购物车
  • 全部删除
  • TargetMol
    您的购物车当前为空

Anti-Histone H2B type 1-K Antibody (4Z139)

Rating icon 还可以
产品编号 TMAC-01864

Anti-Histone H2B type 1-K Antibody (4Z139) 是一种 Rabbit 抗体,靶向 Histone H2B type 1-K。Anti-Histone H2B type 1-K Antibody (4Z139) 可用于 FCM,ICC/IF,IHC,IP,WB。

Anti-Histone H2B type 1-K Antibody (4Z139)

Anti-Histone H2B type 1-K Antibody (4Z139)

一键复制产品信息
Rating icon 还可以
产品编号 TMAC-01864

Anti-Histone H2B type 1-K Antibody (4Z139) 是一种 Rabbit 抗体,靶向 Histone H2B type 1-K。Anti-Histone H2B type 1-K Antibody (4Z139) 可用于 FCM,ICC/IF,IHC,IP,WB。

规格价格库存数量
50 μL
¥ 1,480
5日内发货
100 μL
¥ 2,495
5日内发货
大包装 & 定制
加入购物车
TargetMol 的所有产品仅用作科学研究或药证申报,不能被用于人体,我们不向个人提供产品和服务。请您遵守承诺用途,不得违反法律法规规定用于任何其他用途。
实验操作小课堂
常见问题解答
查看更多
联系我们获取更多批次信息
资源下载

