购物车
  • TargetMol
    您的购物车当前为空

Anti-ILF3 Antibody (8T791)

Synonyms: Translational control protein 80, TCP80, Nuclear factor of activated T-cells 90 kDa, Nuclear factor associated with dsRNA, NF-AT-90, NFAR, MPP4, M-phase phosphoprotein 4, Interleukin enhancer-binding factor 3, ILF 3, DRBP76, DRBF MPHOSPH4 NF90, Double-stranded RNA-binding protein 76
货号 TMAC-02153 一键复制产品信息
Rating icon 还可以

Anti-ILF3 Antibody (8T791) 是一种 Rabbit 抗体,靶向 ILF3。Anti-ILF3 Antibody (8T791) 可用于 FCM,ICC,IF,IHC,IP,WB。

Anti-ILF3 Antibody (8T791)

一键复制产品信息
Rating icon 还可以
货号 TMAC-02153

别名 Translational control protein 80, TCP80, Nuclear factor of activated T-cells 90 kDa, Nuclear factor associated with dsRNA, NF-AT-90, NFAR, MPP4, M-phase phosphoprotein 4, Interleukin enhancer-binding factor 3, ILF 3, DRBP76, DRBF MPHOSPH4 NF90, Double-stranded RNA-binding protein 76

Anti-ILF3 Antibody (8T791) 是一种 Rabbit 抗体,靶向 ILF3。Anti-ILF3 Antibody (8T791) 可用于 FCM,ICC,IF,IHC,IP,WB。

Anti-ILF3 Antibody (8T791)
规格价格库存数量
50 μL
¥ 1,495
5日内发货
100 μL
¥ 2,480
5日内发货
库存状态实时更新,以官网显示为准,现货产品可直接加购物车下单
大包装 & 定制
加入购物车

