购物车
  • 全部删除
  • TargetMol
    您的购物车当前为空

Anti-IFNAR1 Polyclonal Antibody

Rating icon 还可以
产品编号 TMAB-00913
别名 interferon (α, β and Ω) receptor 1, interferon (α, β and ω) receptor 1, interferon (alpha, beta and omega) receptor 1

Anti-IFNAR1 Polyclonal Antibody 是一种 Rabbit 抗体,靶向 IFNAR1。Anti-IFNAR1 Polyclonal Antibody 可用于 FCM,ICC/IF,IF,IHC-Fr,IHC-P,WB。

Anti-IFNAR1 Polyclonal Antibody

Anti-IFNAR1 Polyclonal Antibody

一键复制产品信息
Rating icon 还可以
产品编号 TMAB-00913 别名 interferon (α, β and Ω) receptor 1, interferon (α, β and ω) receptor 1, interferon (alpha, beta and omega) receptor 1

Anti-IFNAR1 Polyclonal Antibody 是一种 Rabbit 抗体,靶向 IFNAR1。Anti-IFNAR1 Polyclonal Antibody 可用于 FCM,ICC/IF,IF,IHC-Fr,IHC-P,WB。

规格价格库存数量
50 μL
¥ 1,160
5日内发货
100 μL
¥ 1,970
5日内发货
200 μL
¥ 2,780
5日内发货
大包装 & 定制
加入购物车
TargetMol 的所有产品仅用作科学研究或药证申报,不能被用于人体,我们不向个人提供产品和服务。请您遵守承诺用途,不得违反法律法规规定用于任何其他用途。
实验操作小课堂
常见问题解答
查看更多
联系我们获取更多批次信息
资源下载

