购物车
  • TargetMol
    您的购物车当前为空

Anti-IKK- gamma Antibody (1A787)

Synonyms: ZC2HC9, NF-kappa-B essential modulator, NF-kappa-B essential modifier, NF kappa B essential modulator, NF kappa B essential modifier, NEMO_HUMAN, NEMO, IPD2, IP2, IP1, IP, Inhibitor of nuclear factor kappa-B kinase subunit gamma, Inhibitor of nuclear factor kappa B kinase subunit gamma, Inhibitor of kappa light polypeptide gene enhancer in B cells, kinase of, gamma, Inhibitor of kappa light polypeptide gene enhancer in B cells, kinase gamma, Incontinentia pigmenti, IMD33, IKKγ, IKK-gamma, IKKgamma, IKKG, IKKAP1, IKK γ, IKK g, Ikbkg, IkB kinase-associated protein 1, IkB kinase subunit gamma, IkB kinase gamma subunit, IkB kinase associated protein 1, I-kappa-B kinase subunit gamma, I kappa B kinase gamma, Fip3p, FIP-3, FIP3, FIP 3, AMCBX1
货号 TMAC-02130 一键复制产品信息
Rating icon 还可以
202603开学季活动

Anti-IKK- gamma Antibody (1A787) 是一种 Rabbit 抗体,靶向 IKK- gamma。Anti-IKK- gamma Antibody (1A787) 可用于 FCM,ICC/IF,IHC,IP,WB。

Anti-IKK- gamma Antibody (1A787)

一键复制产品信息
Rating icon 还可以
202603开学季活动
货号 TMAC-02130

别名 ZC2HC9, NF-kappa-B essential modulator, NF-kappa-B essential modifier, NF kappa B essential modulator, NF kappa B essential modifier, NEMO_HUMAN, NEMO, IPD2, IP2, IP1, IP, Inhibitor of nuclear factor kappa-B kinase subunit gamma, Inhibitor of nuclear factor kappa B kinase subunit gamma, Inhibitor of kappa light polypeptide gene enhancer in B cells, kinase of, gamma, Inhibitor of kappa light polypeptide gene enhancer in B cells, kinase gamma, Incontinentia pigmenti, IMD33, IKKγ, IKK-gamma, IKKgamma, IKKG, IKKAP1, IKK γ, IKK g, Ikbkg, IkB kinase-associated protein 1, IkB kinase subunit gamma, IkB kinase gamma subunit, IkB kinase associated protein 1, I-kappa-B kinase subunit gamma, I kappa B kinase gamma, Fip3p, FIP-3, FIP3, FIP 3, AMCBX1

Anti-IKK- gamma Antibody (1A787) 是一种 Rabbit 抗体,靶向 IKK- gamma。Anti-IKK- gamma Antibody (1A787) 可用于 FCM,ICC/IF,IHC,IP,WB。

Anti-IKK- gamma Antibody (1A787)
规格价格库存数量
50 μL
¥ 1,490
5日内发货
100 μL
¥ 2,495
5日内发货
库存状态实时更新,以官网显示为准,现货产品可直接加购物车下单
大包装 & 定制
加入购物车

