购物车
  • TargetMol
    您的购物车当前为空

Anti-IMPDH2 Antibody (7R923)

Synonyms: Inosine-5'-monophosphate dehydrogenase type II (IMP dehydrogenase II, Inosine-5'-monophosphate dehydrogenase 2, IMPDH-2, IMPDH2, IMPDH 2, IMPD-2, IMPD 2, IMP dehydrogenase 2
货号 TMAC-02156 一键复制产品信息
Rating icon 还可以

Anti-IMPDH2 Antibody (7R923) 是一种 Rabbit 抗体,靶向 IMPDH2。Anti-IMPDH2 Antibody (7R923) 可用于 FCM,ICC,IF,IHC,IP,WB。

Anti-IMPDH2 Antibody (7R923)

一键复制产品信息
Rating icon 还可以
货号 TMAC-02156

别名 Inosine-5'-monophosphate dehydrogenase type II (IMP dehydrogenase II, Inosine-5'-monophosphate dehydrogenase 2, IMPDH-2, IMPDH2, IMPDH 2, IMPD-2, IMPD 2, IMP dehydrogenase 2

Anti-IMPDH2 Antibody (7R923) 是一种 Rabbit 抗体,靶向 IMPDH2。Anti-IMPDH2 Antibody (7R923) 可用于 FCM,ICC,IF,IHC,IP,WB。

Anti-IMPDH2 Antibody (7R923)
规格价格库存数量
50 μL
¥ 1,480
5日内发货
100 μL
¥ 2,485
5日内发货
库存状态实时更新,以官网显示为准,现货产品可直接加购物车下单
大包装 & 定制
加入购物车
TargetMol的所有产品仅用作科学研究或药证申报,不能被用于人体,我们不向个人提供产品和服务。请您遵守承诺用途,不得违反法律法规规定用于任何其他用途。
实验操作小课堂
常见问题解答
查看更多

