购物车
  • TargetMol
    您的购物车当前为空

Anti-Hsp27/HSPB1 Antibody (5Q970)

Synonyms: SRP27, HSPB1, HSP28, Hsp27, HSP 27, HMN2B, CMT2F
货号 TMAC-02039 一键复制产品信息
Rating icon 还可以
202603开学季活动

Anti-Hsp27/HSPB1 Antibody (5Q970) 是一种 Rabbit 抗体,靶向 Hsp27/HSPB1。Anti-Hsp27/HSPB1 Antibody (5Q970) 可用于 FCM,ICC/IF,IHC,IP,WB。

Anti-Hsp27/HSPB1 Antibody (5Q970)

一键复制产品信息
Rating icon 还可以
202603开学季活动
货号 TMAC-02039

别名 SRP27, HSPB1, HSP28, Hsp27, HSP 27, HMN2B, CMT2F

Anti-Hsp27/HSPB1 Antibody (5Q970) 是一种 Rabbit 抗体,靶向 Hsp27/HSPB1。Anti-Hsp27/HSPB1 Antibody (5Q970) 可用于 FCM,ICC/IF,IHC,IP,WB。

Anti-Hsp27/HSPB1 Antibody (5Q970)
规格价格库存数量
50 μL
¥ 1,485
5日内发货
100 μL
¥ 2,480
5日内发货
库存状态实时更新,以官网显示为准,现货产品可直接加购物车下单
大包装 & 定制
加入购物车

TargetMol的所有产品仅用作科学研究或药证申报,不能被用于人体,我们不向个人提供产品和服务。请您遵守承诺用途,不得违反法律法规规定用于任何其他用途。

实验操作小课堂
常见问题解答
查看更多

资源下载:产品操作手册

产品介绍


生物活性
产品描述
Anti-Hsp27/HSPB1 Antibody (5Q970) is a Rabbit antibody targeting Hsp27/HSPB1. Anti-Hsp27/HSPB1 Antibody (5Q970) can be used in FCM,ICC/IF,IHC,IP,WB.
别名
SRP27, HSPB1, HSP28, Hsp27, HSP 27, HMN2B, CMT2F
Ig Type
IgG
克隆号
5Q970
反应种属
Human,Mouse,Rat
验证活性
1. Western blot analysis of Hsp27 on A549 cells lysates using anti-LRP1 antibody at 1/1,000 dilution.
2. Immunohistochemical analysis of paraffin-embedded human tonsil tissue using anti-Hsp27 antibody. Counter stained with hematoxylin.
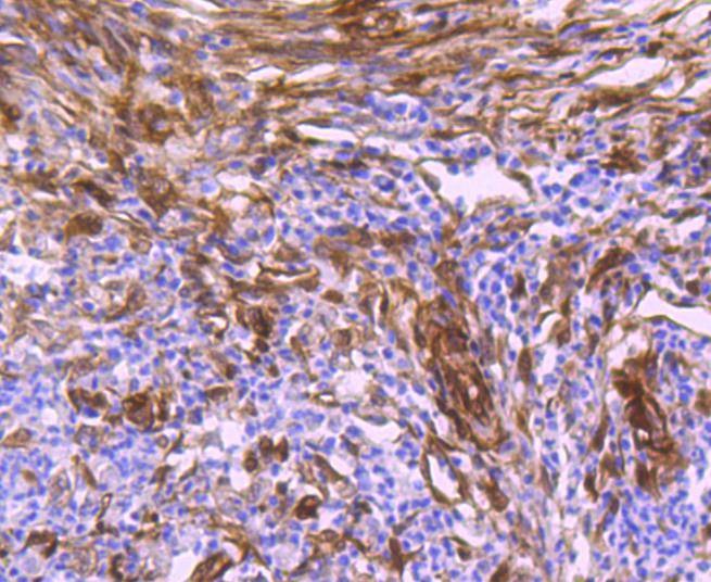
3. Immunohistochemical analysis of paraffin-embedded human colon cancer tissue using anti-Hsp27 antibody. Counter stained with hematoxylin.
4. Immunohistochemical analysis of paraffin-embedded human breast carcinoma tissue using anti-Hsp27 antibody. Counter stained with hematoxylin.
5. ICC staining Hsp27 in Hela cells (green). The nuclear counter stain is DAPI (blue). Cells were fixed in paraformaldehyde, permeabilised with 0.25% Triton X100/PBS.
6. ICC staining Hsp27 in HepG2 cells (green). The nuclear counter stain is DAPI (blue). Cells were fixed in paraformaldehyde, permeabilised with 0.25% Triton X100/PBS.
7. Flow cytometric analysis of Hela cells with Hsp27 antibody at 1/50 dilution (red) compared with an unlabelled control (cells without incubation with primary antibody; black). Alexa Fluor 488-conjugated goat anti rabbit IgG was used as the secondary antibody.
verifiedActivityverifiedActivityverifiedActivityverifiedActivityverifiedActivityverifiedActivityverifiedActivity
应用FCMICC/IFIHCIPWB
推荐剂量
WB: 1:1000-2000; IHC: 1:50-200; ICC/IF: 1:100-500; FCM: 1:50-100
抗体种类
Monoclonal
宿主来源Rabbit
构建方式Recombinant Antibody
纯化方式ProA affinity purified
性状Liquid
缓冲液1*TBS (pH7.4), 1%BSA, 40%Glycerol. Preservative: 0.05% Sodium Azide.
研究背景The heat shock proteins (HSPs) comprise a group of highly conserved, abundantly expressed proteins with diverse functions, including the assembly and sequestering of multiprotein complexes, transportation of nascent poly-peptide chains across cellular membranes and regulation of protein folding. Heat shock proteins (also known as molecular chaperones) fall into six general families: HSP 90, HSP 70, HSP 60, the low molecular weight HSPs, the immunophilins and the HSP 110 family. The low molecular weight family includes HSP 10, HSP 20, HSP 27, HSP 32 and HSP 40. HSP 27 is a constitutively expressed cytoplasmic protein that co-localizes to the nucleus upon stress induced by insult. Heat, cytokines and hormones are among the factors that stimulate the synthesis of HSP 27. In vitro, HSP 27 becomes highly phosphorylated following exposure to stress. The discovery that HSP 27 is regulated by hormones such as estrogen has led to studies establishing a relationship between HSP 27 and breast cancer.
偶联与修饰
偶联
Unconjugated
抗原信息
免疫原
Recombinant Protein
Uniprot ID
化学信息
分子量Theoretical: 27 kDa.
储存&溶解度
储存方式Store at -20°C or -80°C for 12 months. Avoid repeated freeze-thaw cycles.
运输方式Shipping with blue ice.

计算器

  • 稀释 计算器
  • 配液 计算器
Related Tags: buy Anti-Hsp27/HSPB1 Antibody (5Q970) | purchase Anti-Hsp27/HSPB1 Antibody (5Q970) | Anti-Hsp27/HSPB1 Antibody (5Q970) cost | order Anti-Hsp27/HSPB1 Antibody (5Q970) | Anti-Hsp27/HSPB1 Antibody (5Q970) molecular weight