购物车
  • TargetMol
    您的购物车当前为空

Anti-IFN gamma Antibody (1T875)

一键复制产品信息
Rating icon 还可以
货号 TMAC-02191

别名 干扰素

Anti-IFN gamma Antibody (1T875) 是一种 Rabbit 抗体,靶向 IFN gamma。Anti-IFN gamma Antibody (1T875) 可用于 FCM,ICC/IF,WB。

Anti-IFN gamma Antibody (1T875)

Anti-IFN gamma Antibody (1T875)

一键复制产品信息
Rating icon 还可以
货号 TMAC-02191 别名 干扰素

Anti-IFN gamma Antibody (1T875) 是一种 Rabbit 抗体,靶向 IFN gamma。Anti-IFN gamma Antibody (1T875) 可用于 FCM,ICC/IF,WB。

规格价格库存数量
50 μL
¥ 1,490
5日内发货
100 μL
¥ 2,495
5日内发货
库存状态实时更新,以官网显示为准,现货产品可直接加购物车下单
大包装 & 定制
加入购物车
TargetMol的所有产品仅用作科学研究或药证申报,不能被用于人体,我们不向个人提供产品和服务。请您遵守承诺用途,不得违反法律法规规定用于任何其他用途。
实验操作小课堂
常见问题解答
查看更多
选择批次:
联系我们 获取更多批次信息

产品介绍


生物活性
产品描述
Anti-IFN gamma Antibody (1T875) is a Rabbit antibody targeting IFN gamma. Anti-IFN gamma Antibody (1T875) can be used in FCM,ICC/IF,WB.
别名干扰素
Ig Type
IgG
克隆号
1T875
反应种属
Human,Mouse,Rat
验证活性
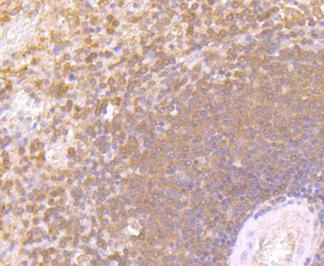
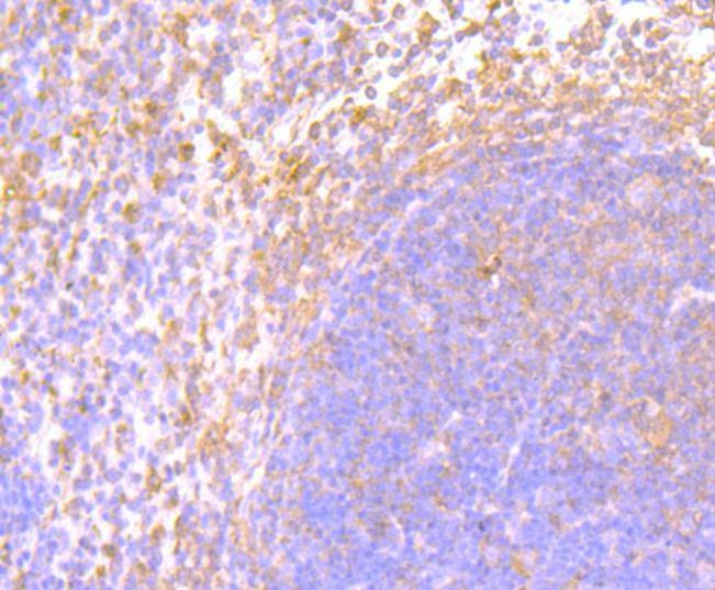
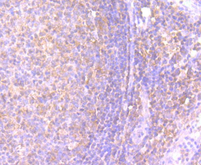
1. Immunohistochemical analysis of paraffin-embedded human tonsil tissue using anti-Interferon gamma antibody. Counter stained with hematoxylin.
2. Immunohistochemical analysis of paraffin-embedded human spleen tissue using anti-Interferon gamma antibody. Counter stained with hematoxylin.
3. Immunohistochemical analysis of paraffin-embedded mouse spleen tissue using anti-Interferon gamma antibody. Counter stained with hematoxylin.
4. Flow cytometric analysis of Hela cells with Interferon gamma antibody at 1/50 dilution (red) compared with an unlabelled control (cells without incubation with primary antibody; black). Alexa Fluor 488-conjugated goat anti rabbit IgG was used as the secondary antibody.
verifiedActivityverifiedActivityverifiedActivityverifiedActivity
应用FCMICC/IFWB
推荐剂量
WB: 1:500-1000; IHC: 1:50-100; FCM: 1:50-100
抗体种类
Monoclonal
宿主来源Rabbit
构建方式Recombinant Antibody
纯化方式ProA affinity purified
性状Liquid
缓冲液1*TBS (pH7.4), 1%BSA, 40%Glycerol. Preservative: 0.05% Sodium Azide.
研究背景Interferon (IFN)-γ is an antiviral and antiparasitic agent produced by CD4+/CD8+ lymphocytes and natural killer cells that undergo activation by antigens, mitogens or alloantigens. IFN-γ production modulates T cell growth and differentiation and inhibits the growth of B cells. Synthesis of IFN-γ is inducible by IL-2, FGF and EGF. The active form of IFN-γ is a homodimer with each subunit containing six helices. The dimeric structure of human IFN-γ is stabilized by non-covalent interactions through the interface of the helices. IFN-γ translated precursor is 166 amino acids, including the 23 amino acid secretory sequence. Multiple forms exist due to variable glycosylation and under non-denaturing conditions due to dimers and tetramers.
偶联与修饰
偶联
Unconjugated
抗原信息
免疫原
Recombinant Protein
Uniprot ID
化学信息
分子量Theoretical: 19 kDa.
颜色Transparent
物理性状Liquid
储存&溶解度
储存方式Store at -20°C or -80°C for 12 months. Avoid repeated freeze-thaw cycles.
运输方式Shipping with blue ice.

计算器

  • 稀释 计算器
  • 配液 计算器
Related Tags: buy Anti-IFN gamma Antibody (1T875) | purchase Anti-IFN gamma Antibody (1T875) | Anti-IFN gamma Antibody (1T875) cost | order Anti-IFN gamma Antibody (1T875) | Anti-IFN gamma Antibody (1T875) molecular weight