资源下载:产品操作手册

产品介绍


生物活性
产品描述
Anti-IMPDH2 Antibody (7R923) is a Rabbit antibody targeting IMPDH2. Anti-IMPDH2 Antibody (7R923) can be used in FCM,ICC,IF,IHC,IP,WB.
别名Inosine-5'-monophosphate dehydrogenase type II (IMP dehydrogenase II, Inosine-5'-monophosphate dehydrogenase 2, IMPDH-2, IMPDH2, IMPDH 2, IMPD-2, IMPD 2, IMP dehydrogenase 2
Ig Type
IgG
克隆号
7R923
反应种属
Human,Mouse,Rat
验证活性
1. Western blot analysis of IMPDH2 on Daudi cell lysate using anti-IMPDH2 antibody at 1/2,000 dilution.
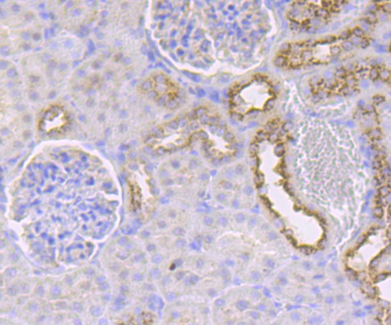
2. Immunohistochemical analysis of paraffin-embedded rat kidney tissue using anti-IMPDH2 antibody. Counter stained with hematoxylin.
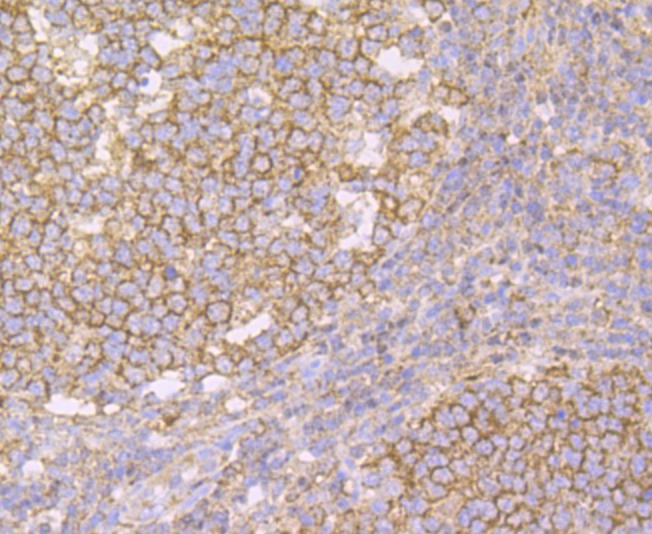
3. Immunohistochemical analysis of paraffin-embedded human tonsil tissue using anti-IMPDH2 antibody. Counter stained with hematoxylin.
4. Immunohistochemical analysis of paraffin-embedded human thyroid gland tissue using anti-IMPDH2 antibody. Counter stained with hematoxylin.
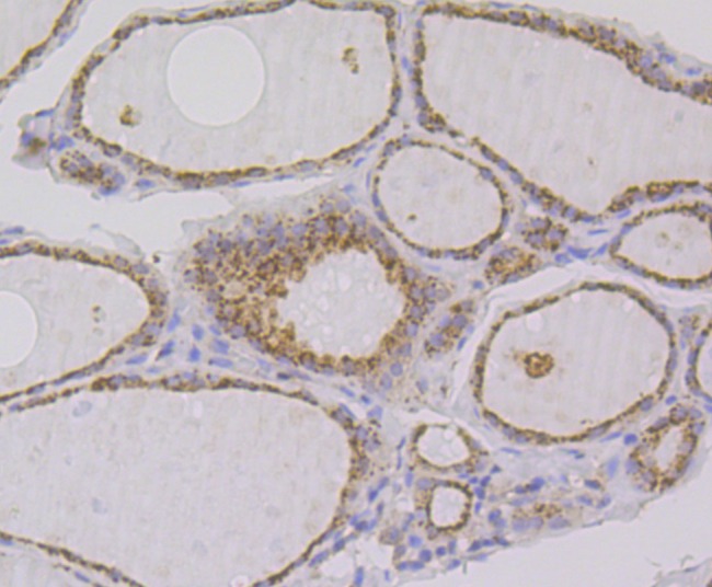
5. Immunohistochemical analysis of paraffin-embedded mouse testis tissue using anti-IMPDH2 antibody. Counter stained with hematoxylin.
6. ICC staining IMPDH2 in A431 cells (green). The nuclear counter stain is DAPI (blue). Cells were fixed in paraformaldehyde, permeabilised with 0.25% Triton X100/PBS.
7. ICC staining IMPDH2 in LOVO cells (green). The nuclear counter stain is DAPI (blue). Cells were fixed in paraformaldehyde, permeabilised with 0.25% Triton X100/PBS.
8. ICC staining IMPDH2 in PC-3M cells (green). The nuclear counter stain is DAPI (blue). Cells were fixed in paraformaldehyde, permeabilised with 0.25% Triton X100/PBS.
9. Flow cytometric analysis of Daudi cells with IMPDH2 antibody at 1/100 dilution (purple) compared with an unlabelled control (cells without incubation with primary antibody; yellow). Alexa Fluor 488-conjugated goat anti-rabbit IgG was used as the secondary antibody.
verifiedActivityverifiedActivityverifiedActivityverifiedActivityverifiedActivityverifiedActivityverifiedActivityverifiedActivityverifiedActivity
应用FCMICCIFIHCIPWB
推荐剂量
WB: 1:500-2000; IHC: 1:50-200; ICC:IF: 1:50-200; IP: 1:10-50; FCM: 1:10-50
抗体种类
Monoclonal
宿主来源Rabbit
构建方式Recombinant Antibody
纯化方式ProA affinity purified
性状Liquid
缓冲液1*TBS (pH7.4), 1%BSA, 40%Glycerol. Preservative: 0.05% Sodium Azide.
研究背景Catalyzes the conversion of inosine 5'-phosphate (IMP) to xanthosine 5'-phosphate (XMP), the first committed and rate-limiting step in the de novo synthesis of guanine nucleotides, and therefore plays an important role in the regulation of cell growth. Could also have a single-stranded nucleic acid-binding activity and could play a role in RNA and/or DNA metabolism. It may also have a role in the development of malignancy and the growth progression of some tumors.
偶联与修饰
偶联
Unconjugated
抗原信息
免疫原
Recombinant Protein: within C-terminal human IMPDH2
抗原种属
human
Uniprot ID
化学信息
分子量Theoretical: 56 kDa.
储存&溶解度
储存方式Store at -20°C or -80°C for 12 months. Avoid repeated freeze-thaw cycles.
运输方式Shipping with blue ice.

计算器

  • 稀释 计算器
  • 配液 计算器

关键词

Related Tags: buy Anti-IMPDH2 Antibody (7R923) | purchase Anti-IMPDH2 Antibody (7R923) | Anti-IMPDH2 Antibody (7R923) cost | order Anti-IMPDH2 Antibody (7R923) | Anti-IMPDH2 Antibody (7R923) molecular weight