TargetMol的所有产品仅用作科学研究或药证申报,不能被用于人体,我们不向个人提供产品和服务。请您遵守承诺用途,不得违反法律法规规定用于任何其他用途。

实验操作小课堂
常见问题解答
查看更多

资源下载:产品操作手册

产品介绍


生物活性
产品描述
Anti-IKK- gamma Antibody (1A787) is a Rabbit antibody targeting IKK- gamma. Anti-IKK- gamma Antibody (1A787) can be used in FCM,ICC/IF,IHC,IP,WB.
别名
ZC2HC9, NF-kappa-B essential modulator, NF-kappa-B essential modifier, NF kappa B essential modulator, NF kappa B essential modifier, NEMO_HUMAN, NEMO, IPD2, IP2, IP1, IP, Inhibitor of nuclear factor kappa-B kinase subunit gamma, Inhibitor of nuclear factor kappa B kinase subunit gamma, Inhibitor of kappa light polypeptide gene enhancer in B cells, kinase of, gamma, Inhibitor of kappa light polypeptide gene enhancer in B cells, kinase gamma, Incontinentia pigmenti, IMD33, IKKγ, IKK-gamma, IKKgamma, IKKG, IKKAP1, IKK γ, IKK g, Ikbkg, IkB kinase-associated protein 1, IkB kinase subunit gamma, IkB kinase gamma subunit, IkB kinase associated protein 1, I-kappa-B kinase subunit gamma, I kappa B kinase gamma, Fip3p, FIP-3, FIP3, FIP 3, AMCBX1
Ig Type
IgG
克隆号
1A787
反应种属
Human,Mouse,Rat
验证活性
1. Western blot analysis of IKK gamma on Hela cell using anti-IKK gamma antibody at 1/1,000 dilution.
2. Immunohistochemical analysis of paraffin-embedded human spleen tissue using anti-IKK gamma antibody. Counter stained with hematoxylin.
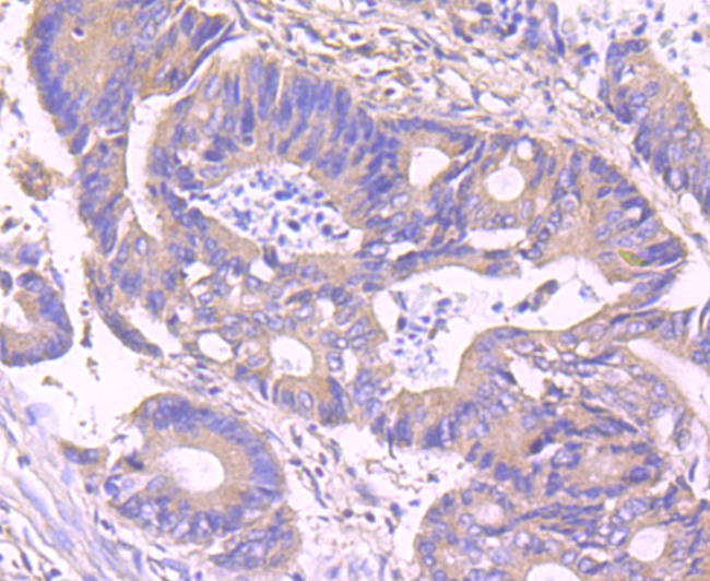
3. Immunohistochemical analysis of paraffin-embedded human colon cancer tissue using anti-IKK gamma antibody. Counter stained with hematoxylin.
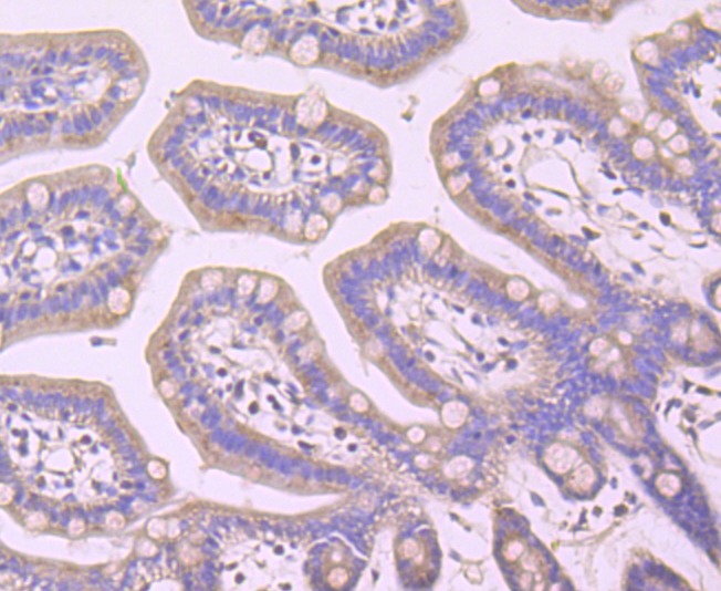
4. Immunohistochemical analysis of paraffin-embedded mouse colon tissue using anti-IKK gamma antibody. Counter stained with hematoxylin.
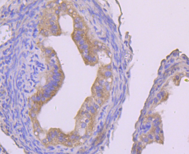
5. Immunohistochemical analysis of paraffin-embedded mouse fallopian tube tissue using anti-IKK gamma antibody. Counter stained with hematoxylin.
6. Immunohistochemical analysis of paraffin-embedded human colon tissue using anti-IKK gamma antibody. Counter stained with hematoxylin.
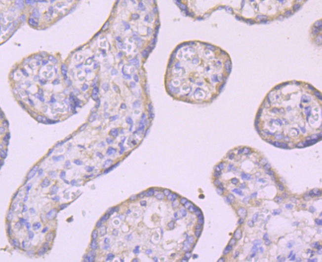
7. Immunohistochemical analysis of paraffin-embedded human placenta tissue using anti-IKK gamma antibody. Counter stained with hematoxylin.
8. ICC staining IKK gamma in Hela cells (green). The nuclear counter stain is DAPI (blue). Cells were fixed in paraformaldehyde, permeabilised with 0.25% Triton X100/PBS.
9. Flow cytometric analysis of Hela cells with IKK gamma antibody at 1/100 dilution (red) compared with an unlabelled control (cells without incubation with primary antibody; black).
verifiedActivityverifiedActivityverifiedActivityverifiedActivityverifiedActivityverifiedActivityverifiedActivityverifiedActivityverifiedActivity
应用FCMICC/IFIHCIPWB
推荐剂量
WB: 1:500-2000; IHC: 1:20-50; ICC/IF: 1:50-200; FCM: 1:50-100
抗体种类
Monoclonal
宿主来源Rabbit
构建方式Recombinant Antibody
纯化方式ProA affinity purified
性状Liquid
缓冲液1*TBS (pH7.4), 1%BSA, 40%Glycerol. Preservative: 0.05% Sodium Azide.
研究背景Regulatory subunit of the IKK core complex which phosphorylates inhibitors of NF-kappa-B thus leading to the dissociation of the inhibitor/NF-kappa-B complex and ultimately the degradation of the inhibitor. Its binding to scaffolding polyubiquitin seems to play a role in IKK activation by multiple signaling receptor pathways. However, the specific type of polyubiquitin recognized upon cell stimulation (either 'Lys-63'-linked or linear polyubiquitin) and its functional importance is reported conflictingly. Also considered to be a mediator for TAX activation of NF-kappa-B. Could be implicated in NF-kappa-B-mediated protection from cytokine toxicity. Essential for viral activation of IRF3. Involved in TLR3- and IFIH1-mediated antiviral innate response; this function requires 'Lys-27'-linked polyubiquitination.
偶联与修饰
偶联
Unconjugated
抗原信息
免疫原
Recombinant Protein
Uniprot ID
化学信息
分子量Theoretical: 48 kDa.
储存&溶解度
储存方式Store at -20°C or -80°C for 12 months. Avoid repeated freeze-thaw cycles.
运输方式Shipping with blue ice.

计算器

  • 稀释 计算器
  • 配液 计算器
Related Tags: buy Anti-IKK- gamma Antibody (1A787) | purchase Anti-IKK- gamma Antibody (1A787) | Anti-IKK- gamma Antibody (1A787) cost | order Anti-IKK- gamma Antibody (1A787) | Anti-IKK- gamma Antibody (1A787) molecular weight