购物车
  • TargetMol
    您的购物车当前为空

Anti-ILF2 Antibody (6A56)

Synonyms: Nuclear factor of activated T-cells 45 kDa, NF45, Interleukin enhancer-binding factor 2, ILF2
货号 TMAC-02152 一键复制产品信息
Rating icon 还可以
202603开学季活动

Anti-ILF2 Antibody (6A56) 是一种 Rabbit 抗体,靶向 ILF2。Anti-ILF2 Antibody (6A56) 可用于 FCM,IHC,IP,WB。

Anti-ILF2 Antibody (6A56)

一键复制产品信息
Rating icon 还可以
202603开学季活动
货号 TMAC-02152

别名 Nuclear factor of activated T-cells 45 kDa, NF45, Interleukin enhancer-binding factor 2, ILF2

Anti-ILF2 Antibody (6A56) 是一种 Rabbit 抗体,靶向 ILF2。Anti-ILF2 Antibody (6A56) 可用于 FCM,IHC,IP,WB。

Anti-ILF2 Antibody (6A56)
规格价格库存数量
50 μL
¥ 1,490
5日内发货
100 μL
¥ 2,485
5日内发货
库存状态实时更新,以官网显示为准,现货产品可直接加购物车下单
大包装 & 定制
加入购物车

TargetMol的所有产品仅用作科学研究或药证申报,不能被用于人体,我们不向个人提供产品和服务。请您遵守承诺用途,不得违反法律法规规定用于任何其他用途。

实验操作小课堂
常见问题解答
查看更多

资源下载:产品操作手册

产品介绍


生物活性
产品描述
Anti-ILF2 Antibody (6A56) is a Rabbit antibody targeting ILF2. Anti-ILF2 Antibody (6A56) can be used in FCM,IHC,IP,WB.
别名
Nuclear factor of activated T-cells 45 kDa, NF45, Interleukin enhancer-binding factor 2, ILF2
Ig Type
IgG
克隆号
6A56
反应种属
Human,Mouse,Rat
验证活性
1. Western blot analysis of ILF2 on different cell lysates using anti-ILF2 antibody at 1/500 dilution. Positive control: Lane 1: Mouse testis tissue, Lane 2: HL-60, Lane 3: SH-SY-5Y.
2. Immunohistochemical analysis of paraffin-embedded rat brain tissue using anti-ILF2 antibody. Counter stained with hematoxylin.
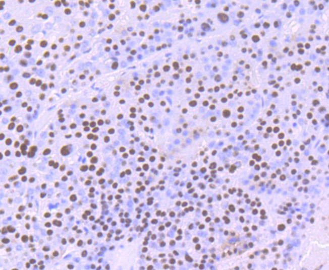
3. Immunohistochemical analysis of paraffin-embedded human tonsil tissue using anti-ILF2 antibody. Counter stained with hematoxylin.
4. Immunohistochemical analysis of paraffin-embedded human liver cancer tissue using anti-ILF2 antibody. Counter stained with hematoxylin.
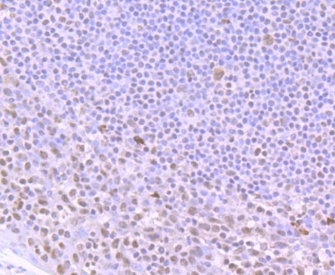
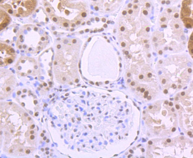
5. Immunohistochemical analysis of paraffin-embedded human kidney tissue using anti-ILF2 antibody. Counter stained with hematoxylin.
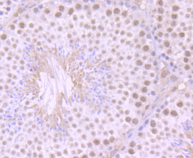
6. Immunohistochemical analysis of paraffin-embedded mouse testis tissue using anti-ILF2 antibody. Counter stained with hematoxylin.
7. Flow cytometric analysis of SH-SY-5Y cells with ILF2 antibody at 1/100 dilution (red) compared with an unlabelled control (cells without incubation with primary antibody; black). Alexa Fluor 488-conjugated goat anti rabbit IgG was used as the secondary antibody.
verifiedActivityverifiedActivityverifiedActivityverifiedActivityverifiedActivityverifiedActivityverifiedActivity
应用FCMIHCIPWB
推荐剂量
WB: 1:500; IHC: 1:50-200; IP: 1:10-20; FCM: 1:50-100
抗体种类
Monoclonal
宿主来源Rabbit
构建方式Recombinant Antibody
纯化方式ProA affinity purified
性状Liquid
缓冲液1*TBS (pH7.4), 1%BSA, 40%Glycerol. Preservative: 0.05% Sodium Azide.
研究背景NF45 (ILF2, nuclear factor of activated T cells 45 kDa) is a transcription factor that interacts with NF90 (ILF3, DRBP76) to regulate gene expression. NF45 and NF90 are proteins that belong to the double-stranded RNA-binding protein family and both are substrates for the dsRNA-activated protein kinase, PKR. The NF45/NF90 heterodimer is mainly involved in regulating IL-2 expression by binding to the antigen receptor response element (ARRE) target sequence of the IL-2 enhancer. In neuronal cells, the NF45/NF90 heterodimer can repress human rhinovirus type 2 replication by binding to a 5' untranslated region of the viral RNA that encodes the internal ribosome entry site (IRES).
偶联与修饰
偶联
Unconjugated
抗原信息
免疫原
Recombinant Protein
Uniprot ID
化学信息
分子量Theoretical: 43 kDa.
储存&溶解度
储存方式Store at -20°C or -80°C for 12 months. Avoid repeated freeze-thaw cycles.
运输方式Shipping with blue ice.

计算器

  • 稀释 计算器
  • 配液 计算器

关键词

Related Tags: buy Anti-ILF2 Antibody (6A56) | purchase Anti-ILF2 Antibody (6A56) | Anti-ILF2 Antibody (6A56) cost | order Anti-ILF2 Antibody (6A56) | Anti-ILF2 Antibody (6A56) molecular weight