购物车
  • TargetMol
    您的购物车当前为空

Anti-HPV16 E6 Polyclonal Antibody

Synonyms: VE6_HPV16, Protein E6, Human papillomavirus type 16 E6, Human papillomavirus type 16, Human Papilloma Virus, HPV16-E6, HPV16 E6, E6 protein, E6
货号 TMAB-00882 一键复制产品信息
Rating icon 还可以
202603开学季活动

Anti-HPV16 E6 Polyclonal Antibody 是一种 Rabbit 抗体,靶向 HPV16 E6。Anti-HPV16 E6 Polyclonal Antibody 可用于 FCM, IF, IHC-Fr, IHC-P。

Anti-HPV16 E6 Polyclonal Antibody

一键复制产品信息
Rating icon 还可以
202603开学季活动
货号 TMAB-00882

别名 VE6_HPV16, Protein E6, Human papillomavirus type 16 E6, Human papillomavirus type 16, Human Papilloma Virus, HPV16-E6, HPV16 E6, E6 protein, E6

Anti-HPV16 E6 Polyclonal Antibody 是一种 Rabbit 抗体,靶向 HPV16 E6。Anti-HPV16 E6 Polyclonal Antibody 可用于 FCM, IF, IHC-Fr, IHC-P。

Anti-HPV16 E6 Polyclonal Antibody
规格价格库存数量
50 μL
¥ 1,175
5日内发货
100 μL
¥ 1,970
5日内发货
200 μL
¥ 2,795
5日内发货
库存状态实时更新,以官网显示为准,现货产品可直接加购物车下单
大包装 & 定制
加入购物车

TargetMol的所有产品仅用作科学研究或药证申报,不能被用于人体,我们不向个人提供产品和服务。请您遵守承诺用途,不得违反法律法规规定用于任何其他用途。

实验操作小课堂
常见问题解答
查看更多

资源下载:产品操作手册

产品介绍


生物活性
产品描述
Anti-HPV16 E6 Polyclonal Antibody is a Rabbit antibody targeting HPV16 E6. Anti-HPV16 E6 Polyclonal Antibody can be used in FCM, IF, IHC-Fr, IHC-P.
别名
VE6_HPV16, Protein E6, Human papillomavirus type 16 E6, Human papillomavirus type 16, Human Papilloma Virus, HPV16-E6, HPV16 E6, E6 protein, E6
Ig Type
IgG
反应种属
HPV16
验证活性
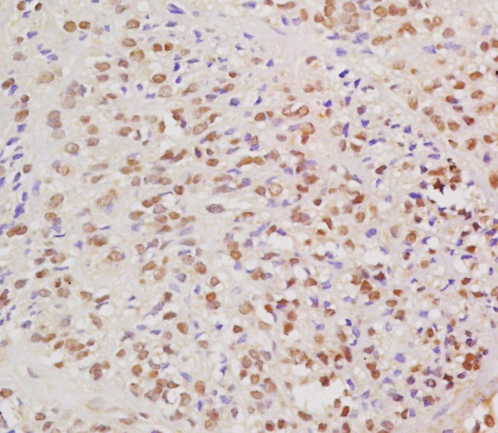
1. Tissue/cell: human cervical carcinoma; 4% Paraformaldehyde-fixed and paraffin-embedded;
Antigen retrieval: citrate buffer (0.01M, pH6.0), Boiling bathing for 15 min; Block endogenous peroxidase by 3% Hydrogen peroxide for 30 min; Blocking buffer (normal goat serum) at 37°C for 20 min;
Incubation: Anti-HPV16-E6 Polyclonal Antibody, Unconjugated (TMAB-00882) 1:200, overnight at 4°C, followed by conjugation to the secondary antibody and DAb staining.
2. Blank control (black line): Hela.
Primary Antibody (green line): Rabbit Anti-HPV16 E6 antibody (TMAB-00882)
Dilution: 1 μg/Test;
Secondary Antibody (white blue line): Goat anti-rabbit IgG-AF488
Dilution: 0.5 μg/Test.
Isotype control (orange line): Normal Rabbit IgG
Protocol
The cells were fixed with 4% PFA (10 min at room temperature) and then permeabilized with 90% ice-cold methanol for 20 min at-20°C, The cells were then incubated in 5% BSA to block non-specific protein-protein interactions for 30 min at room temperature. Cells stained with Primary Antibody for 30 min at room temperature. The secondary antibody used for 40 min at room temperature.
verifiedActivityverifiedActivity
应用FCMIFIHC-FrIHC-P
推荐剂量
IHC-P: 1:100-500; IHC-Fr: 1:100-500; IF: 1:100-500; FCM: 1ug/Test
抗体种类
Polyclonal
宿主来源Rabbit
构建方式Polyclonal Antibody
纯化方式Protein A purified
性状Liquid
缓冲液0.01M TBS (pH7.4) with 1% BSA, 0.02% Proclin300 and 50% Glycerol.
浓度1 mg/mL
抗原信息
免疫原
KLH conjugated synthetic peptide: HPV16 E6
抗原种属
HPV16
基因名称
L2
蛋白名称
Minor capsid protein L2
化学信息
分子量Theoretical: 11 kDa.
储存&溶解度
储存方式Store at -20°C or -80°C for 12 months. Avoid repeated freeze-thaw cycles.
运输方式Shipping with blue ice.

计算器

  • 稀释 计算器
  • 配液 计算器
Related Tags: buy Anti-HPV16 E6 Polyclonal Antibody | purchase Anti-HPV16 E6 Polyclonal Antibody | Anti-HPV16 E6 Polyclonal Antibody cost | order Anti-HPV16 E6 Polyclonal Antibody | Anti-HPV16 E6 Polyclonal Antibody molecular weight