购物车
  • TargetMol
    您的购物车当前为空

Anti-IGF2R Antibody (3T816)

Synonyms: MPRI, MPR 300, M6PR, M6P/IGF2R, IGF-II receptor, CI-MPR, CD222
货号 TMAC-02441Cas号 一键复制产品信息纯度:
Rating icon 还可以

Anti-IGF2R Antibody (3T816) 是一种 Rabbit 抗体,靶向 IGF2R。Anti-IGF2R Antibody (3T816) 可用于 FCM,ICC/IF,IHC,IP,WB。

Anti-IGF2R Antibody (3T816)

一键复制产品信息
Rating icon 还可以
货号 TMAC-02441

别名 MPRI, MPR 300, M6PR, M6P/IGF2R, IGF-II receptor, CI-MPR, CD222

Anti-IGF2R Antibody (3T816) 是一种 Rabbit 抗体,靶向 IGF2R。Anti-IGF2R Antibody (3T816) 可用于 FCM,ICC/IF,IHC,IP,WB。

Anti-IGF2R Antibody (3T816)
规格价格库存数量
50 μL
¥ 1,485
5日内发货
100 μL
¥ 2,480
5日内发货
库存状态实时更新,以官网显示为准,现货产品可直接加购物车下单
大包装 & 定制
加入购物车

TargetMol的所有产品仅用作科学研究或药证申报,不能被用于人体,我们不向个人提供产品和服务。请您遵守承诺用途,不得违反法律法规规定用于任何其他用途。

实验操作小课堂
常见问题解答
查看更多

资源下载:产品操作手册

产品介绍


生物活性
产品描述
Anti-IGF2R Antibody (3T816) is a Rabbit antibody targeting IGF2R. Anti-IGF2R Antibody (3T816) can be used in FCM,ICC/IF,IHC,IP,WB.
别名
MPRI, MPR 300, M6PR, M6P/IGF2R, IGF-II receptor, CI-MPR, CD222
Ig Type
IgG
克隆号
3T816
反应种属
Human,Mouse,Rat
验证活性
1. Western blot analysis of M6PR on different cell lysates using anti-M6PR antibody at 1/1,000 dilution. Positive control: Lane 1: HepG2, Lane 2: SW480.
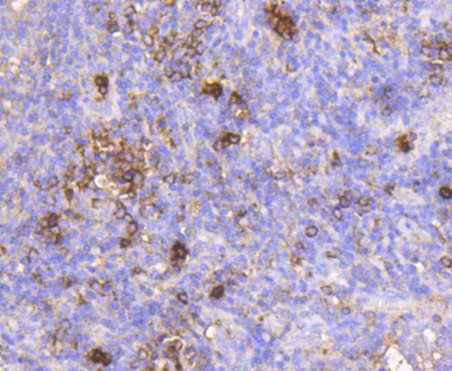
2. Immunohistochemical analysis of paraffin-embedded human tonsil tissue using anti-M6PR antibody. Counter stained with hematoxylin.
3. ICC staining M6PR in Hela cells (green). The nuclear counter stain is DAPI (blue). Cells were fixed in paraformaldehyde, permeabilised with 0.25% Triton X100/PBS.
4. ICC staining M6PR in MCF-7 cells (green). The nuclear counter stain is DAPI (blue). Cells were fixed in paraformaldehyde, permeabilised with 0.25% Triton X100/PBS.
5. ICC staining M6PR in HepG2 cells (green). Cells were fixed in paraformaldehyde, permeabilised with 0.25% Triton X100/PBS.
6. Flow cytometric analysis of Hela cells with M6PR antibody at 1/50 dilution (blue) compared with an unlabelled control (cells without incubation with primary antibody; red). Alexa Fluor 488-conjugated goat anti rabbit IgG was used as the secondary antibody.
verifiedActivityverifiedActivityverifiedActivityverifiedActivityverifiedActivityverifiedActivity
应用FCMICC/IFIHCIPWB
推荐剂量
WB: 1:1000-10000; IHC: 1:50-200; ICC/IF: 1:50-200; FCM: 1:50-100
抗体种类
Monoclonal
宿主来源Rabbit
构建方式Recombinant Antibody
纯化方式ProA affinity purified
性状Liquid
缓冲液1*TBS (pH7.4), 1%BSA, 40%Glycerol. Preservative: 0.05% Sodium Azide.
研究背景The mannose 6-phosphate/insulin-like growth factor II receptor, IGF-IIR (also designated M6P/IGF2R), is a ubiquitously expressed integral glycoprotein. By binding glycoproteins through two of its extracytoplasmic domains, IGF-IIR mediates the activation of TGF??1 (a growth inhibitor), the degradation of IGF-II and the transport of lysosomal enzymes. Subsequently, IGF-IIR can form oligomeric complexes, which increase the affinity of IGF-IIR for lysosomal enzymes. Unlike IGF-IR, IGF-IIR does not potentiate the signaling of IGF-I or IGF-II, which have mitogenic, cell survival and insulin-like effects. Therefore, IGF-IIR is characterized as a tumor suppressor. Furthermore, the IGF-IIR gene is located on chromosome 6q26, which is commonly mutated or deleted in several human cancers.
偶联与修饰
偶联
Unconjugated
抗原信息
免疫原
Recombinant Protein
Uniprot ID
化学信息
分子量Theoretical: 274 kDa.
储存&溶解度
储存方式Store at -20°C or -80°C for 12 months. Avoid repeated freeze-thaw cycles.
运输方式Shipping with blue ice.

计算器

  • 稀释 计算器
  • 配液 计算器
Related Tags: buy Anti-IGF2R Antibody (3T816) | purchase Anti-IGF2R Antibody (3T816) | Anti-IGF2R Antibody (3T816) cost | order Anti-IGF2R Antibody (3T816) | Anti-IGF2R Antibody (3T816) molecular weight