产品介绍

生物活性
产品描述
Anti-Histone H2B type 1-K Antibody (4Z139) is a Rabbit antibody targeting Histone H2B type 1-K. Anti-Histone H2B type 1-K Antibody (4Z139) can be used in FCM,ICC/IF,IHC,IP,WB.
Ig Type
IgG
克隆号
4Z139
交叉反应
Human,Mouse,Rat
验证活性
1. Western blot analysis of Histone H2B on different lysates using anti-Histone H2B antibody at 1/1,000 dilution. Positive control: Lane 1: Hela, Lane 2: NIH/3T3, Lane 3: PC12.
2. Immunohistochemical analysis of paraffin-embedded human tonsil tissue using anti-Histone H2B antibody. Counter stained with hematoxylin.
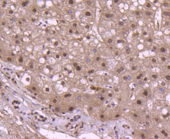
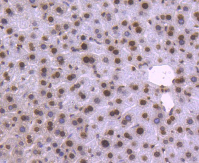
3. Immunohistochemical analysis of paraffin-embedded human liver tissue using anti-Histone H2B antibody. Counter stained with hematoxylin.
4. Immunohistochemical analysis of paraffin-embedded mouse liver tissue using anti-Histone H2B antibody. Counter stained with hematoxylin.
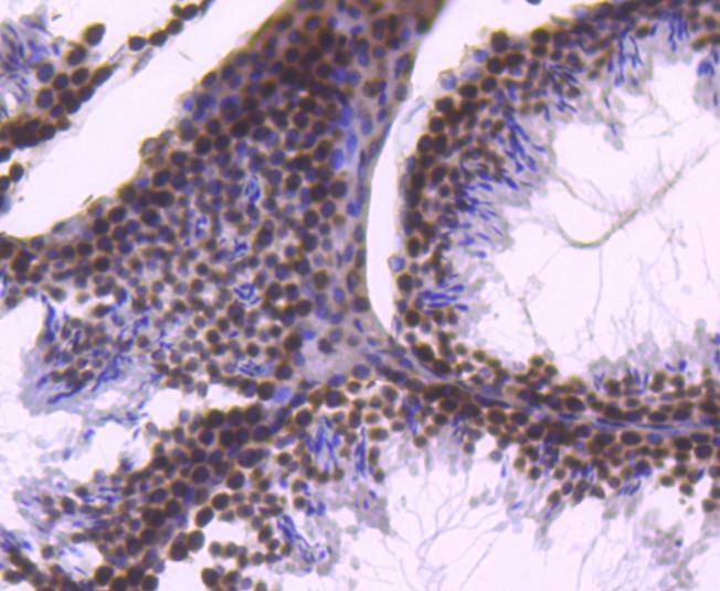
5. Immunohistochemical analysis of paraffin-embedded mouse testis tissue using anti-Histone H2B antibody. Counter stained with hematoxylin.
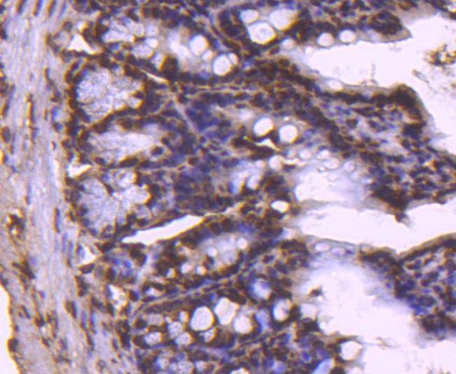
6. Immunohistochemical analysis of paraffin-embedded mouse colon tissue using anti-Histone H2B antibody. Counter stained with hematoxylin.
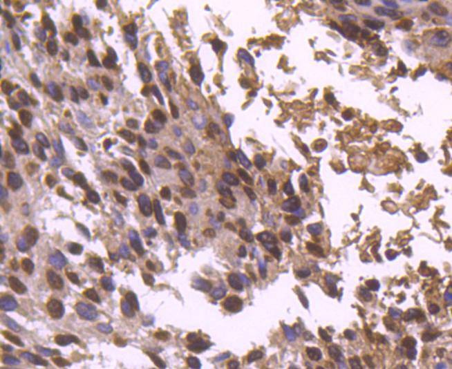
7. Immunohistochemical analysis of paraffin-embedded human breast carcinoma tissue using anti-Histone H2B antibody. Counter stained with hematoxylin.
8. ICC staining Histone H2B in A431 cells (green). The nuclear counter stain is DAPI (blue). Cells were fixed in paraformaldehyde, permeabilised with 0.25% Triton X100/PBS.
9. Flow cytometric analysis of Hela cells with Histone H2B antibody at 1/50 dilution (red) compared with an unlabelled control (cells without incubation with primary antibody; black). Alexa Fluor 488-conjugated goat anti rabbit IgG was used as the secondary antibody.
verifiedActivityverifiedActivityverifiedActivityverifiedActivityverifiedActivityverifiedActivityverifiedActivityverifiedActivityverifiedActivity
应用FCMICC/IFIHCIPWB
推荐剂量
WB: 1:1000-5000; IHC: 1:50-200; ICC/IF: 1:100-500; FCM: 1:50-100
抗体种类
Monoclonal
宿主来源Rabbit
构建方式Recombinant Antibody
纯化方式ProA affinity purified
性状Liquid
缓冲液1*TBS (pH7.4), 1%BSA, 40%Glycerol. Preservative: 0.05% Sodium Azide.
研究背景Eukaryotic histones are basic and water soluble nuclear proteins that form hetero-octameric nucleosome particles by wrapping 146 base pairs of DNA in a left-handed super-helical turn sequentially to form chromosomal fiber. Two molecules of each of the four core histones (H2A, H2B, H3, and H4) form the octamer; formed of two H2A-H2B dimers and two H3-H4 dimers, forming two nearly symmetrical halves by tertiary structure. Over 80% of nucleosomes contain the linker Histone H1, derived from an intronless gene, that interacts with linker DNA between nucleosomes and mediates compaction into higher order chromatin. Histones are subject to posttranslational modification by enzymes primarily on their N-terminal tails, but also in their globular domains. Such modifications include methylation, citrullination, acetylation, phosphorylation, sumoylation, ubiquitination and ADP-ribosylation.
偶联与修饰
偶联
Unconjugated
抗原信息
免疫原
Recombinant Protein
Uniprot ID
化学信息
分子量Theoretical: 14 kDa.
存储&运输
储存方式Store at -20°C or -80°C for 12 months. Avoid repeated freeze-thaw cycles.
运输方式Shipping with blue ice.

计算器

  • 稀释 计算器

关键词

评论列表

4个月前
5.0
Rating icon 很棒

评论内容

Related Tags: buy Anti-Histone H2B type 1-K Antibody (4Z139) | purchase Anti-Histone H2B type 1-K Antibody (4Z139) | Anti-Histone H2B type 1-K Antibody (4Z139) cost | order Anti-Histone H2B type 1-K Antibody (4Z139) | Anti-Histone H2B type 1-K Antibody (4Z139) molecular weight