购物车
  • TargetMol
    您的购物车当前为空

Anti-HIST1H3A Antibody (9H443)

Synonyms: Histone H3.1, Histone H3, histone cluster 1, H3a, HIST1H3A, HIST1H3B, HIST1H3C, HIST1H3D, HIST1H3E, HIST1H3F, HIST1H3G, HIST1H3H, HIST1H3I, HIST1H3J
货号 TMAC-01922 一键复制产品信息
Rating icon 还可以

Anti-HIST1H3A Antibody (9H443) 是一种 Rabbit 抗体,靶向 HIST1H3A。Anti-HIST1H3A Antibody (9H443) 可用于 FCM,ICC/IF,IHC,WB。

Anti-HIST1H3A Antibody (9H443)

一键复制产品信息
Rating icon 还可以
货号 TMAC-01922

别名 Histone H3.1, Histone H3, histone cluster 1, H3a, HIST1H3A, HIST1H3B, HIST1H3C, HIST1H3D, HIST1H3E, HIST1H3F, HIST1H3G, HIST1H3H, HIST1H3I, HIST1H3J

Anti-HIST1H3A Antibody (9H443) 是一种 Rabbit 抗体,靶向 HIST1H3A。Anti-HIST1H3A Antibody (9H443) 可用于 FCM,ICC/IF,IHC,WB。

Anti-HIST1H3A Antibody (9H443)
规格价格库存数量
50 μL
¥ 1,490
5日内发货
100 μL
¥ 2,495
5日内发货
库存状态实时更新,以官网显示为准,现货产品可直接加购物车下单
大包装 & 定制
加入购物车
TargetMol的所有产品仅用作科学研究或药证申报,不能被用于人体,我们不向个人提供产品和服务。请您遵守承诺用途,不得违反法律法规规定用于任何其他用途。
实验操作小课堂
常见问题解答
查看更多

