购物车
  • 全部删除
  • TargetMol
    您的购物车当前为空

Anti-IL-1 beta/IL-1F2 Antibody (7U755)

Rating icon 还可以
产品编号 TMAC-02135

Anti-IL-1 beta/IL-1F2 Antibody (7U755) 是一种 Rabbit 抗体,靶向 IL-1 beta/IL-1F2。Anti-IL-1 beta/IL-1F2 Antibody (7U755) 可用于 FCM,ICC/IF,IHC,WB。

Anti-IL-1 beta/IL-1F2 Antibody (7U755)

Anti-IL-1 beta/IL-1F2 Antibody (7U755)

一键复制产品信息
Rating icon 还可以
产品编号 TMAC-02135

Anti-IL-1 beta/IL-1F2 Antibody (7U755) 是一种 Rabbit 抗体,靶向 IL-1 beta/IL-1F2。Anti-IL-1 beta/IL-1F2 Antibody (7U755) 可用于 FCM,ICC/IF,IHC,WB。

规格价格库存数量
50 μL
¥ 1,485
5日内发货
100 μL
¥ 2,485
5日内发货
大包装 & 定制
加入购物车
TargetMol 的所有产品仅用作科学研究或药证申报,不能被用于人体,我们不向个人提供产品和服务。请您遵守承诺用途,不得违反法律法规规定用于任何其他用途。
实验操作小课堂
常见问题解答
查看更多
联系我们获取更多批次信息
资源下载

产品介绍

生物活性
产品描述
Anti-IL-1 beta/IL-1F2 Antibody (7U755) is a Rabbit antibody targeting IL-1 beta/IL-1F2. Anti-IL-1 beta/IL-1F2 Antibody (7U755) can be used in FCM,ICC/IF,IHC,WB.
Ig Type
IgG
克隆号
7U755
交叉反应
Human
验证活性
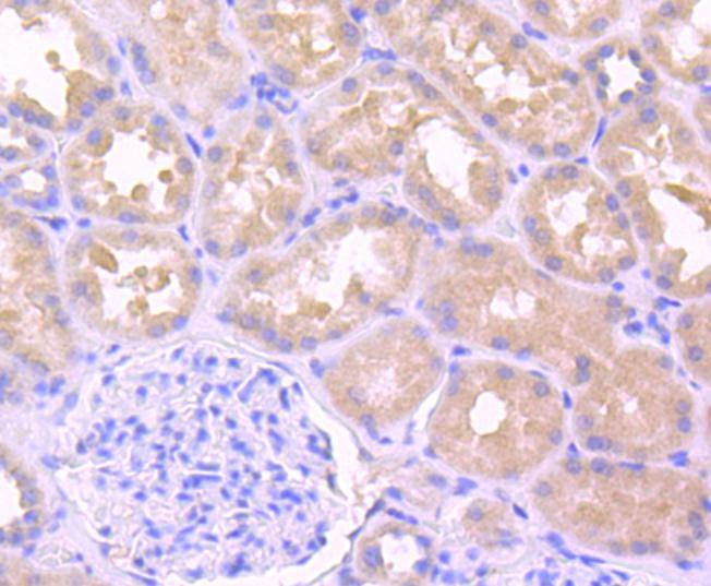
1. Immunohistochemical analysis of paraffin-embedded human kidney tissue using anti-IL1 beta antibody. Counter stained with hematoxylin.
2. ICC staining IL1 beta in A431 cells (green). The nuclear counter stain is DAPI (blue). Cells were fixed in paraformaldehyde, permeabilised with 0.25% Triton X100/PBS.
3. ICC staining IL1 beta in Hela cells (green). The nuclear counter stain is DAPI (blue). Cells were fixed in paraformaldehyde, permeabilised with 0.25% Triton X100/PBS.
4. Flow cytometric analysis of Hela cells with IL1 beta antibody at 1/50 dilution (red) compared with an unlabelled control (cells without incubation with primary antibody; black). Alexa Fluor 488-conjugated goat anti rabbit IgG was used as the secondary antibody.
verifiedActivityverifiedActivityverifiedActivityverifiedActivity
应用FCMICC/IFIHCWB
推荐剂量
WB: 1:1000; IHC: 1:50-200; ICC/IF: 1:50-200; FCM: 1:50-100
抗体种类
Monoclonal
宿主来源Rabbit
构建方式Recombinant Antibody
纯化方式ProA affinity purified
性状Liquid
缓冲液1*TBS (pH7.4), 1%BSA, 40%Glycerol. Preservative: 0.05% Sodium Azide.
研究背景Two forms of interleukin-1, designated IL-1α and IL-1β, have been described. Although encoded by distinct genes and exhibiting roughly only 25% sequence identity, IL-1α and IL-1β bind to the same receptor and seem to elicit similar biological responses. IL-1 production is generally thought to be associated with inflammation, but it has also been shown to be expressed during kidney development, thymocyte differentiation and cartilage degradation. IL-1 plays a critical role in the regulation of immune response and inflammation, acting as an activator of T and B lymphocytes and natural killer (NK) cells. In T cells, IL-1 stimulates the production of IL-2 and selectively inhibits IL-4 expression. IL-1 induces B cell proliferation and maturation, and immunoglobulin synthesis. NK cells require IL-1β for production of the pathogen IFN-γ. IL-1 has also been implicated in several pathological conditions including rheumatoid arthritis, inflammatory bowel disease and atherosclerosis.
偶联与修饰
偶联
Unconjugated
抗原信息
免疫原
Recombinant Protein
Uniprot ID
化学信息
分子量Theoretical: 31 kDa.
存储&运输
储存方式Store at -20°C or -80°C for 12 months. Avoid repeated freeze-thaw cycles.
运输方式Shipping with blue ice.

计算器

  • 稀释 计算器

关键词

评论列表

4个月前
5.0
Rating icon 很棒

评论内容

Related Tags: buy Anti-IL-1 beta/IL-1F2 Antibody (7U755) | purchase Anti-IL-1 beta/IL-1F2 Antibody (7U755) | Anti-IL-1 beta/IL-1F2 Antibody (7U755) cost | order Anti-IL-1 beta/IL-1F2 Antibody (7U755) | Anti-IL-1 beta/IL-1F2 Antibody (7U755) molecular weight