产品介绍

生物活性
产品描述
Anti-IFNAR1 Polyclonal Antibody is a Rabbit antibody targeting IFNAR1. Anti-IFNAR1 Polyclonal Antibody can be used in FCM,ICC/IF,IF,IHC-Fr,IHC-P,WB.
别名interferon (α, β and Ω) receptor 1, interferon (α, β and ω) receptor 1, interferon (alpha, beta and omega) receptor 1
Ig Type
IgG
交叉反应
Human,Mouse,Rat (predicted:Cow,Sheep)
验证活性
1. Blank control: U-2OS.
Primary Antibody (green line): Rabbit Anti-TNNT2 antibody (TMAB-00913)
Dilution: 1 μg/10^6 cells;
Isotype Control Antibody (orange line): Rabbit IgG.
Secondary Antibody: Goat anti-rabbit IgG-AF647
Dilution: 1 μg/test.
Protocol
The cells were fixed with 4% PFA (10 min at room temperature) and then permeabilized with 0.1% PBST for 20 min at room temperature. The cells were then incubated in 5% BSA to block non-specific protein-protein interactions for 30 min at at room temperature. Cells stained with Primary Antibody for 30 min at room temperature. The secondary antibody used for 40 min at room temperature.
2. Sample: LympHnode (Mouse) Lysate at 40 μg
Primary: Anti-IFNAR1 (TMAB-00913) at 1/300 dilution
Secondary: IRDye800CW Goat Anti-Rabbit IgG at 1/20000 dilution
Predicted band size: 61 kDa
Observed band size: 61 kDa
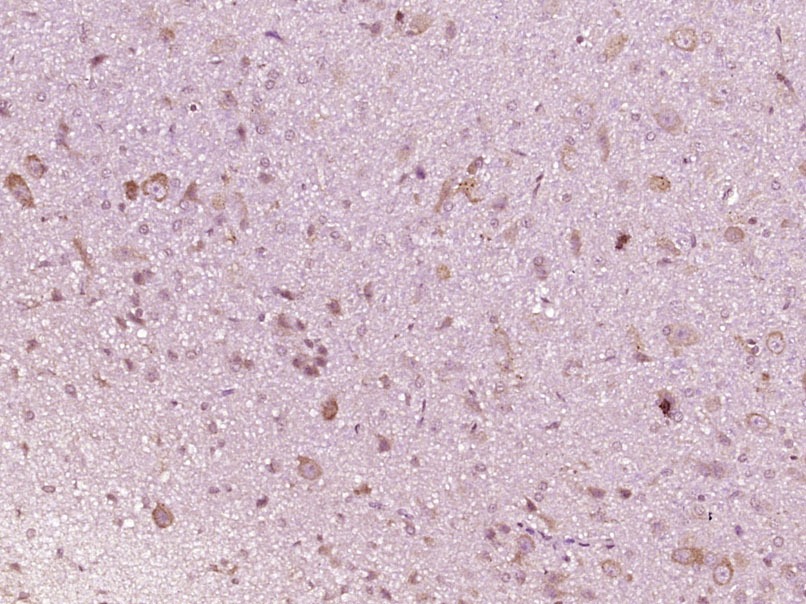
3. Paraformaldehyde-fixed, paraffin embedded (Rat brain); Antigen retrieval by boiling in sodium citrate buffer (pH6.0) for 15 min; Block endogenous peroxidase by 3% hydrogen peroxide for 20 min; Blocking buffer (normal goat serum) at 37°C for 30 min; Antibody incubation with (IFNAR1) Polyclonal Antibody, Unconjugated (TMAB-00913) at 1:400 overnight at 4°C, followed by operating according to SP Kit (Rabbit) instructionsand DAB staining.
4. Blank control: K562. Primary Antibody (green line): Rabbit Anti-IFNAR1 antibody (TMAB-00913)
Dilution: 1 μg/Test;
Secondary Antibody: Goat anti-rabbit IgG-FITC
Dilution: 0.5 μg/Test.
Protocol
The cells were incubated in 5% BSA to block non-specific protein-protein interactions for 30 min at room temperature. Cells stained with Primary Antibody for 30 min at room temperature. The secondary antibody used for 40 min at room temperature.
5. U87MG cell; 4% Paraformaldehyde-fixed; Triton X-100 at room temperature for 20 min; Blocking buffer (normal goat serum) at 37°C for 20 min; Antibody incubation with (IFNAR1) polyclonal Antibody, Unconjugated (TMAB-00913) 1:25, 90 minutes at 37°C; followed by a conjugated Goat Anti-Rabbit IgG antibody at 37°C for 90 minutes, DAPI (blue) was used to stain the cell nucleus.
verifiedActivityverifiedActivityverifiedActivityverifiedActivityverifiedActivity
应用FCMICC/IFIFIHC-FrIHC-PWB
推荐剂量
WB: 1:500-2000; IHC-P: 1:100-500; IHC-Fr: 1:100-500; ICC/IF: 1:25; IF: 1:100-500; FCM: 1ug/test
抗体种类
Polyclonal
宿主来源Rabbit
亚细胞定位Membrane.
组织特异性IFN receptors are present in all tissues and even on the surface of most IFN-resistant cells. Isoform 1, isoform 2 and isoform 3 are expressed in the IFN-alpha sensitive myeloma cell line U266S. Isoform 2 and isoform 3 are expressed in the IFN-alpha resis
构建方式Polyclonal Antibody
纯化方式Protein A purified
性状Liquid
缓冲液0.01M TBS (pH7.4) with 1% BSA, 0.02% Proclin300 and 50% Glycerol.
浓度1 mg/mL
研究背景IFNAR1 is a member of the cytokine receptor superfamily which also includes receptors for interleukins, IFN gamma, ciliary neurotrophic factor, somatotrophin, erythropoietin, nerve growth factor, tumor necrosis factor, leukemia inhibitory factor, and oncostatin M. Some members of the family have an alpha chain with either low or high ligand binding affinity and at least one beta chain involved in signal transduction with either relatively low or no ligand binding affinity. Type I interferons, alpha and beta, induce a variety of effects on target cells including antiviral, antiproliferative, and immunomodulatory activities. The alpha and beta interferons compete to bind to a common cell surface receptor, while IFN gamma binds to a distinct receptor. IFNAR1 is very responsive to type I interferons and bind to IFN beta and IFN alpha subtypes. It is also functionally involved in signal transduction because of its association with the cytoplasmic tyrosine kinase JAK1. The type I interferons, alpha and beta, are produced by leukocytes (alpha subunits), fibroblasts (beta subtypes), lymphocytes (omega subtypes), and ruminant embryos (tau subtypes). Interferon receptors are generally found on most human cell types whatever their origin, even on cells poorly responsive to interferon. IFNAR1 is expressed on the cell surface in a variety of human cell lines.
抗原信息
免疫原
KLH conjugated synthetic peptide: human IFNAR1
抗原种属
Human
基因名称
IFNAR1
基因ID
蛋白名称
Interferon alpha/beta receptor 1
Uniprot ID
研究领域
Interferons,STATs,Interferons,STATs
功能
Associates with IFNAR2 to form the type I interferon receptor. Receptor for interferons alpha and beta. Binding to type I IFNs triggers tyrosine phosphorylation of a number of proteins including JAKs, TYK2, STAT proteins and IFNR alpha- and beta-subunits themselves.
化学信息
分子量Theoretical: 61 kDa.
存储&运输
储存方式Store at -20°C or -80°C for 12 months. Avoid repeated freeze-thaw cycles.
运输方式Shipping with blue ice.

计算器

  • 稀释 计算器

关键词

评论列表

4个月前
5.0
Rating icon 很棒

评论内容

Related Tags: buy Anti-IFNAR1 Polyclonal Antibody | purchase Anti-IFNAR1 Polyclonal Antibody | Anti-IFNAR1 Polyclonal Antibody cost | order Anti-IFNAR1 Polyclonal Antibody | Anti-IFNAR1 Polyclonal Antibody molecular weight