购物车
  • 全部删除
  • TargetMol
    您的购物车当前为空

Anti-ID1 Antibody (6Z914)

Rating icon 还可以
产品编号 TMAC-02084
别名 bHLHb24

Anti-ID1 Antibody (6Z914) 是一种 Rabbit 抗体,靶向 ID1。Anti-ID1 Antibody (6Z914) 可用于 FCM,ICC/IF,IHC,WB。

Anti-ID1 Antibody (6Z914)

Anti-ID1 Antibody (6Z914)

一键复制产品信息
Rating icon 还可以
产品编号 TMAC-02084 别名 bHLHb24

Anti-ID1 Antibody (6Z914) 是一种 Rabbit 抗体,靶向 ID1。Anti-ID1 Antibody (6Z914) 可用于 FCM,ICC/IF,IHC,WB。

规格价格库存数量
50 μL
¥ 1,490
5日内发货
100 μL
¥ 2,480
5日内发货
大包装 & 定制
加入购物车
TargetMol 的所有产品仅用作科学研究或药证申报,不能被用于人体,我们不向个人提供产品和服务。请您遵守承诺用途,不得违反法律法规规定用于任何其他用途。
实验操作小课堂
常见问题解答
查看更多
联系我们获取更多批次信息
资源下载

产品介绍

生物活性
产品描述
Anti-ID1 Antibody (6Z914) is a Rabbit antibody targeting ID1. Anti-ID1 Antibody (6Z914) can be used in FCM,ICC/IF,IHC,WB.
别名bHLHb24
Ig Type
IgG
克隆号
6Z914
交叉反应
Human
验证活性
1. Western blot analysis of Id1 on 293T cell using anti-Id1 antibody at 1/1,000 dilution.
2. Immunohistochemical analysis of paraffin-embedded human tonsil tissue using anti-Id1 antibody. Counter stained with hematoxylin.
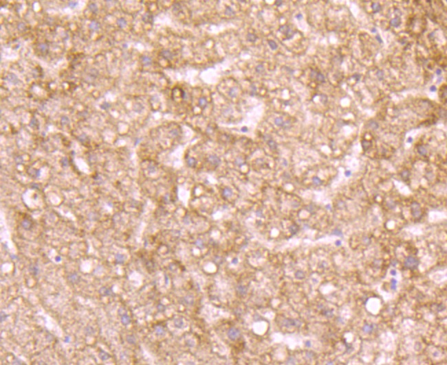
3. Immunohistochemical analysis of paraffin-embedded human liver tissue using anti-Id1 antibody. Counter stained with hematoxylin.
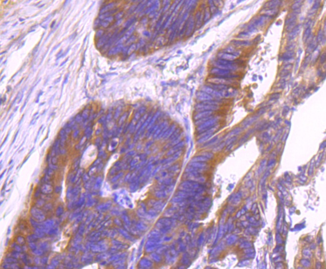
4. Immunohistochemical analysis of paraffin-embedded human colon tissue using anti-Id1 antibody. Counter stained with hematoxylin.
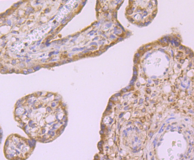
5. Immunohistochemical analysis of paraffin-embedded human placenta tissue using anti-Id1 antibody. Counter stained with hematoxylin.
6. ICC staining Id1 in A549 cells (green). The nuclear counter stain is DAPI (blue). Cells were fixed in paraformaldehyde, permeabilised with 0.25% Triton X100/PBS.
7. ICC staining Id1 in Hela cells (green). The nuclear counter stain is DAPI (blue). Cells were fixed in paraformaldehyde, permeabilised with 0.25% Triton X100/PBS.
8. ICC staining Id1 in HepG2 cells (green). The nuclear counter stain is DAPI (blue). Cells were fixed in paraformaldehyde, permeabilised with 0.25% Triton X100/PBS.
9. Flow cytometric analysis of HepG2 cells with Id1 antibody at 1/100 dilution (red) compared with an unlabelled control (cells without incubation with primary antibody; black).
verifiedActivityverifiedActivityverifiedActivityverifiedActivityverifiedActivityverifiedActivityverifiedActivityverifiedActivityverifiedActivity
应用FCMICC/IFIHCWB
推荐剂量
WB: 1:500-2000; IHC: 1:50-200; ICC/IF: 1:50-200; FCM: 1:50-100
抗体种类
Monoclonal
宿主来源Rabbit
构建方式Recombinant Antibody
纯化方式ProA affinity purified
性状Liquid
缓冲液1*TBS (pH7.4), 1%BSA, 40%Glycerol. Preservative: 0.05% Sodium Azide.
研究背景Members of the Id family of basic helix-loop-helix (bHLH) proteins include Id1, Id2, Id3 and Id4. They are ubiquitously expressed and dimerize with members of the class A and B HLH proteins. Due to the absence of the basic region, the resulting heterodimers cannot bind DNA. The Id-type proteins thus appear to negatively regulate DNA binding of bHLH proteins. Since Id1 inhibits DNA binding of E12 and Myo D, it apparently functions to inhibit muscle-specific gene expression. Under conditions that facilitate muscle cell differentiation, the Id protein levels fall, allowing E12 and/or E47 to form heterodimers with Myo D and myogenin, which in turn activate myogenic differentiation. It has been shown that expression of each of the Id proteins is strongly dependent on growth factor activation and that reduction of Id mRNA levels by antisense oligonucleotides leads to a delayed reentry of arrested cells into the cell cycle following growth factor stimulation.
偶联与修饰
偶联
Unconjugated
抗原信息
免疫原
Recombinant Protein
Uniprot ID
化学信息
分子量Theoretical: 22 kDa.
存储&运输
储存方式Store at -20°C or -80°C for 12 months. Avoid repeated freeze-thaw cycles.
运输方式Shipping with blue ice.

计算器

  • 稀释 计算器

关键词

评论列表

4个月前
5.0
Rating icon 很棒

评论内容

Related Tags: buy Anti-ID1 Antibody (6Z914) | purchase Anti-ID1 Antibody (6Z914) | Anti-ID1 Antibody (6Z914) cost | order Anti-ID1 Antibody (6Z914) | Anti-ID1 Antibody (6Z914) molecular weight