&溶解度
储存方式Store at -20°C or -80°C for 12 months. Avoid repeated freeze-thaw cycles.
运输方式Shipping with blue ice.

计算器

  • 稀释 计算器
  • 配液 计算器
Related Tags: buy Anti-INCENP Antibody (3Z349) | purchase Anti-INCENP Antibody (3Z349) | Anti-INCENP Antibody (3Z349) cost | order Anti-INCENP Antibody (3Z349) | Anti-INCENP Antibody (3Z349) molecular weight