资源下载:产品操作手册

产品介绍


生物活性
产品描述
Anti-HIST1H3A Antibody (9H443) is a Rabbit antibody targeting HIST1H3A. Anti-HIST1H3A Antibody (9H443) can be used in FCM,ICC/IF,IHC,WB.
别名Histone H3.1, Histone H3, histone cluster 1, H3a, HIST1H3A, HIST1H3B, HIST1H3C, HIST1H3D, HIST1H3E, HIST1H3F, HIST1H3G, HIST1H3H, HIST1H3I, HIST1H3J
Ig Type
IgG
克隆号
9H443
反应种属
Human,Mouse,Rat
验证活性
1. Western blot analysis of Histone H3 on different lysates using anti-Histone H3 antibody at 1/1,000 dilution. Positive control: Lane 1: Hela, Lane 2: NIH/3T3, Lane 3: MCF-7.
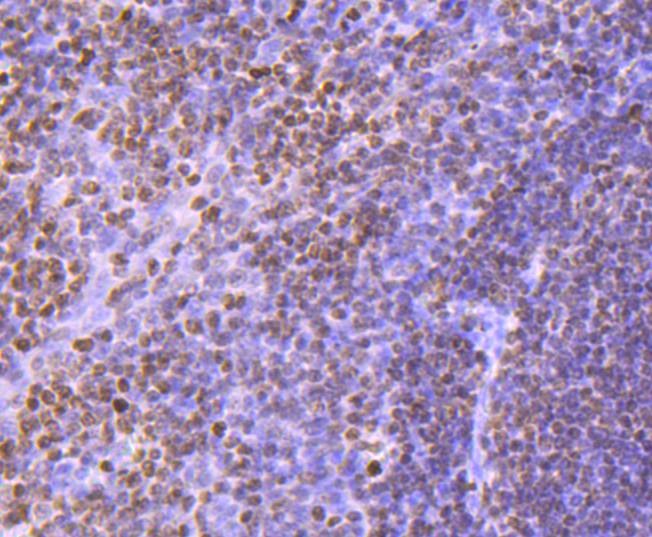
2. Immunohistochemical analysis of paraffin-embedded human tonsil tissue using anti-Histone H3 antibody. Counter stained with hematoxylin.
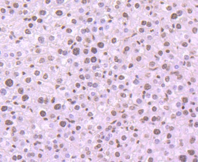
3. Immunohistochemical analysis of paraffin-embedded human liver tissue using anti-Histone H3 antibody. Counter stained with hematoxylin.
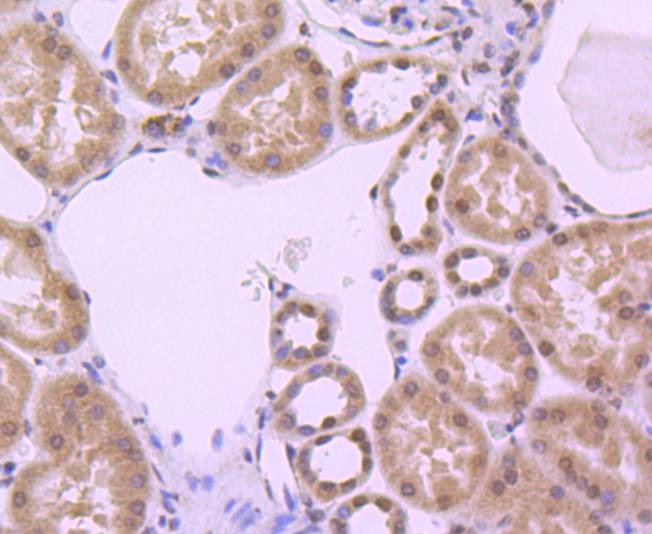
4. Immunohistochemical analysis of paraffin-embedded human kidney tissue using anti-Histone H3 antibody. Counter stained with hematoxylin.
5. Immunohistochemical analysis of paraffin-embedded mouse liver tissue using anti-Histone H3 antibody. Counter stained with hematoxylin.
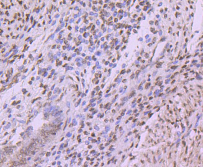
6. Immunohistochemical analysis of paraffin-embedded human uterus tissue using anti-Histone H3 antibody. Counter stained with hematoxylin.
7. Immunohistochemical analysis of paraffin-embedded human spleen tissue using anti-Histone H3 antibody. Counter stained with hematoxylin.
8. ICC staining Histone H3 in RH-35 cells (green). The nuclear counter stain is DAPI (blue). Cells were fixed in paraformaldehyde, permeabilised with 0.25% Triton X100/PBS.
9. Flow cytometric analysis of Hela cells with Histone H3 antibody at 1/50 dilution (red) compared with an unlabelled control (cells without incubation with primary antibody; black). Alexa Fluor 488-conjugated goat anti rabbit IgG was used as the secondary antibody.
verifiedActivityverifiedActivityverifiedActivityverifiedActivityverifiedActivityverifiedActivityverifiedActivityverifiedActivityverifiedActivity
应用FCMICC/IFIHCWB
推荐剂量
WB: 1:1000-2000; IHC: 1:50-200; ICC/IF: 1:50-200; FCM: 1:50-100
抗体种类
Monoclonal
宿主来源Rabbit
构建方式Recombinant Antibody
纯化方式ProA affinity purified
性状Liquid
缓冲液1*TBS (pH7.4), 1%BSA, 40%Glycerol. Preservative: 0.05% Sodium Azide.
研究背景In eukaryotes, DNA is wrapped around histone octamers to form the basic unit of chromatin structure. The octamer is composed of histones H2A, H2B, H3 and H4, and it associates with approximately 200 base pairs of DNA to form the nucleosome. The association of DNA with histones results in dense packing of chromatin, which restricts proteins involved in gene transcription from binding to DNA. p300 preferentially acetylates Histone H3 at lysines 14 and 18 and Histone H4 at lysines 5 and 8. PCAF in its native form, primarily acetylates Histone H3 at lysine 14 to a monoacetylated form, and less efficiently acetylates Histone H4 at lysine 8. Histone H4 may also be acetylated at lysines 12 and 16, and the involvement of acetylated H4 with Histones H2A, H2B and H3 suggests that acetylated histones may be involved in dynamic chromatin remodeling.
偶联与修饰
偶联
Unconjugated
抗原信息
免疫原
Recombinant Protein
Uniprot ID
化学信息
分子量Theoretical: 15 kDa.
储存&溶解度
储存方式Store at -20°C or -80°C for 12 months. Avoid repeated freeze-thaw cycles.
运输方式Shipping with blue ice.

计算器

  • 稀释 计算器
  • 配液 计算器
Related Tags: buy Anti-HIST1H3A Antibody (9H443) | purchase Anti-HIST1H3A Antibody (9H443) | Anti-HIST1H3A Antibody (9H443) cost | order Anti-HIST1H3A Antibody (9H443) | Anti-HIST1H3A Antibody (9H443) molecular weight