购物车
  • 全部删除
  • TargetMol
    您的购物车当前为空

Anti-HNF4A Antibody (1Y813)

Rating icon 还可以
产品编号 TMAC-01986

Anti-HNF4A Antibody (1Y813) 是一种 Rabbit 抗体,靶向 HNF4A。Anti-HNF4A Antibody (1Y813) 可用于 FCM,ICC/IF,IHC,WB。

Anti-HNF4A Antibody (1Y813)

Anti-HNF4A Antibody (1Y813)

一键复制产品信息
Rating icon 还可以
产品编号 TMAC-01986

Anti-HNF4A Antibody (1Y813) 是一种 Rabbit 抗体,靶向 HNF4A。Anti-HNF4A Antibody (1Y813) 可用于 FCM,ICC/IF,IHC,WB。

规格价格库存数量
50 μL
¥ 1,480
5日内发货
100 μL
¥ 2,480
5日内发货
大包装 & 定制
加入购物车
TargetMol 的所有产品仅用作科学研究或药证申报,不能被用于人体,我们不向个人提供产品和服务。请您遵守承诺用途,不得违反法律法规规定用于任何其他用途。
实验操作小课堂
常见问题解答
查看更多
联系我们获取更多批次信息
资源下载

产品介绍

生物活性
产品描述
Anti-HNF4A Antibody (1Y813) is a Rabbit antibody targeting HNF4A. Anti-HNF4A Antibody (1Y813) can be used in FCM,ICC/IF,IHC,WB.
Ig Type
IgG
克隆号
1Y813
交叉反应
Human
验证活性
1. Western blot analysis of HNF-4-alpha on human kidney lysates using anti-HNF-4-alpha antibody at 1/1,000 dilution.
2. Immunohistochemical analysis of paraffin-embedded human colon cancer tissue using anti-HNF-4-alpha antibody. Counter stained with hematoxylin.
3. Immunohistochemical analysis of paraffin-embedded human kidney tissue using anti-HNF-4-alpha antibody. Counter stained with hematoxylin.
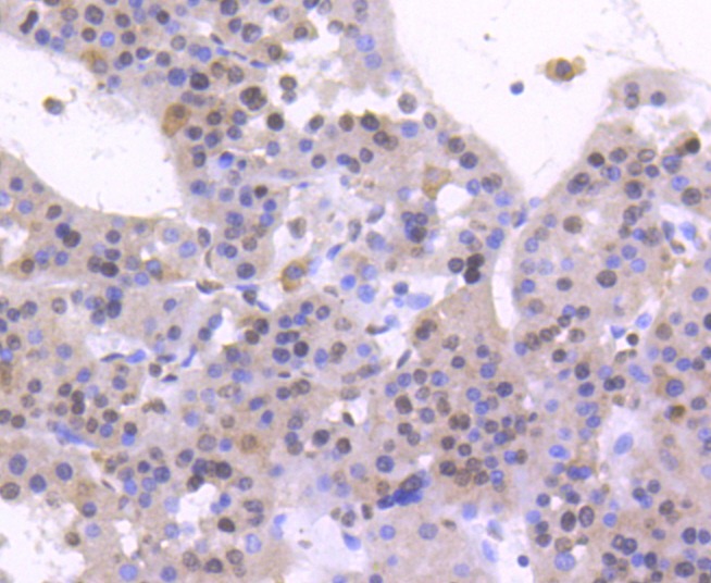
4. Immunohistochemical analysis of paraffin-embedded human liver cancer tissue using anti-HNF-4-alpha antibody. Counter stained with hematoxylin.
5. ICC staining HNF-4-alpha in SW480 cells (green). The nuclear counter stain is DAPI (blue). Cells were fixed in paraformaldehyde, permeabilised with 0.25% Triton X100/PBS.
6. Flow cytometric analysis of HepG2 cells with HNF-4-alpha antibody at 1/50 dilution (red) compared with an unlabelled control (cells without incubation with primary antibody; black). Alexa Fluor 488-conjugated goat anti rabbit IgG was used as the secondary antibody.
verifiedActivityverifiedActivityverifiedActivityverifiedActivityverifiedActivityverifiedActivity
应用FCMICC/IFIHCWB
推荐剂量
WB: 1:1000; IHC: 1:100-500; ICC/IF: 1:50-200; FCM: 1:50-100
抗体种类
Monoclonal
宿主来源Rabbit
构建方式Recombinant Antibody
纯化方式ProA affinity purified
性状Liquid
缓冲液1*TBS (pH7.4), 1%BSA, 40%Glycerol. Preservative: 0.05% Sodium Azide.
研究背景HNF-4 alpha is a transcription factor that binds DNA as a homodimer. HNF-4 alpha is important in liver, kidney, and intestinal development. It has also been intensely studied as one of a variety of genes responsible for diabetes mellitus. HNF-4 alpha has been shown in knock out mice to be essential for the morphogenic and functional differentiation of hepatocytes. HNF-4 alpha is a dominant regulator of epithelial phenotypes able to drive the mesenchymal-to-epithelial transition when expressed in fibroblasts.
偶联与修饰
偶联
Unconjugated
抗原信息
免疫原
Recombinant Protein
Uniprot ID
化学信息
分子量Theoretical: 53 kDa.
存储&运输
储存方式Store at -20°C or -80°C for 12 months. Avoid repeated freeze-thaw cycles.
运输方式Shipping with blue ice.

计算器

  • 稀释 计算器

关键词

评论列表

4个月前
5.0
Rating icon 很棒

评论内容

Related Tags: buy Anti-HNF4A Antibody (1Y813) | purchase Anti-HNF4A Antibody (1Y813) | Anti-HNF4A Antibody (1Y813) cost | order Anti-HNF4A Antibody (1Y813) | Anti-HNF4A Antibody (1Y813) molecular weight