购物车
  • TargetMol
    您的购物车当前为空

Anti-HSP70 Antibody (7N158)

Synonyms: HSP70, Heat shock 70 kDa protein
货号 TMAC-02046 一键复制产品信息
Rating icon 还可以

Anti-HSP70 Antibody (7N158) 是一种 Rabbit 抗体,靶向 HSP70。Anti-HSP70 Antibody (7N158) 可用于 FCM,ICC/IF,IHC,WB。

Anti-HSP70 Antibody (7N158)

一键复制产品信息
Rating icon 还可以
货号 TMAC-02046

别名 HSP70, Heat shock 70 kDa protein

Anti-HSP70 Antibody (7N158) 是一种 Rabbit 抗体,靶向 HSP70。Anti-HSP70 Antibody (7N158) 可用于 FCM,ICC/IF,IHC,WB。

Anti-HSP70 Antibody (7N158)
规格价格库存数量
50 μL
¥ 1,480
5日内发货
100 μL
¥ 2,480
5日内发货
库存状态实时更新,以官网显示为准,现货产品可直接加购物车下单
大包装 & 定制
加入购物车
TargetMol的所有产品仅用作科学研究或药证申报,不能被用于人体,我们不向个人提供产品和服务。请您遵守承诺用途,不得违反法律法规规定用于任何其他用途。
实验操作小课堂
常见问题解答
查看更多

资源下载:产品操作手册

产品介绍


生物活性
产品描述
Anti-HSP70 Antibody (7N158) is a Rabbit antibody targeting HSP70. Anti-HSP70 Antibody (7N158) can be used in FCM,ICC/IF,IHC,WB.
别名HSP70, Heat shock 70 kDa protein
Ig Type
IgG
克隆号
7N158
反应种属
Human,Mouse,Rat
验证活性
1. Western blot analysis of Hsp70 on different cell lysates using anti-Hsp70 antibody at 1/1,000 dilution. Positive control: Lane 1: MCF-7, Lane 2: HCT116.
2. Immunohistochemical analysis of paraffin-embedded human breast carcinoma tissue using anti-Hsp70 antibody. Counter stained with hematoxylin.
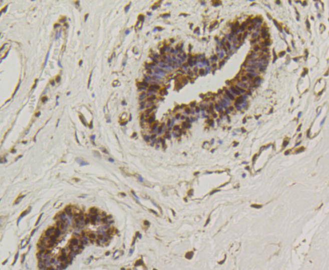
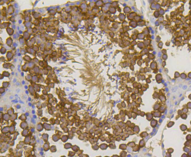
3. Immunohistochemical analysis of paraffin-embedded mouse testis tissue using anti-Hsp70 antibody. Counter stained with hematoxylin.
4. Immunohistochemical analysis of paraffin-embedded mouse brain tissue using anti-Hsp70 antibody. Counter stained with hematoxylin.
5. Immunohistochemical analysis of paraffin-embedded mouse prostate tissue using anti-Hsp70 antibody. Counter stained with hematoxylin.
6. ICC staining Hsp70 in Hela cells (green). The nuclear counter stain is DAPI (blue). Cells were fixed in paraformaldehyde, permeabilised with 0.25% Triton X100/PBS.
7. ICC staining Hsp70 in MCF-7 cells (green). The nuclear counter stain is DAPI (blue). Cells were fixed in paraformaldehyde, permeabilised with 0.25% Triton X100/PBS.
8. Flow cytometric analysis of Hela cells with Hsp70 antibody at 1/50 dilution (blue) compared with an unlabelled control (cells without incubation with primary antibody; red). Alexa Fluor 488-conjugated goat anti rabbit IgG was used as the secondary antibody.
verifiedActivityverifiedActivityverifiedActivityverifiedActivityverifiedActivityverifiedActivityverifiedActivityverifiedActivity
应用FCMICC/IFIHCWB
推荐剂量
WB: 1:1000-5000; IHC: 1:50-200; ICC/IF: 1:50-200; FCM: 1:10-100
抗体种类
Monoclonal
宿主来源Rabbit
构建方式Recombinant Antibody
纯化方式ProA affinity purified
性状Liquid
缓冲液1*TBS (pH7.4), 1%BSA, 40%Glycerol. Preservative: 0.05% Sodium Azide.
研究背景The 70 kilodalton heat shock proteins (Hsp70s) are a family of conserved ubiquitously expressedheat shock proteins. Proteins with similar structure exist in virtually all living organisms. The Hsp70s are an important part of the cell's machinery for protein folding, and help to protect cells from stress. When not interacting with a substrate peptide, Hsp70 is usually in an ATP bound state. Hsp70 by itself is characterized by a very weak ATPase activity, such that spontaneous hydrolysis will not occur for many minutes. As newly synthesized proteins emerge from the ribosomes, the substrate binding domain of Hsp70 recognizes sequences of hydrophobic amino acid residues, and interacts with them. This spontaneous interaction is reversible, and in the ATP bound state Hsp70 may relatively freely bind and release peptides. However, the presence of a peptide in the binding domain stimulates the ATPase activity of Hsp70, increasing its normally slow rate of ATP hydrolysis.
偶联与修饰
偶联
Unconjugated
抗原信息
免疫原
Recombinant Protein
化学信息
分子量Theoretical: 70 kDa.
储存&溶解度
储存方式Store at -20°C or -80°C for 12 months. Avoid repeated freeze-thaw cycles.
运输方式Shipping with blue ice.

计算器

  • 稀释 计算器
  • 配液 计算器

关键词

Related Tags: buy Anti-HSP70 Antibody (7N158) | purchase Anti-HSP70 Antibody (7N158) | Anti-HSP70 Antibody (7N158) cost | order Anti-HSP70 Antibody (7N158) | Anti-HSP70 Antibody (7N158) molecular weight