TargetMol的所有产品仅用作科学研究或药证申报,不能被用于人体,我们不向个人提供产品和服务。请您遵守承诺用途,不得违反法律法规规定用于任何其他用途。

实验操作小课堂
常见问题解答
查看更多

资源下载:产品操作手册

产品介绍


生物活性
产品描述
Anti-ILF3 Antibody (8T791) is a Rabbit antibody targeting ILF3. Anti-ILF3 Antibody (8T791) can be used in FCM,ICC,IF,IHC,IP,WB.
别名
Translational control protein 80, TCP80, Nuclear factor of activated T-cells 90 kDa, Nuclear factor associated with dsRNA, NF-AT-90, NFAR, MPP4, M-phase phosphoprotein 4, Interleukin enhancer-binding factor 3, ILF 3, DRBP76, DRBF MPHOSPH4 NF90, Double-stranded RNA-binding protein 76
Ig Type
IgG
克隆号
8T791
反应种属
Human,Mouse,Rat
验证活性
1. Western blot analysis of ILF3 on rat heart tissue (1) and 293 cell (2) lysate using anti-ILF3 antibody at 1/1,000 dilution.
2. Immunohistochemical analysis of paraffin-embedded human tonsil tissue using anti-ILF3 antibody. Counter stained with hematoxylin.
3. Immunohistochemical analysis of paraffin-embedded human colon tissue using anti-ILF3 antibody. Counter stained with hematoxylin.
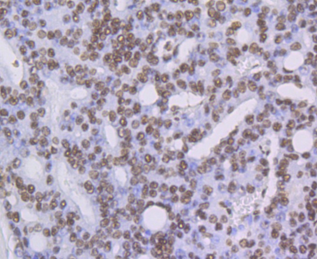
4. Immunohistochemical analysis of paraffin-embedded human prostate cancer tissue using anti-ILF3 antibody. Counter stained with hematoxylin.
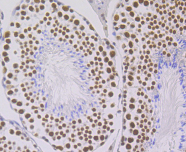
5. Immunohistochemical analysis of paraffin-embedded mouse testis tissue using anti-ILF3 antibody. Counter stained with hematoxylin.
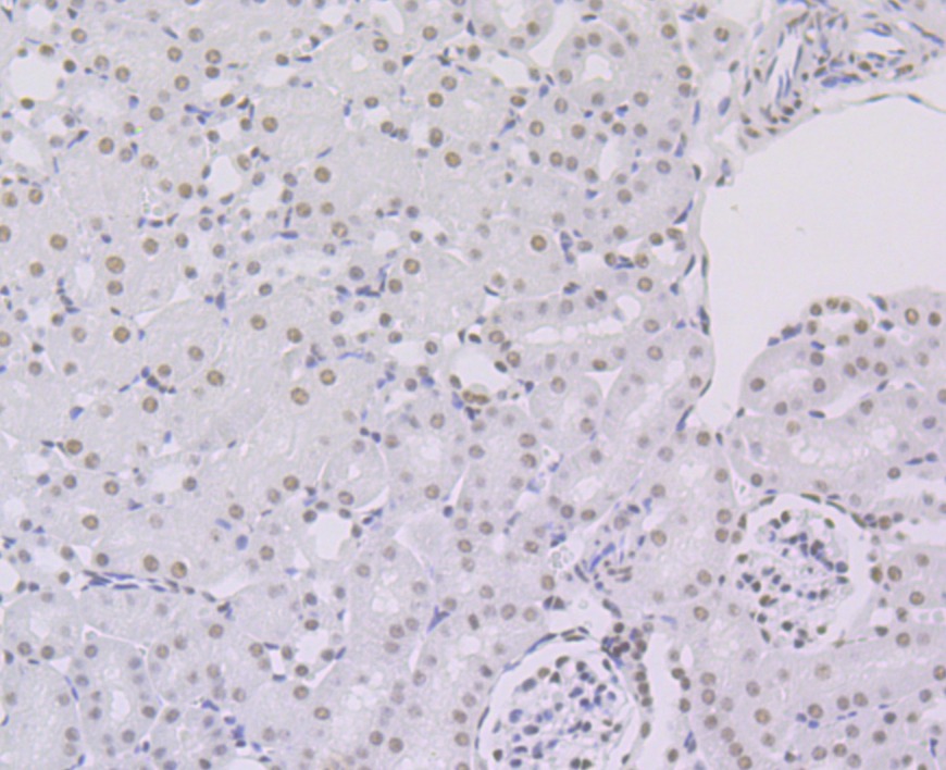
6. Immunohistochemical analysis of paraffin-embedded mouse kidney tissue using anti-ILF3 antibody. Counter stained with hematoxylin.
7. ICC staining ILF3 in A431 cells (green). The nuclear counter stain is DAPI (blue). Cells were fixed in paraformaldehyde, permeabilised with 0.25% Triton X100/PBS.
8. ICC staining ILF3 in SH-SY-5Y cells (green). The nuclear counter stain is DAPI (blue). Cells were fixed in paraformaldehyde, permeabilised with 0.25% Triton X100/PBS.
9. ICC staining ILF3 in SiHa cells (green). The nuclear counter stain is DAPI (blue). Cells were fixed in paraformaldehyde, permeabilised with 0.25% Triton X100/PBS.
10. Flow cytometric analysis of K562 cells with ILF3 antibody at 1/100 dilution (purple) compared with an unlabelled control (cells without incubation with primary antibody; yellow). Alexa Fluor 488-conjugated goat anti-rabbit IgG was used as the secondary antibody.
verifiedActivityverifiedActivityverifiedActivityverifiedActivityverifiedActivityverifiedActivityverifiedActivityverifiedActivityverifiedActivityverifiedActivity
应用FCMICCIFIHCIPWB
推荐剂量
WB: 1:500-2000; IHC: 1:50-200; ICC: 1:50-200; IP: 1:10-50; FCM: 1:50-100
抗体种类
Monoclonal
宿主来源Rabbit
构建方式Recombinant Antibody
纯化方式ProA affinity purified
性状Liquid
缓冲液1*TBS (pH7.4), 1%BSA, 40%Glycerol. Preservative: 0.05% Sodium Azide.
研究背景ILF3 (interleukin enhancer binding factor 3) or TCP80 (translational control protein 80), is a ubiquitously expressed nuclear protein that exists in a heterodimer with NF45. NF90 contains two DRBM (double-stranded RNA(dsRNA-)-binding) domains and one DZF domain and, in association with NF45 primarily participates in the regulation of IL-2 expression by binding to the antigen receptor response element (ARRE) target sequence of the IL-2 enhancer. In neuronal cells, the NF45/NF90 heterodimer can repress human rhinovirus type 2 replication by binding to a 5' untranslated region of the viral RNA that encodes the internal ribosome entry site (IRES). NF45 and NF90 belong to the double-stranded RNA-binding protein family and both are substrates for the dsRNA-activated protein kinase, PKR. Due to alternative splicing events, six isoforms exist for NF90, namely NFAR-2 (or ILF3-E), NFAR-1 (or DRBP76), isoform 3, DRBP76α (or ILF3-A), DRBP76δ (also known as DRBP76γ or ILF3-C) and isoform 6.
偶联与修饰
偶联
Unconjugated
抗原信息
免疫原
Recombinant Protein: N-terminal human ILF3
抗原种属
human
Uniprot ID
化学信息
分子量Theoretical: 75/95 kDa.
储存&溶解度
储存方式Store at -20°C or -80°C for 12 months. Avoid repeated freeze-thaw cycles.
运输方式Shipping with blue ice.

计算器

  • 稀释 计算器
  • 配液 计算器
Related Tags: buy Anti-ILF3 Antibody (8T791) | purchase Anti-ILF3 Antibody (8T791) | Anti-ILF3 Antibody (8T791) cost | order Anti-ILF3 Antibody (8T791) | Anti-ILF3 Antibody (8T791) molecular weight